© 2021, Negri et al
Received Day: 06 Month: 12 Year: 2020
Accepted Day: 19 Month: 02 Year: 2021
J Neonatal Surg. 2021; 10: 15.
DOI: 10.47338/jns.v10.922
Extralobar pulmonary sequestrations hiding congenital diaphragmatic defects: A case series
Elisa Negri Department of Pediatric Surgery, Meyer Children’s Hospital, Florence, Italy
Noemi Cantone Department of Neonatal Surgery, Meyer Children’s Hospital, Florence, Italy
Elisa Severi Department of Neonatal Surgery, Meyer Children’s Hospital, Florence, Italy
Gilda Belli Department of Neonatal and Intensive care Unit, Meyer Children’s Hospital, Florence, Italy
Francesca Tocchioni Department of Neonatal Surgery, Meyer Children’s Hospital, Florence, Italy
Nicola Centonze Department of Neonatal Surgery, Meyer Children’s Hospital, Florence, Italy
Enrico Ciardini Department of Pediatric Surgery, APSS Santa Chiara Hospital, Trento, Italy
Bruno Noccioli Department of Neonatal Surgery, Meyer Children’s Hospital, Florence, Italy
[corresp] Elisa Negri, M. D., Department of Pediatric Surgery, University of Florence, Meyer Children’s Hospital, Viale Gaetano Pieraccini 24, 50139 Florence, Italy. E-mail: elisa.negri@unifi.it
Abstract

Background: Association between pulmonary sequestration and diaphragmatic hernia is well known. Extralobar sequestrations are masses of the non-functioning lung, surrounded by separate pleura, without bronchial communication, and with a systemic arterial blood supply. They may be placed in the thorax, within the diaphragm, or rarely in a sub-diaphragmatic position.

Case Series: We present three cases of extra-lobar extra-thoracic pulmonary sequestrations associated with different types of diaphragmatic defects. In none of the three cases, the diaphragmatic defect was detected prenatally.

Conclusion: Pulmonary sequestration may be involved in the embryological origin of the diaphragmatic defect. Simultaneously, it acts as an anatomical barrier and prevents the herniation of the abdominal content into the thorax. If extralobar pulmonary sequestration is diagnosed prenatally, a coexistent diaphragmatic hernia should always be considered.

Keywords: Bronchopulmonary sequestration , Diaphragmatic hernia, Fetal MRI.

Introduction

Bronchopulmonary sequestrations (BPS) are congenital malformations in which a portion of an immature, non-functioning lung develops without bronchial communication and with a systemic arterial blood supply.[1] The condition was first described by Prynce in 1946, although Rokitansky and Rektorik described a similar clinical finding in 1861.[2] Based on the pleural covering, it can be classified as intralobar sequestrations (ILS) and extra lobar sequestrations (ELS). About 25% of BPS are extra lobar. They can be located in the thoracic cavity, in the abdomen, or rarely within the diaphragm. Less than 10% of ELS arise under the diaphragm, mainly in the left upper abdomen.[3] Association between extralobar sequestration and diaphragmatic hernia is well known.[4] Savic et al. described a 27% incidence of congenital diaphragmatic hernia (CDH) with ELS.[5] Other series have also described a common association of BPS and CDH, with an incidence of 15-30%.[6], [7], [8]

We herein present 3 cases of ELS with a coexistent diaphragmatic defect. The purpose of the study is to underline the possible coexistence of these two diseases reflecting on their standard embryology.

Case Series

Case 1:

