© 2021, Fathima et al
Received Day: 10 Month: 07 Year: 2021
Accepted Day: 23 Month: 10 Year: 2021
J Neonatal Surg. 2021; 10: 48.
DOI: 10.47338/jns.v10.999
Neonatal intussusception secondary to intestinal duplication cyst: A case report
Haseen Fathima Department of Pediatrics, Pondicherry Institute of Medical Science, Puducherry
Divya Mishra Department of Pediatrics, Pondicherry Institute of Medical Science, Puducherry
Nishanth Rajan Department of Pediatrics, Pondicherry Institute of Medical Science, Puducherry
Joseph Manuel Department of Radio-diagnosis, Pondicherry Institute of Medical Science, Puducherry
Manjiri Dilip Phansalkar Department of Pathology, Pondicherry Institute of Medical Science, Puducherry
Ninan Zachariah Department of Pediatric Surgery, Pondicherry Institute of Medical Science, Puducherry
[corresp] Dr. Nishanth Rajan, Associate Professor, Department of Pediatrics, Pondicherry Institute of Medical Science, Puducherry- 605014, India. E-mail: nishanthwolverine@gmail.com
Abstract

Background: Intussusception is a rare cause of bleeding per rectum in neonates. Duplication cyst as a pathological lead point for intussusception is rarer too.

Case Presentation: A female neonate presented with bilious vomiting and bleeding per rectum. Ultrasonography diagnosed it as intussusception. Intraoperatively, on reduction of intussusception, a mass was found which on histopathological examination (HPE) revealed a duplication cyst.

Conclusion: A high index of suspicion is required for an early diagnosis of neonatal intussusception, which is essential for preventing complications and mortality.

Keywords: Duplication cyst, Intestine, Intussusception, Neonate, Bleeding per rectum.

Introduction

The common causes of bleeding per rectum in neonates are Necrotising enterocolitis, sepsis, cow’s milk protein allergy, congenital gut anomalies like malrotation, volvulus, and hemorrhagic disease of newborns.[1] Intussusception is a rare clinical entity in newborns.[2] The incidence of intussusception is 1-4/1000 live births with a male to female ratio 3:2.[3]Herein we describe a case of a female neonate who presented with bilious vomiting and blood in stools which was initially thought to be malrotation.

Case Report

A 3.48kg female baby was born at 39 weeks of gestation. The antenatal period was uneventful with normal antenatal scans. The baby passed meconium at birth and was on exclusive breastfeeds. At 36 hours of life, the baby had 2 episodes of bilious vomiting. There was no tachycardia or fever, no abdominal distension, or palpable mass. There was no dyselectrolytemia, C reactive protein was negative, and the baby was hemodynamically stable. Nasogastric tube aspirate was light bilious, and the baby started passing a small quantity of mucus with minimal blood staining. The Apt test was indicative of fetal hemoglobin. Plain X-Ray of the abdomen showed dilated bowel loops in the periphery. Based on the history and examination a diagnosis of malrotation or early-onset sepsis was made, and intravenous antibiotics were started.

After one day of conservative management, the baby started passing red currant jelly stools. Ultrasound abdomen showed the characteristic target sign, suggestive of intussusception. The baby was taken up for exploratory laparotomy. Intraoperatively, an ileocecocolic intussusception (Fig. 1) was found, which was manually reduced. On palpation of caecum, an intraluminal mass was palpable. Resection of ileum, caecum with the appendix, and 4cm of ascending colon were done followed by ileocolic anastomosis.

