© 2020, Jan et al
Received Day: 15 Month: 06 Year: 2020
Accepted Day: 01 Month: 07 Year: 2020
J Neonatal Surg. 2020; 9: 12.
DOI: 10.47338/jns.v9.533
Acute appendicitis causing small intestinal band obstruction in a premature baby: A case report
Iftikhar Ahmad Jan Department of Pediatric Surgery, Sheikh Shakhbout Medical City, Abu Dhabi
Sarah Bin Hariz Department of Emergency, Sheikh Shakhbout Medical City, Abu Dhabi
Faisal Al Zidgali Department of Neonatology, Sheikh Shakhbout Medical City, Abu Dhabi
Zahid Latif Saqi Department of Pediatric Surgery, Sheikh Shakhbout Medical City, Abu Dhabi
Ghazy Habeeb Lutf Department of Emergency, Sheikh Shakhbout Medical City, Abu Dhabi
[corresp] Dr. Iftikhar Ahmad Jan, Department of Pediatric Surgery, Sheikh Shakhbout Medical City, Abu Dhabi E-mail: iftikarjan@gmail.com
Abstract

Background: Bilious vomiting is a common symptom of neonatal intestinal obstruction. The etiology is mostly related to congenital anomalies and other conditions causing intestinal obstruction.

Case Presentation: We report a case of a seven days male premature baby (35 Weeks) that presented with features of intestinal obstruction including bilious vomiting and abdominal distention. X-ray abdomen showed features of complete small bowel obstruction. On laparotomy, the baby had acute appendicitis causing multiple adhesions, and an adhesion band was responsible for intestinal obstruction. Adhesions were divided, and appendectomy performed. Postoperatively the baby had an uneventful recovery and was discharged in a stable condition.

Conclusion: Neonatal appendicitis causing intestinal obstruction is a rare phenomenon and should be considered in the differential diagnosis of babies presenting with bilious vomiting.

Keywords: Appendicitis, Neonate, Intestinal obstruction, Bilious vomiting.

Introduction

Neonatal appendicitis (NA) an extremely rare condition and true incidence is not known. It is more frequent in premature babies and due to the lack of specific signs and low index of suspicion, the diagnosis of acute appendicitis in neonates is often delayedwith a higher mortality rate.[1] Bilious vomiting in neonates is a sign of intestinal obstruction caused by a variety of conditions including intestinal atresia, malrotation, volvulus, meconium ileus, meconium plug syndrome, and necrotizing enterocolitis. [2], [3] Only a few reports of NA associated with intestinal obstruction among preterm babies and neonates have been reported. The common features of neonatal appendicitis are abdominal distension and signs of sepsis.[4] Neonatal appendicitis causing adhesive band obstruction is a rare phenomenon, and diagnosis can be delayed with serious consequences, including sepsis, bowel ischemia and gangrene.[5]

The purpose of this report is to share a case of a 7-day oldpremature baby that presented with features of intestinal obstruction secondary to acute appendicitis causing bowel adhesions and an appendicular band causing small bowel obstruction.

Case Report

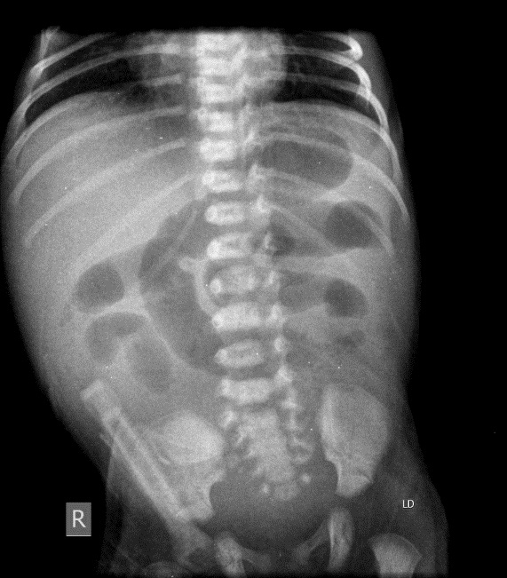
A preterm male born at 35 weeks +5 days of gestation by spontaneous vaginal delivery to a Para 4+ mother. The baby remained well after birth and had physiological jaundice that improved gradually, and baby was discharged home on day 3. On day 7, the baby was brought to the Pediatric emergency department with a history of greenish vomiting. He had five episodes of bilious vomiting, also witnessed on arrival in the emergency department. On presentation, his weight was 2.1 kg; he was active and crying, afebrile, and withoutany respiratory distress. The abdomen was distended, with generalized tenderness. Baby had normal inflammatory markers including leukocyte count and CRP. Abdominal x-ray showed dilated small bowel suggestive of intestinal obstruction with no free gas in the abdomen (Fig. 1). Abdominal Ultrasound showed only excessive gases in the epigastric area.

The baby was reviewed by the Pediatric surgery team, resuscitated, and booked for exploratory laparotomy with the diagnosis of small bowel obstruction. On laparotomy, there was an acutely inflamed appendix that had formed bowel adhesions and encircled a loop of small intestine causing complete small bowel obstruction with partial ischemia and bluish discoloration of the intestine (Fig. 2 A, 2B). After separation of the appendicular adhesions, an appendectomy was performed. The bowel vascularity recovered after separation of the adhesions. The baby had an uneventful recovery and was discharged home in stable condition and remained well at follow up visits.

