© 2020, Okumuş et al
Received Day: 20 Month: 05 Year: 2020
Accepted Day: 31 Month: 05 Year: 2020
J Neonatal Surg. 2020; 9: 17.
DOI: 10.47338/jns.v9.541
Congenital granular cell epulis: A case series
Mustafa Okumuş Department of Pediatric Surgery, Yeni Yüzyıl University, Medical Faculty, İstanbul
Adil Umut Zubarioğlu Department of Pediatrics, Division of Neonatology, Yeni Yüzyıl University, Medical Faculty, İstanbul
Uğuray Payam Hacısalihoğlu Department of Pathology, Yeni Yüzyıl University, Medical Faculty, İstanbul
[corresp] Mustafa Okumuş, M.D., Department of Pediatric Surgery, Yeni Yüzyıl University, Medical Faculty, Gaziosmanpaşa Hospital, 34245 Gaziosmanpaşa, İstanbul E-mail: drmustafaokumus@gmail.com
Abstract

Background: Congenital granular cell epulis (CGCE) is an extremely rare intraoral tumor of the newborn with a potential to disrupt feeding and produce respiratory distress.

Case Series: We report two newborns presented with mass protruding off the mouth since birth. The mass was arising from alveolar ridge in both cases and dealt with surgical excision. Histopathology revealed it congenital granular cell epulis. Postoperative recovery and follow-up are uneventful.

Conclusion: Congenital granular cell epulis is a benign lesion though not quite uncommon, may cause diagnostic challenges. Early excision and histopathology rule out malignant lesions.

Keywords: Congenital epulis, Congenital granular cell tumor, Neuman’s tumor.

Introduction

Congenital granular cell epulis (CGCE), also known as congenital epulis, congenital granular cell tumor, gingival granular cell tumor of the newborn, congenital granular cell myoblastoma, granular cell fibroblastoma, and Neumann’s tumor;[1] is a rare tumor of the newborn and fewer than 250 caseshave been reported in literature.[2] It is characterized bysingle or occasionally multiple smooth surfaced sessile or pedunculated masses with a pink or reddish color, protruding through the oral cavity with a potential to disrupt feeding of the newborn and rarely causes respiratory distress.[3], [4], [5], [6] Huge CGCE poses diagnostic challenges and must be differentiated with intraoral teratoma or hemangioma. Thereasons fordiagnostic difficulty are the rarity of the tumor and the low index of suspicion. Herein, we present two cases of CGCE in newborns, managed successfully with surgical excision.

Case Series

Case 1: A full-term female newborn, weighing 2800 grams at birth,presented with an intraoral mass protruding off the mouth. Antenatal scans detected a mass in the neck of the fetus and teratoma was considered as diagnosis. Although the newbornhad no respiratory distress, she had feeding difficulty. With preliminary diagnosis of congenital epulis with differentials of teratoma and hemangioma, the baby was admitted.On examination,a red, firm mass(6x3 cm)arising from the left side of the maxillary alveolar ridge (Fig. 1) was found. The physical examination, including laboratory tests, werenormal. The pedicle of the mass was about one cm wide. The mass was totally excised with needle tip electrocautery under general anesthesia.There was not any bleeding and alveolar defect after excision.The postoperative course was uneventful, and the newborn allowedbreastfeeding on the same day after surgery. The histological examination confirmed the diagnosis of CGCE.At one-year follow-up, the baby is doing fine with no evidence of recurrence.

Case 2: A 1-day-old newborn girl.weighing 3450 grams,was referred immediately after birth with a mass protruding off her mouth. Although the course of pregnancy was normal, a mass arising from the lip of the fetus was detected on prenatal ultrasonography. On examination, a pedunculated, smooth pinkish mass (4x3 cm) arising from the right side of the mandibular alveolus was detected (Fig. 2). The mass did not impair breathing of the newborn but was fed with an orogastric tube. No other findings were noted on general physical examination. A clinical diagnosis of CGCE was made with the experience gained from the previous case. The mass was completely resected under general anesthesia with needle tip electrocautery. The operation was performed gently without disturbing the alveolar structure and there was no bleeding.Oral feedingallowed on the same day and the babywas discharged nextday. Pathologic evaluation of the tumor confirmed the diagnosis of CGCE. The results of immunohistochemical staining were positive for Periodic-Acid Schiff and negative for S-100, actine, desmin, CD68, CD34, CD31 as in the previous case (Fig. 3). The postoperative period was uneventful.At one-year follow-up, the baby is doing fine with no evidence of recurrence.

Discussion

CGCE is an extremely rare tumor of the newborn. Although the tumor usually arises at the future site of the maxillary canine, it can arise at the mandibular alveolus infrequently. In addition, it can also be seen on the tongue more rarely.[4], [5] Clinical findings vary according to the size of the tumor. While small tumors have almost no signs, large tumors can cause respiratory and feeding problems. Although two of our patients had large tumors, both had only feeding problems.It was noteworthy that in one of the cases presented, the tumor originated from the maxillary alveolar ridge, while in the other, it originated from the mandibular alveolar ridge. On the other hand, it was compatible with the literature that both were female.

Prenatal diagnosis is difficult because tumor generally develops beyond the 22nd week of gestation.[4] In majority, the prenatal diagnosis of CGCEwere made in late gestation as noted in the index cases. They are mostly recognized at birth except in cases where the size of tumor is very small.Differential diagnosis should include congenital malformations and tumors such as dermoid cysts, hemangioma, teratoma, fibroma, lymphangioma, and rhabdomyoma. [3], [5], [7] Although further investigations are recommended by some authors to confirm the diagnosis and to determine the concept of treatment such as doppler ultrasonography, computerized tomography, and magnetic resonance imaging;[3]it is unnecessary to perform the imaging techniquessince it mostly causes a waste of time. The typical appearance of the tumor arising from maxillary or mandibular alveolar ridge enables clinical diagnosis in almost all cases.Therefore, we did not consider performing further investigations in our reported cases. We preferred surgical excision first, considering that the tumor can be easily removed.