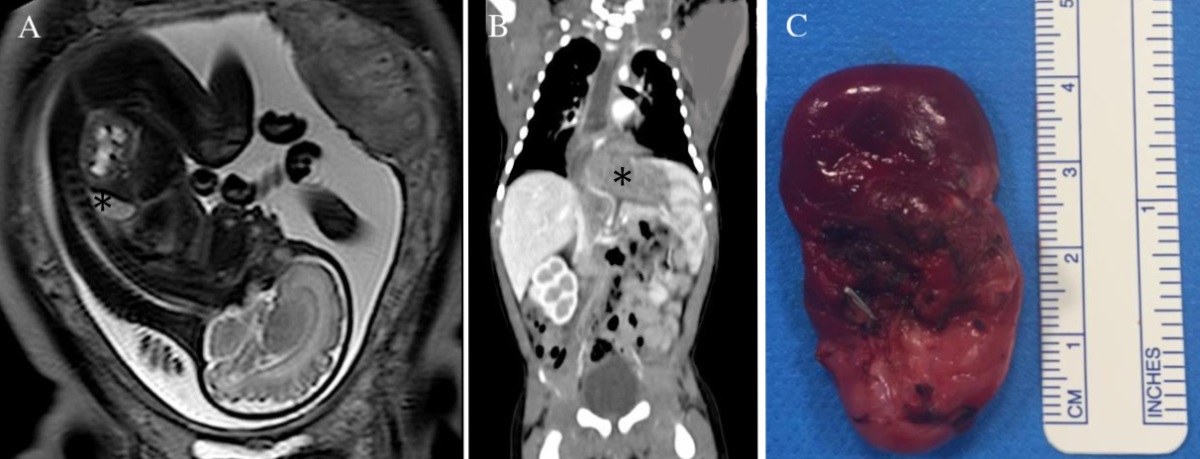
A full-term male infant was referred to our hospital for an anomalous thoracic mass found during fetal ultrasonography. At 32 weeks of gestation, a fetal MRI confirmed the presence of an expansive lesion located in the posterior mediastinum, measuring 41 x 32 x 27 mm. No distinct vascular supply was detected. At birth, the baby was shifted to our neonatal intensive care unit, spontaneously breathing with stable vitals. No associated anomalies were identified. At 11 days of life, angio-MRI and a thoracoabdominal CT scan showed a hiatal hernia with the gastric fundus sliding in the thorax. The previously described lesion was located at the level of the T8 vertebra, anterior to the thoracic aorta, extending through the diaphragm's esophageal hiatus until a retro-gastric position. It appeared to be supplied by an arterial vessel coming from the celiac trunk.

Barium X-ray excluded bronchopulmonary foregut malformation and confirmed the hiatal hernia with gastro-oesophageal reflux. Early surgery was planned in order to define the nature of the lesion. The parenchymatous mass was located in the abdomen, in the inter-aortocaval region, supplied by an arterial vessel from the left gastric artery. It was excised "en bloc" via an open approach. The wide defect of the esophageal hiatus was repaired through a hiatoplasty, and a Nissen fundoplication was performed. Gross examination and histopathological findings were consistent with the diagnosis of pulmonary sequestration (Fig. 1). The patient was discharged on the tenth postoperative day. Follow-up at six months showed no complications.

Case 2:

A male infant, delivered at term, came to our attention for the prenatal ultrasonography finding of a thoracic mass, suggestive of extralobar pulmonary sequestration. A fetal MRI, performed at 21 weeks of gestation, showed a left-sided lesion (size: 14 x 18 x 15 mm) located in the posterior costo-diaphragmatic recess with an arterial blood supply from the abdominal aorta. The infant was asymptomatic; he underwent a thoracic CT scan at three months to determine the lesion's nature. It confirmed the presence of a triangular-shaped lesion, sized 20x20x17 mm, in the lower-left hemithorax, not communicating with the bronchial tree, with an arterial supply from the celiac trunk and venous drainage towards the hemiazygos system, according to the diagnosis of extra lobar pulmonary sequestration. No diaphragmatic defects were detected (Fig. 2). Surgery was performed at seven months of age via thoracoscopy. At the initial exploration, the mass turned out to slide in thorax from the abdomen through a small Bochdalek's diaphragmatic hernia. Due to the challenge of a thoracoscopic procedure, a left posterolateral thoracotomy was performed, and the lesion was excised "en bloc" with its sac. The diaphragmatic defect was closed with separate non-absorbable stitches. Histological examination confirmed the diagnosis of BPS. Postoperative recovery was uneventful, and the baby was in regular follow-up without any complications.

Case 3:

A male neonate, delivered at term, was referred to our institution for prenatal ultrasonography finding of thoracic mass located in the inferior lobe of the left lung. A fetal MRI, performed at 21 weeks of gestation, showed a hyper-diaphanous area in the inferior lobe with a central area of thickened parenchyma, suggestive of a hybrid malformation mixing congenital lobar overinflation and extra lobar pulmonary sequestration. A systemic vascular supply was not detected. A CT scan, performed at three months of age, confirmed inflation in the lower part of the inferior lobe with a solid epi-diaphragmatic mass. The lesion was 17 x 27 x 15 mm in dimensions supplied by an arterial vessel from the abdominal aorta (Fig. 3). The patient underwent thoracotomy two months later. The inferior lobe was overinflated, and an ELS appeared to come from the abdomen through a defect in the diaphragm. The parenchymal mass was excised, and an inferior lobectomy was performed. The diaphragmatic defect was closed with separate non-absorbable stitches. Histopathological examination confirmed the diagnosis of BPS and lobar emphysema. The postoperative course was uneventful.

