© 2020, Hekimoğlu et al
Received Day: 21 Month: 06 Year: 2020
Accepted Day: 13 Month: 09 Year: 2020
J Neonatal Surg. 2020; 9: 25.
DOI: 10.47338/jns.v9.663
Idiopathic congenital chylothorax treated with povidone-iodine
Berna Hekimoğlu University of Health Sciences, Kanuni Training and Research Hospital, Department of Pediatrics, Division of Neonatology, Trabzon, Turkey
Sefa Sağ University of Health Sciences, Kanuni Training and Research Hospital, Department of Pediatric Surgery, Trabzon, Turkey
Dilek Başar University of Health Sciences, Kanuni Training and Research Hospital, Department of Pediatric Surgery, Trabzon, Turkey
Şebnem Kader Karadeniz Technical University, Faculty of Medicine, Department of Pediatrics, Division of Neonatology, Trabzon, Turkey
[corresp] Berna Hekimoğlu, University of Health Sciences, Turkey. E-mail: dr.bernasygn@gmail.com

Case Presentation

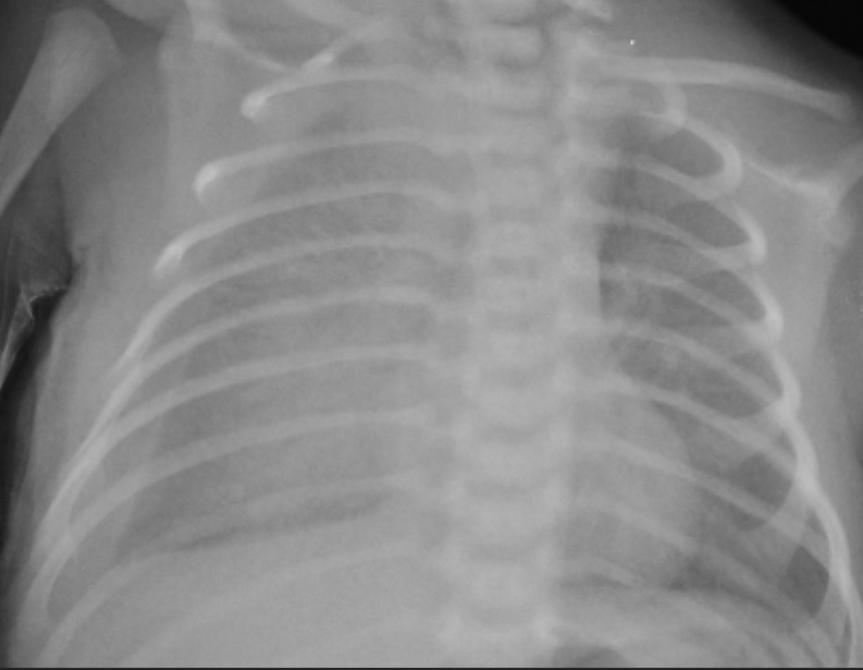
A 2900g female term newborn born by cesarean section to a 21-year-old primigravida mother. Bilateral pleural effusion and polyhydramnios were detected on follow-up at the 36th week of gestation. After delivery, the newborn was intubated immediately due to respiratory depression. Bilateral thoracentesis was carried out in the delivery room. The chest x-ray showed bilateral pleural effusion (Fig.1). Since the pleural effusion re-accumulated rapidly, the chest tube (right side) was placed on postnatal day 1. The pleural fluid was colorless and its analysis revealed pH 7.3, density 1005, lactate dehydrogenase 164 IU/L, protein 1.1g/dl, cholesterol 27 mg/dl, triglyceride 13 mg/dl, white cell count with 5% lymphocytes and 90% polymorphs. Chromosomal analysis, echocardiogram, cranial, and abdominal ultrasound (USG) examinations of the baby were normal. No viral or bacterial infection was detected on laboratory workup.

On improvement, the intercostal tube was removed on the fifth day and the baby weaned off the ventilator on the 6th day. On the 10th day, the baby again required intubation and mechanical ventilation because of respiratory distress. The radiograph was suggestive of right pleural effusion. Thoracic USG showed pleural effusion reaching 30 mm on the right hemithorax. The intercostal tube was reinserted, and the analysis of fluid revealed milky white fluid with a triglyceride level of 1114 mg/dl, a cholesterol level of 64 mg/dl, and a total count of 15120/mm3 with 93% lymphocytes. The fluid culture was sterile. A diagnosis of congenital chylothorax was made. Enteral feed was discontinued, and parenteral nutrition was instituted along with octreotide infusion. Octreotide infusion was started at a rate of 1 μg/kg/hr and was gradually increased to 10 μg/kg/hr. As the response was poor with octreotide, on the 27th day of life, chemical pleurodesis was done with 10% povidone-iodine (Betadine®), 2 ml/kg, without dilution through the intercostal tube. The chest tube output decreased within 24 hours. The chest tube was removed after 48hrs of nil chest tube output. The baby recovered continuously and was discharged on the 45th day of life, with a formula containing medium-chain fatty acid. At the 12-month follow-up, she was doing fine with normal thyroid functions.