Characteristic histological findings shown by CGCE include large round cells with granular, eosinophilic cytoplasm, and small eccentric nuclei.[8], [9] Although the histogenesis of CGCE is not certain, many authors suggest that is a non-neoplastic, degenerative or reactive lesion.[5], [10] Several theories have been proposed regarding the origin of the tissue constituting the CGCE, such as myocytes, neurocytes, fibroblasts, histiocytes, pericytes, and undifferentiated mesenchymal cells. However, the more accepted view is that the granular cells are derivatives of undifferentiated mesenchymal cells.[6], [8], [9] Positive immunoreactivity for vimentinin 93% of the reported cases are due to the large amountof collagen and collagen precursors, in addition to that,positivity of mesenchymal stem cell markers STRO-1 and CD44 in CGCE which was reported by Kokubun et al., also support this theory.[8]

The histopathologic differential diagnosis of CGCE consists mainly of adult granular cell tumor (a true neoplasm), that effects mainly adults. The negativity of S-100 staining, 75 kD nerve growth factor, and receptortrkgen productin CGCE excludes the neurogenic etiology and constitutes the major differences between two tumors. [5], [8], [9] S-100 stainings were also negative in the index cases.

Due to rapid growth of the tumor in the last trimester of pregnancy and female preponderance,many authors suggest that the growth of the tumor could be related to maternal hormones. Spontaneous regression of the lesion after birth could also be explained by this theory. However, the negative results of immunohistochemically stainings for estrogen and progesterone receptors in tumor cells were evaluated incompatible with the theory.[6], [8], [9]

Although CGCE has an irritating appearance, it is entirely a benign tumor.Sincemany clinicians know the tumor from the literature and most likely have never seen it before,the main problem is to make the correctdiagnosis. Often a simple surgical excision is sufficient for the treatment.Radical excision is not recommended because of the future development of dentition and alveolar bone damage.


Figures

Fig. 1 

A red, firm mass measuring 6 x 3 cm, arising from the left side of the maxillary alveolar ridge.



Fig.2  

A pedunculated, smooth pink-colored mass of about 4 x 3 cm in size arising from the right side of the mandibular alveolus.



Fig.3  

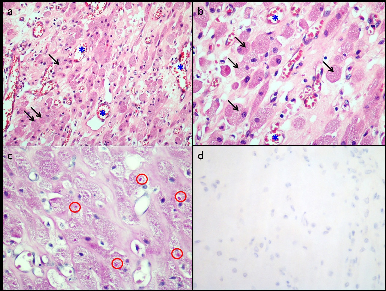
a&b)Tumor composed of round cells with eosinophilic, granular cytoplasm and small nuclei (arrows). Prominent vascular channels in the tumoral stroma (stars), (H&E, 100X, 400X, respectively). c) PAS (+) cytoplasmic granules in tumor cells (PAS stain, 400X). d) Tumor cells display no immunoreaction with anti-S100 immunohistochemical antibody (S100 immunohistochemical polyclonal antibody, DAKO, USA, 400X).



Notes

n1Conflicts of interest. None declared

n2Source of Support: Nil

n3Author contributions: Author(s) declared to fulfill authorship criteria as devised by ICMJE and approved the final version. Authorship declaration form, submitted by the author(s), is available with the editorial office.

n4Consent to Publication: Author(s) declared taking informed written consent for the publication of clinical photographs/material (if any used), from the legal guardian of the patient with an understanding that every effort will be made to conceal the identity of the patient, however it cannot be guaranteed.

Acknowledgments

None


References
1. VanderWall I. Congenital granular cell epulis. In: Barnes L, Eveson JW, Reichart P, Sindransky D, eds. World Health Organization Classification of Tumors. Pathology and Genetics. Head and Neck Tumors. Lyon: IARC Press; 2005:198.
2. Conrad R, Perez MCN. Congenital granular cell epulis. Arch Pathol Lab Med. 2014;138;128-31.
3. McGuire TP, Gomes PP, Freilich MM, Sandor GKB. Congenital epulis: A surprise in the neonate. J Can Dent Assoc. 2006; 72:747–50.
4. Kumar RM, Bavle RM, Umashankar DN, Sharma R. Congenital epulis of the newborn. J Oral MaxillofacPathol. 2015;19:407.
5. Küpers AM, Andriessen P, van Kempen MJP, van der Tol IGH, Baart JA, Dumans AG, et al. Congenital epulis of the jaw: a series of five cases and review of the literature. Pediatr Surg Int. 2009; 25:207-10.
6. Kanotra S, Kanotra SP, Paul J. Congenital epulis. J Laryngol Oto. 2005;120:148-50.
7. Merglova V, Mukensnabl P, Andrle P. Congenital epulis. BMC Case Rep. 2012;2012: bcr0120125483.
8. Kokubun K, Matsuzaka K, Akashi Y, Sumi M, Nakajima K, Murakami S, et al. Congenital epulis: A case and review of the literature. Bull Tokyo Dent Coll. 2018;59:127-32.
9. Lapid O, Shaco-Levy R, Krieger Y, Kachko L, Sagi A. Congenital Epulis. Pediatr. 2001;107; e22.
10. Olson JL, Marcus JR, Zuker RM. Congenital epulis. J Craniofac Surg. 2005;16:161-4.