© 2021, Acosta Farina et al
Received Day: 21 Month: 01 Year: 2021
Accepted Day: 03 Month: 04 Year: 2021
J Neonatal Surg. 2021; 10: 19.
DOI: 10.47338/jns.v10.939
Spontaneous duodenal perforation in a neonate
Daniel Acosta Farina Dr. Roberto Gilbert Elizalde Children's Hospital. Guayaquil-Ecuador
Jorge Oliveros Rivero Dr. Roberto Gilbert Elizalde Children's Hospital. Guayaquil-Ecuador
Vicente Salinas Salinas Dr. Roberto Gilbert Elizalde Children's Hospital. Guayaquil-Ecuador
Manuel Cabrera Viteri Dr. Roberto Gilbert Elizalde Children's Hospital. Guayaquil-Ecuador
Claudia Salazar Caicedo Dr. Roberto Gilbert Elizalde Children's Hospital. Guayaquil-Ecuador
Daniel Acosta Bowen Medical Doctor, Universidad Catolica Santiago de Guayaquil. Ecuador
[corresp] Daniel Acosta Farina, Department of Pediatric Surgery, Dr. Roberto Gilbert Elizalde Children's Hospital. Guayaquil, Ecuador, 090505. E-mail: acofa111@yahoo.es

Case Presentation

A male neonate born at 29 weeks of gestation by emergency cesarean section due to preeclampsia, small for gestational age, with a birth weight of 800 grams and length of 34.5 cm. APGAR scores were 4,6,7 at 1,5 and 10 minutes, respectively. The mother was 31-year-old, who had chronic arterial hypertension treated with Methyldopa and Nifedipine. Antenatal scans showed intrauterine growth restriction. At 24 weeks of gestational age, the mother received steroids for fetal lung maturation. The baby had severe respiratory failure thus shifted to the neonatal intensive care unit (NICU) on mechanical ventilation. On the 9th day of life, the patient was extubated and shifted to non-invasive ventilation (CPAP: continuous positive airway pressure). Orogastric tube feeding was started with the mother’s breast milk and the baby had good tolerance and several bowel movements.

At 30 days of life, the baby developed an ill appearance, dark brown secretions from the orogastric tube, abdominal distension, increased abdominal girth, and a tender abdomen. Laboratory investigations showed raised white blood cell (WBC) counts of 12.8 x 103/L, C - reactive protein (CRP) 8.1 mg/L, Procalcitonin (PCT) 14ng/ml, and blood culture Staphylococcus haemolyticus. An abdominal x-ray revealed pneumoperitoneum (Fig. 1). Laparotomy showed a 0.5 cm perforation on the anterior aspect of the first part of the duodenum (Fig. 2) covered by fibrinous tissue and adhered to the inferior surface of the liver. Primary closure of the perforation was performed using 5-0 poliglecaprone and a Penrose drain was placed. Orogastric and orojejunal tubes were placed. On the third postoperative day (POD), the drain was removed followed by extubation. On POD-5, trophic enteral feeds were started via orojejunal tube and increased as per acceptance. At POD-15, the baby developed severe respiratory insufficiency which caused cardiac arrest and warranted intubation with advanced CPR but the baby succumbed.

Discussion

The prevalence of duodenal perforation in newborns is unknown, with the majority of perforations located on the anterior duodenum.[1], [3], [6], [7], [8] Although duodenal perforation etiology is unknown, there are two hypotheses. One is a congenital absence of intestinal smooth muscle with intact mucosa and submucosa and the other is ischemic necrosis of the intestinal wall secondary to hypoxia.[3] So, it is advised to perform a biopsy in all possible cases. In our case, it was not performed due to the high probability of damaging the pylorus risking stenosis due to scarring.

The literature describes the following risk factors as potential causes of duodenal perforation: peptic ulcers caused by stress, enteral nutrition tubes, prolonged use of oxygen through nasal cannula or face mask, high acid secretions in newborns in the first 10 days due to high maternal gastrin, prematurity, and low birthweight. [4], [5] In our case, the patient had several risk factors including prematurity, low birth weight, prolonged use of nasal oxygen cannula, orogastric tube for feeding, and sepsis, but we do not know which of them was the exact cause of the duodenal injury. It is important to know these risk factors which may help us to make the diagnosis in a timely manner.

(Table. 1) shows the characteristics of cases of duodenal perforation in neonates reported in the literature, including our case. In all cases, the duodenal perforation was closed in one or two layers with interrupted sutures. All patients survived except our patient who died for reasons other than surgery such as prematurity, extremely low birth weight, and respiratory failure.


Figures

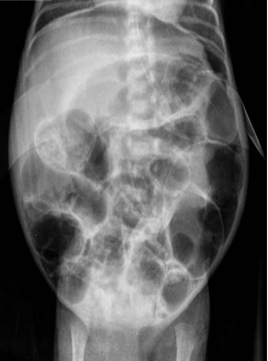
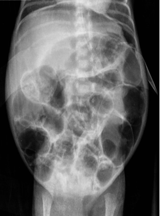
Figure 1 

Abdominal x-ray showing pneumoperitoneum.