Discussion

Acute appendicitis is uncommon in children under two years of age, affecting only 2% of children in this age group and extremely rare in a neonate and has high mortality and complication rates.[6], [7] The rarity of NA is due to many factors. The appendix in a neonate is still in fetal shape with a wide funnel-shaped base towards the cecum and thus less prone to obstruction.[8] NA is highly fatal, especially among preterm infants, and needs early intervention to avoid complications.[9] Diagnosis of NA is often delayed as no particular symptom or clinical test is diagnostic of NA. The symptoms are usually non-specific, such as abdominal distension, vomiting, or anorexia, thus, consideration of NA as one of the differential diagnoses of newborns with gastrointestinal symptoms is essential. [10] The concept that green vomiting is indicative of mechanical obstruction until proved otherwise is a foundation of the neonatal practice. Few cases, however,may not have a surgical cause. A high index of suspicion is warranted, and babies with features of intestinal obstruction shall have a full evaluation by the neonatal medical and surgical teams.

In our case, the baby presented with bilious vomiting and features of intestinal obstruction. Radiological investigations were in favor of intestinal obstruction and blood investigations were also within normal limits without signs of severe sepsis. Differential diagnosis included malrotation & congenital bands obstruction. The diagnosis of appendicular band syndromewas only confirmed after an exploratory laparotomy. The consequences of delay in diagnosis of an appendix causing band obstruction can be ischemia of the affected bowel by the compressing appendicular band and may cause gangrene of the intestine with serious consequences.

In a neonate with features of intestinal obstruction and after stabilizing the patient, appropriate imaging studies of the abdomen should be performed. Dilated bowel loops and air-fluid levels suggest a surgical abdomen and urgent consultation with a pediatric surgeon is indicated.

Intestinal obstruction in acute appendicitis is often due to mass formation, local abscess formation, generalized peritonitis or late postoperative adhesions. There are few reports of perforated NA causing intestinal obstruction in neonates.[10] Perforated infantile appendicitis case complicated with intestinal obstruction due to adhesions have also been reported.[11] A systemic review was done by JG, Makama, et al. in 2017 about intestinal obstruction caused by appendicitis and found that it occurs predominantly among male babies and had a wide age range from 3years to over 80 years.[12] In 84.4% cases the cause was mechanical obstruction resulting from one or a combination of the following: adhesions, herniation through a ring or gap formed by the appendix tip being attached to its base, appendix tip attached to the bowel causing a torsion, kinking of the bowel and complex knotting.[12]

In our case, there was local peritonitis with inflamed appendix tip caused adhesion with another bowel loop and made a band around another small bowel loop causing obstruction and compromised the blood supply of the intestine. This condition is rare reported. Very few cases that describe NA associated with intestinal obstruction among preterm neonates have been reported.

In conclusion, NA remains a challenging disease, with intestinal obstruction representing a rare complication. Their nonspecific symptoms present similarly in preterm neonates. Early intervention is helpful for the diagnosis and treatment of both NA and intestinal obstruction when symptoms are persisting.


Figures

Figure 1 

Xray abdomen showing features of small intestinal obstruction



Fig.2 A, 2B 

A) Forceps pointing towards area of appendix tip adhesion. B) Acutely inflamed appendix after separation of adhesions



Notes

n1Conflicts of interest. None declared

n2Source of Support: Nil

n3Author contributions: Author(s) declared to fulfill authorship criteria as devised by ICMJE and approved the final version.

n4Consent to Publication: Author(s) declared taking informed written consent for the publication of clinical photographs/material (if any used), from the legal guardian of the patient with an understanding that every effort will be made to conceal the identity of the patient, however it cannot be guaranteed.

Acknowledgments

None


References
1. Burge DM. The management of bilious vomiting in the neonate. Early Hum Dev. 2016;102:41-5.
2. Williams H. Green for danger! Intestinal malrotation and volvulus. Arch Dis Child Educ Pract Ed. 2007;92:ep87-91.
3. Singh V, Pathak M.Congenital neonatal intestinal obstruction: Retrospective analysis at tertiary care hospital.J Neonatal Surg. 2016;5:49.
4. Stifle D, Stallmach T, Sachet P. Acute appendicitis in neonates: Complication or morgues suit generis? Pediatr Surg Int. 1998;14:122–3.
5. Godbole P, Stringer MD. Bilious vomiting in the newborn: how often is it pathologic? J Pediatr Surg. 2002;37:909–11.
6. Pierrot Sarkis. Perforated appendicitis in a neonate presenting with intestinal obstruction.J Neonatal Surg. 2013; 2:24.
7. Khan RA, Menon P, Rao KLN. Beware of neonatal appendicitis. J Indian Assoc Pediatr Surg. [Internet]. 2010 [cited 2015 Jun 02];15:67-9.doi: 10.4103/0971-9261.70646.
8. Arora NK, Deorari AK, Bhatnagar V, Mitra DK, Singhal PK, Singh M, et al. Neonatal appendicitis: A rare cause of surgical emergency in preterm babies. Indian Pediatr. 1991;28:1330–3.
9. Schwartz KL, Gilad E, Sigalet D, Yu W, Wong AL. Neonatal acute appendicitis: a proposed algorithm for timely diagnosis. J Pediatr Surg. 2011;46:2060-4.
10. Raveenthiran V. Neonatal appendicitis (part 1): a review of 52 cases with abdominal manifestation. J Neonatal Surg. 2015;4:4.
11. Mirza B. Perforated appendicitis presenting as small bowel obstruction in an infant. APSP J Case Rep. 2011; 2:26.
12. Makama JG, Kache SA,Ajah LJ,Ameh EA.Intestinal obstruction caused by appendicitis: A systematic review. J West Afr Coll Surg. 2017; 7:94–115.