Discussion

In 1968 Gerle et al. proposed the term 'congenital bronchopulmonary foregut malformations' (CBPFM) to describe a spectrum of congenital anomalies associated with developing the foregut, pulmonary, airway, and vascular components, which share the same embryology. CBPFM may or may not communicate with the upper gastrointestinal tract.[9] BPS is in the non-communicating group. They are of two forms: intralobar and extralobar, depending on whether the lesions are within the visceral pleura of the normal lung or not. ELS has separate pleura and may be present in the thorax, within the diaphragm, or in a sub-diaphragmatic position.[10] They have male predominance, and they are more commonly found on the left side. Coexistent congenital anomalies are present in 60% of patients with BPS. CDH is the most common associated defect, with an incidence of about 15-30% of cases.[11], [7]

Few articles in the literature reported the association between extra-lobar extra-thoracic pulmonary sequestration and other diaphragmatic defects, such as hiatal hernia; nevertheless, this is not surprising if we compare the embryology of pulmonary sequestrations and that of the diaphragm. BPS develops at 4-5 weeks of gestation. This occurrence can interfere mechanically with diaphragm fusion and pleuroperitoneal canal closure occurring during the tenth weeks of gestation, resulting in CDH.[12]

Cruz et al. postulate that even if the BPS may have been involved in the etiology of the diaphragmatic defect, it seems to serve as an anatomical barrier, preventing herniation of the abdominal contents into the thoracic cavity and allowing normal development of both lungs.[7] Following this hypothesis, CDH may be missed during prenatal imaging. Similarly, Kim et al. reported two prenatally detected BPS cases with coexisting congenital diaphragmatic hernia confirmed only after birth.[13]

Even if ultrasound continues to be the screening modality of choice for evaluating fetuses, prenatal MRI could be useful for diagnosing thoracic lesions because it offers operator-independent imaging with excellent soft-tissue contrast and a large field of view.[14] It affords a more accurate study of associated congenital anomalies and better patient counseling. Although in none of the three cases presented, the diaphragmatic defect was detected prenatally during MRI because the pulmonary lesion covers the defect and prevents the herniation of abdominal content into the thorax. At birth, ELS is often asymptomatic. The rate of ELS infection in the thoracic cavity is 11%, and that in the diaphragm is 67%; however, the rate of infection in the abdominal cavity was not determined.[15] Their vascular pedicle could rarely undergo torsion, and infarcted lesions always manifest with thoracic or abdominal pain.[16] An enhanced chest CT scan can clearly show aberrant feeding arteries and become the preferred examination for BPS. MRI can detect the relationship between the lesion and the aberrant feeding arteries of the systemic circulation without contrast agents unless it is less useful in revealing the pathologic features of BPS.

Because intra-abdominal ELS are usually asymptomatic with rare complications such as malignancy or infection and spontaneous regression is likely, conservative management has been advocated. However, surgical resection remains the principal treatment because complete excision can confirm the diagnosis by histopathological analysis.[15]

Conventional thoracotomy is currently a mature technique; in recent years, thoracoscopy and VATS are getting more acceptability. The laparoscopic approach is used only when the pre-operative diagnosis was intra-abdominal ELS. Besides, some authors reported the application of transcatheter arterial embolization. However, this new technique has not been validated in long-term follow-up.[15]

To conclude, if a lung mass is prenatally suspected, clinicians should be aware of a diaphragmatic defect's possible coexistence, even in the absence of prenatal imaging suggestive of it. Therefore, it is advised for careful prenatal counseling of parents to deliver infants with a thoracoabdominal mass diagnosis at a tertiary center.


Figures

Figure 1 

(A) Prenatal MRI is showing an expansive lesion located in the posterior mediastinum. (B) Postnatal computed tomography image showing the lesion located at the level of T8 vertebra (*), supplied by an arterial vessel, coming from the celiac trunk. (C) Macroscopic finding.