Discussion

Congenital chylothorax is one of the most important causes of pleural effusion in newborns.[1] Chylous and non-chylous effusions are difficult to distinguish in infants who are not taking orally. In our case, the first pleural fluid sample was taken before the start of enteral feeding, thus was not indicative of chylothorax. However, the pleural fluid became milky white after the start of enteral feeding. The resultant chylous effusion may cause respiratory compromise [2] as happened in our case who required mechanical ventilation in addition to tube thoracostomy. The conservative treatment should be started immediately after the diagnosis is made.[3][4] In cases refractory to the conservative treatment, chylothorax leads to hypoalbuminemia, electrolyte imbalance, coagulation dysfunction, lymphopenia, malnutrition. and immune deficiency. Chyle that exceeds 10ml/kg/day or prolonged conservative treatment (more than 2-4 weeks) is accepted as a failure of the treatment.[5] In our case, we labeled the treatment as ineffective when persistent chylous leakage was higher than 20ml/ kg/day despite 4 weeks of maximum dose of intravenous octreotide therapy.

The surgical treatment is recommended in resistant cases but it is more invasive than chemical pleurodesis.[5] Povidone-iodine acts by producing local inflammation in the pleural cavity.[1] Its side effects are rare and include transient acute respiratory distress, temporary generalized edema, hypotension, mucosal/skin lesions, acute renal failure, and hypothyroidism.[4][6][7] None of these side effects were observed in our case. Only a few case reports and small case series exist on the use of povidone-iodine pleurodesis for persistent chylothorax (total 19 cases).[3][4][6][7][8][9][10] This method was effective in 13/19 patients. The concentration used was either 4% or %10. The duration of the chest tube clamping varied from 3 hr to 5 hr in studies. We used 6 mL of 10% povidone-iodine and the chest tube was blocked for 5 hours. Very low birth weight infants, or those with lymphangiectasia, extensive deep central veins thrombosis, and abnormal kidney function before treatment may not respond to treatment or may be prone to more serious side effects.[1] None of these factors was present in our case.


Figures

Figure 1 

Chest x-ray demonstrating the presence of pleural effusion at 30 min of age.



Notes

n1Conflicts of interest. None declared

n2Source of Support: Nil

n3Author contributions: Author(s) declared to fulfill authorship criteria as devised by ICMJE and approved the final version. Authorship declaration form, submitted by the author(s), is available with the editorial office.

n4Consent to Publication: Author(s) declared taking informed written consent for the publication of clinical photographs/material (if any used), from the legal guardian of the patient with an understanding that every effort will be made to conceal the identity of the patient, however it cannot be guaranteed.

Acknowledgments

None


References
1. Scottoni F, Fusaro F, Conforti A, Morini F, Bagolan P. Pleurodesis with povidone-iodine for refractory chylothorax in newborns: Personal experience and literature review. J Pediatr Surg. 2015; 50:1722-5.
2. Hmami F, Oulmaatia A, Bouchikhi C, Banani A, Bouharrou A. Congenital chylothorax: rapid and complete response to povidone iodine. Arch Pediatr. 2014; 21:1002-5.
3. Büttiker V, Fanconi S, Burger R. Chylothorax in children: guidelines for diagnosis and management. Chest. 1999; 116:682-7.
4. Brissaud O, Desfrere L, Mohsen R, Fayon M, Demarquez JL. Congenital idiopathic chylothorax in neonates: Chemical pleurodesis with povidone-iodine (Betadine). Arch Dis Child Fetal Neonatal Ed. 2003; 88:531-3.
5. Murki S, Faheemuddin M, Gaddam P. Congenital chylothorax- successful management with chemical pleurodesis. Indian J Pediatr. 2010; 77:332-4.
6. Kasdallah N, Kbaier H, Ben Salem H, Blibech S, Bouziri A, Douagi M. Povidone iodine pleurodesis for refractory congenital chylothorax: A review of literature. Tunis Med. 2016; 94:834.
7. Mitanchez D, Walter‐Nicolet E, Salomon R, Bavoux F, Hubert P. Congenital chylothorax: what is the best strategy? Arch Dis Child Fetal Neonatal Ed. 2006; 91:F153.
8. Le Nué R, Molinaro F, Gomes-Ferreira C, Scheib-Brolly C, Escande B, Kühn P, et al. Surgical management of congenital chylothorax in children. Eur J Pediatr Surg. 2010; 20:307-11.
9. Resch B, Freidl T, Reiterer F. Povidone-iodine pleurodesis for congenital chylothorax of the newborn. Arch Dis Child Fetal Neonatal Ed. 2016; 101:87-8.
10. Maoulainine F, Slitine NE, Erguig L. Congenital chylothorax: Rapid and effective response to povidone iodine. Open J Pediatr. 2016; 6:10-1.