Figure 2 

Intraoperative picture showing 0.5 cm perforation at the first segment of anterior wall of duodenum (Yellow arrow). Blue arrow showing fibrin adhered to the inferior side of the liver.



Tables
[TableWrap ID: t1] Table 1 

Characteristics of duodenal perforation cases in neonates as reported in the literature


No. Source Sex Age Weight GA Surgical findings Surgery performed Outcome
1 Chattopadhyay et al. [2] M 4 d 2700 g - Perforation on the posteromedial wall of the second portion of the duodenum -Closed in a single layer with interrupted sutures-Stamm type gastrostomy was created Survived
2 Cantero et al. [3] F 3 d 2730 g 38 w Perforation on the anterior wall of the first portion of the duodenum -Closed in two-layer with interrupted sutures-Stamm type gastrostomy-An intra-abdominal Penrose drain Survived
3 Omran et al. [4] M 23 d 2985 g 36 w Perforation on the posterior wall of the second portion of the duodenum -Closed in a single layer with interrupted sutures-Onlay pedicled omentoplasty to cover the defect-Trans-anastomotic tube was inserted. Survived
4 Aihole et al. [5] F 30 d 3150 g Full-term Perforation on the posteromedial wall of the second portion of the duodenum -Closed in a single layer with interrupted sutures Survived
5 Sarin et al. [6] M 22 d 2200 g - Perforation on the anterosuperior wall of the first part of the duodenum. -Closed in a single layer with interrupted sutures Survived
6 Sharma et al. [7] M NB 2300 g Full-term Perforation on the anterior wall of the first part of the duodenum and a gastric perforation on greater curvature. -Repair of perforation. Survived
7 Sharma et al. [7] M NB 2000 g Full-term Perforation on the anterosuperior wall of the first part of the duodenum -Repair of perforation. Survived
8 Sharma et al. [7] M NB 1700 g Full-term Perforation on the anterior wall of the first part of the duodenum -Repair of perforation. Survived
9 Amouei et al. [8] M 3 d 3150 g 38 w Perforation on the anterior wall of the first part of the duodenum -Closed in a single layer with interrupted sutures Survived
10 Present case M 30 d 800 g 29 w Perforation on the anterior wall of the first portion of the duodenum -Closed in a single layer with interrupted sutures-An intra-abdominal Penrose drain -Orogastric and orojejunal tubes were used. Died of causes not related to surgery


Notes

n1Conflicts of interest. None

n2Source of Support: Nil

n3Author contributions: Author(s) declared to fulfill authorship criteria as devised by ICMJE and approved the final version. Authorship declaration form, submitted by the author(s), is available with the editorial office.

n4Consent to Publication: Author(s) declared taking informed written consent for the publication of clinical photographs/material (if any used), from the legal guardian of the patient with an understanding that every effort will be made to conceal the identity of the patient, however it cannot be guaranteed.

Acknowledgments

None


References
1. Baeza-Herrera C, Barrera-Muñoz CE, Martínez-Leo BA, Alarcón-Quezada V, Portugal-Moreno VH. Spontaneous duodenal perforation in infants. Acta Pediatr Mex. 2012; 33:5-8. [Article in Spanish].
2. Chattopadhyay A, Yoganagendhar, Vijayjumar, Patra R. Spontaneous duodenal perforation in a newborn. Indian J Gastroenterol. 2002; 21:77.
3. Cantero Tejedor M, Vaquerizo Pollino C, Camina Gutiérrez AB, Gutiérrez Dueñas JM, Burón Martínez E, Aragón García MP. Spontaneous neonatal duodenal perforation. An Pediatr. 2005; 62:76-84. [Article in Spanish].
4. Al Omran Y, Omer Anwar M, Al-Hindi S. Duodenal perforation in a neonate: An unusual presentation and analysis of the cause. J Neonatal Surg. 2015; 4:19..
5. Aihole JS. Spontaneous duodenal perforation in a neonate: A rare case report. J Clin Neonatol. 2019; 8:189-91.
6. Sarin YK, Jacob S, Bhatti W. Duodenal perforation in a neonate. Indian Pediatr. 1998; 35:1032-3.
7. Sharma AK, Prabhakar G, Agarwal LD, Sharma CS, Sharma SC, Haldiya KN. Spontaneous duodenal perforation in neonates. Indian J Pediatr. 1991; 58: 383-5.
8. Amouei A, Ehsani F, Zarch MB, Tabatabaei SM, Ghodratipour Z. Peritonitis following duodenal ulcer perforation in a newborn: A case report. J Clin Diagn Res. 2016; 10:10-11.