Figure 2 

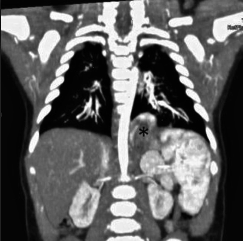
Postnatal computed tomography image showing a triangular-shaped lesion in the lower-left hemithorax, not communicating with the bronchial tree (*). The lesion had an arterial supply from the celiac trunk.



Figure 3 

Postnatal computed tomography image showing over inflation in the lower part of the inferior lobe with a solid epi-diaphragmatic mass (*).



Notes

n1Conflicts of interest. None

n2Source of Support: Nil

n3Author contributions: Author(s) declared to fulfill authorship criteria as devised by ICMJE and approved the final version. Authorship declaration form, submitted by the author(s), is available with the editorial office.

n4Consent to Publication: Author(s) declared taking informed written consent for the publication of clinical photographs/material (if any used), from the legal guardian of the patient with an understanding that every effort will be made to conceal the identity of the patient, however it cannot be guaranteed.

Acknowledgments

None


References
1. Bratu I, Flageole H, Chen MF, Di Lorenzo M, Yazbeck S, Laberge JM. The multiple facets of pulmonary sequestration. J Pediatr Surg. 2001; 36:784-90.
2. Pryce DM. Lower accessory pulmonary artery with intralobar sequestration of lung; a report of seven cases. J Pathol Bacteriol. 1946; 58:457-67.
3. Laje P, Martinez-Ferro M, Grisoni E, Dudgeon D. Intraabdominal pulmonary sequestration. A case series and review of the literature. J Pediatr Surg. 2006; 41:1309-12.
4. Kawamura N, Bhandal S. Coexistent congenital diaphragmatic hernia with extrapulmonary sequestration. Can Respir J. 2016;2016.
5. Savic B, Birtel F, Tholen W, Funke H, Knoche R. Lung sequestration : report of seven cases and review. Thorax. 1979; 34:96-101.
6. Grethel EJ, Farrell J, Ball RH. Does congenital diaphragmatic hernia associated with bronchopulmonary sequestration portend a better prognosis? Fetal Diagn Ther. 2008; 23:250-3.
7. Cruz SM, Akinkuotu AC, Cass DL, Lee TC, Cassady CI, Mehollin-Ray AR, et al. Space occupying lesions in the presence of congenital diaphragmatic hernia. J Pediatr Surg. 2016; 51:710-13.
8. Soni S, Moldenhauer JS, Rintoul N, Adzick NS, Hedrick HL, Khalek N. Perinatal outcomes in fetuses prenatally diagnosed with a congenital diaphragmatic hernia and concomitant lung lesions: A 10-year review. Fetal Diagn Ther. 2020; 47:630-35.
9. Gerle RD, Jaretzki A, Ashley CA, Berne S. Congenital bronchopulmonary-foregut malformation. N Engl J Med. 1968; 278:1413-9.
10. Laberge JM, Bratu I, Flageole H. The management of asymptomatic congenital lung malformations. Paediatr Respir Rev. 2004; 5. 2004: S305-S312.
11. Harris K. Extralobar sequestration with congenital diaphragmatic hernia: a complicated case study. Neonatal Netw. 2004; 23:7-24.
12. Luet'Ic T, Crombleholme TM, Semple JP, D'Alton M. Early prenatal diagnosis of bronchopulmonary sequestration with associated diaphragmatic hernia. J Ultrasound Med. 1995; 14:533-5.
13. Kim HM, Hwang JH, Kim MJ, Cha HH, Seong WJ. Postnatally diagnosed coexisting congenital diaphragmatic hernia with pulmonary sequestration: A report of two cases. Obstet Gynecol Sci. 2020; 63:529-33.
14. Levine D. Fetal magnetic resonance imaging. J Matern Neonatal Med. 2004;v15:85-94.
15. Xu G, Zhou J, Zeng S, Zhang M, Ouyang Z, Zhao Y, et al. Prenatal diagnosis of fetal intraabdominal extralobar pulmonary sequestration: a 12-year 3-center experience in China. Sci Rep. 2019; 9:1-9.
16. Son SA, Do YW, Kim YE, Lee SM, Lee DH. Infarction of torsed extralobar pulmonary sequestration in adolescence. Gen Thorac Cardiovasc Surg. 2020; 68:77-80.