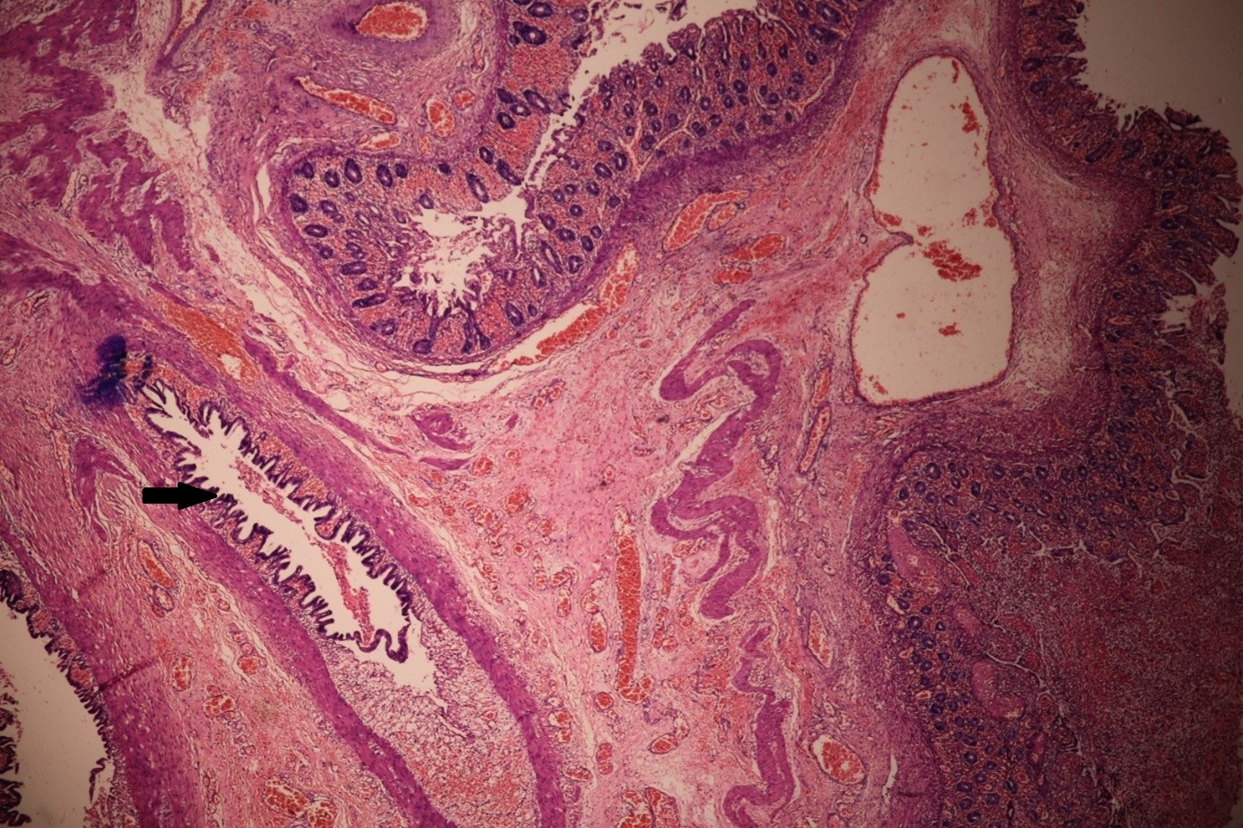
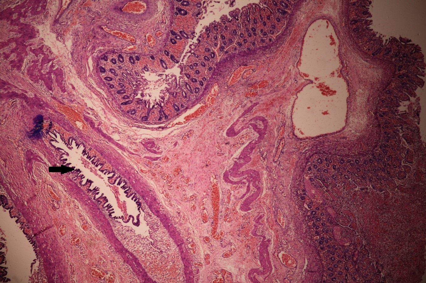
The postoperative period was uneventful, and breastfeeding was started by the 5th POD. Histopathological examination revealed cystic duplication lined by primitive epithelium suggestive of duplication cyst (Fig. 2).

Discussion

Intussusception is an invagination of a segment of the intestine into another segment. Neonatal intussusception is only 0.3% of all intussusception.[2] But hardly a few case reports are available in the literature about neonatal intussusception secondary to intestinal duplication cyst.

Duplication cysts are a rare anomaly occurring during the development of the gut. They are epithelial-lined structures present in the mesenteric border of the intestine.[4] Around 70% of the cysts are diagnosed during the first 2 years of life. Enteric duplication cysts are rare, about 1:4500 live births. Ileal cysts account for 53% of cases and intussusception can be a presenting modality.[4] Partial twinning in the foregut or hindgut, persistent endo-mesenchymal tract between amnion and yolk sac, the persistence of embryological diverticula, and aberrant recanalization of the lumen are a few among many theories proposed for the development of duplication cysts.[5] There are two varieties, tubular (communicating-20%) and cystic (non-communicating-80%).[6]

Usually, cystic variety acts as a lead point for intussusception as it exerts pressure on the lumen, at times for volvulus also [5] and can have a clinical presentation of intestinal obstruction which can present as nausea, vomiting, irritability, abdominal distension, and mass.[4] Duplication cyst can have ectopic gastric mucosa which can cause ulceration, hemorrhage, and perforation.[5]

Dilated bowel loops on antenatal ultrasonography can suggest intestinal obstruction and occasionally pick up duplication cyst. Postnatal diagnosis of intussusception is mainly supported by ultrasonography, however, when the clinical symptoms and signs are non-specific, an upper GI contrast study has to be done to rule out malrotation and volvulus.[5] But in our case, antenatal ultrasounds were normal and there were dilated bowel loops on plain radiograph, which was described as the most common abnormality by Avasino et al.[7] A tabular presentation of reported neonatal intussusception and outcomes is illustrated in Table 1.

Other anomalies like spina bifida, cardiac or urinary malformations are reported in around 20% of children with duplication cysts. Digestive problems are also associated with 10% of children. Thus any child diagnosed with a duplication cyst, a search for other anomalies is also to be made.[11]

To conclude, Intussusception should be ruled out in a neonate with bilious vomiting and blood in stools when there are no signs of sepsis and/or NEC. Ultrasound is the modality of choice.


Figures

Figure 1 

Intraoperative image showing ileocecocolic intussusception.



Figure 2 

Histopathology picture of colonic mucosa with ischemic changes. Underlying cystic duplication lined by primitive epithelium (Black arrow).



Tables
[TableWrap ID: t1] Table 1: Summary of few reported cases of neonatal intussusception. 


S. No. Author and Year of publication No. of cases Sex Gestational status Clinical features Mode of diagnosis Surgical procedure Lead point Outcome
1. Veerabhadra2019 [1] 1 Male Term Bleeding per rectum and shock on day 6 of life Ultrasound- ileocolic intussusception resection and end to end anastomosis Nil Uneventful
2. Loukas2009 [8] 1 Female Preterm Bilious vomiting on day 7 of illness Upper GI study suggested incomplete obstruction. Peroperatively intussusception was seen Reduction Nil Uneventful
3. Tepmalai 2017 [9] 1 Male Preterm Abdominal wall erythema and abdominal distension Peroperatively ileo-ileal intussusception was seen. Reduction of the gut Nil Uneventful
4. Sunil2018 [2] 1 Male Preterm Feed intolerance, abdominal distention and recurrent apneas on day 8 of life. Ileo-ileal intussusception was found peroperatively Resection and anastomosis Nil Uneventful
5. Hukeri2019 [10] 1 Male Preterm bilious vomiting and progressive abdominal distension exploratory laparotomy which revealed a jejunojejunal intussusception with gangrenous areas Resection anastomosis NIl Died on day 3 post operatively


Notes

n1Conflicts of interest. Nil.

n2Source of Support: Nil

n3Author contributions: Author(s) declared to fulfill authorship criteria as devised by ICMJE and approved the final version.

n4Consent to Publication: Author(s) declared taking informed written consent for the publication of clinical photographs/material (if any used), from the legal guardian of the patient with an understanding that every effort will be made to conceal the identity of the patient, however it cannot be guaranteed.

Acknowledgments

None


References
1. Radhakrishna V, Jindal B, Naredi BK, Balachander B, Nivedita M. Neonatal intussusception: A rare but important cause of bleeding per rectum in a neonate. Trop Gastroenterol. 2019; 39:37–9.
2. Pawar SJ, T S, Reddy S, Chethi S. A case report, ileo-ileal intussusception in preterm neonate: An unusual location. Acad J Pediatr Neonatol. 2018; 6:1–2.
3. Hassan A, Zain M, Ghazaly Y. Primary neonatal ileoileal intussusception. J Pediatr Surg Case Rep. 2019; 41:18–20.
4. Sharma S, Yadav AK, Mandal AK, Zaheer S, Yadav DK, Samie A. Enteric duplication cysts in children: A clinicopathological dilemma. J Clin Diagn Res. JCDR. 2015; 9:EC08-EC11.
5. Joshi SB, Muddashetty R, Patel HBN. Duplication cyst presenting as intussusception: Report of two cases. Int J Anat Radiol Surg. 2016; 5: SC01-SC03.
6. Domajnko B, Salloum RM. Duplication cyst of the sigmoid colon. Gastroenterol Res Pract. 2009: 918401. https://doi.org/10.1155/2009/918401.
7. Avansino JR, Bjerke S, Hendrickson M, Stelzner M, Sawin R. Clinical features and treatment outcome of intussusception in premature neonates. J Pediatr Surg. 2003; 38:1818–21.
8. Loukas I, Baltogiannis N, Plataras C, Skiathitou AV, Siahanidou S, Geroulanos G. Intussusception in a premature neonate: A rare often misdiagnosed cause of intestinal obstruction. Case Rep Med. 2009;2009. https://doi.org/10.1155/2009/607989.
9. Tepmalai K, Naowapan T, Singhavejsakul J, Laohapensang M, Khorana J. Intussusception in premature baby: unusual cause of bowel obstruction and perforation. J Neonatal Surg. 2017; 6:13.
10. Hukeri AR, Gupta A, Kothari P, Dikshit V, Kekre G, Deshmukh S, et al. Bowel intussusception in premature baby: Needs high degree suspicion for early detection. J Clin Neonatol. 2019; 8:57.
11. Rasool N, Safdar CA, Ahmad A, Kanwal S. Enteric duplication in children: clinical presentation and outcome. Singapore Med J. 2013; 54:343-6. https://doi.org/10.11622/smedj.2013129.