© 2023, Kumar et al.
Received Day: 19 Month: 04 Year: 2023
Accepted Day: 02 Month: 07 Year: 2023
J Neonatal Surg. 2023; 12: 22.
DOI: 10.47338/jns.v12.1231
Neonatal osteomyelitis: A case series
Parveen Kumar Department of Paediatric Surgery, Chacha Nehru Bal Chikitsalaya, New Delhi, India
Ankur Bhardwaj Department of Paediatric Surgery, Chacha Nehru Bal Chikitsalaya, New Delhi, India
Anil Agarwal Department of Orthopedics, Chacha Nehru Bal Chikitsalaya, New Delhi, India
Divyamedha Agarwal Department of Anaesthesia, Chacha Nehru Bal Chikitsalaya, New Delhi, India
[corresp] Dr. Anil Agarwal, Department of Orthopedics, Chacha Nehru Bal Chikitsalaya, New Delhi, India E-mail: anilrachna@gmail.com
Abstract

Background: Osteomyelitis in the neonatal age group is a rare entity. Its presentation and progression are quite different from osteomyelitis in adults, adolescents, and even children. Due to vague clinical features and the late appearance of changes on X-rays, the diagnosis often gets missed. Additionally, there is a risk of permanent damage to bones and joints.

Case Presentation: Our experience of 3 such interesting cases showed the diagnostic dilemma involved in neonatal osteomyelitis. All 3 cases presented as cellulitis or subcutaneous abscess initially as x-ray changes appeared late (7-10 days after onset of disease). All the babies needed surgical debridement. The average duration of antibiotics given was 35.5 days. No residual sequelae were reported for up to 2 years.

Conclusion: Neonatal osteomyelitis needs a high index of suspicion especially in late-onset neonatal sepsis or prolonged septicemia. This case series emphasizes the need for a low threshold for suspicion and early treatment to avoid permanent disability.

Keywords: Osteomyelitis, Septic arthritis, Neonate, Sepsis, Bones.

Introduction

Neonatal osteomyelitis is an uncommon condition with an incidence of 1.5 cases per 1000 neonatal admissions to intensive care units.[1] Incidence is declining over the years mostly due to a decrease in neonatal sepsis.[2] It differs significantly from osteomyelitis in adults, adolescents, and even older children in terms of clinical presentation, progression, and sequelae. [3] Various modes of inoculation include traumatic, trans-placental, local, or hematogenous.[3] Staphylococcus aureus is among the most common isolates. [3] Neonatal osteomyelitis has a predilection for long bones. Due to peculiar anatomy and the blood supply of long bones in neonates, joint involvement is quite common. Radiological signs take time to appear, with Magnetic Resonance Imaging as the diagnostic modality of choice for early diagnosis but anesthesia risk in sick neonates limits the use of MRI in neonates.[4], [5] We describe 3 cases of osteomyelitis in neonates with varied modes of presentation and their management.

Case Series

Case 1:

A 28-day old male neonate presented to emergency with a complaint of swelling left thigh for 7 days which increased over the last 3 days. There was a history of fever for 2 days and reddish discoloration of thigh skin for the last 2 days. The baby had decreased oral intake for 1 day. There was no history of trauma or massage. On examination, the baby was febrile with a heart rate of 138/min and had restricted movement of the left lower limb. Signs of inflammation were present. The baby was fluid resuscitated and routine sampling revealed Hb 12 gm/dL, total leucocytes count (TLC) of 17500/uL with neutrophils of 72 %, C-reactive proteins (CRP) were 332 mg/L and platelets of 1.6 lakhs/uL. Other blood parameters were normal except for high K levels (> 7 mmol/L). Supportive treatment was started for hyperkalemia and i.v. antibiotics [Cloxacillin, Amikacin as per hospital policy] started after sending blood cultures. X-ray left lower limb (LL) was done and revealed soft tissue edema and hypertrophy but no bony changes. The baby was kept on conservative management with i.v. antibiotics, limb elevation, and local hygroscopic measures to relieve tissue edema. Meanwhile, the baby developed swelling of the whole lower limb, though TLC and CRP were decreasing. In view of the deterioration of clinical condition, the baby planned for fasciotomy after 5 days and multiple fasciotomies of left LL were done [1 incision on thigh lateral aspect, incision each on medial and lateral calf, and 1 incision on dorsal foot]. It drained the intramuscular fluid and showed ischemic changes in the medial calf area but no pus was found. It led to clinical response in the calf area in the postoperative period. Blood culture revealed Methicillin-resistant Staphylococcus aureus (MRSA) and antibiotics were changed to vancomycin. The baby had improved in general condition. Thigh swelling had little response and the X-ray was repeated which showed periosteal elevation (Fig. 1). The baby underwent surgical drainage and around 50 ml of thick pus was drained. Pus culture also showed MRSA growth. The baby was discharged on oral linezolid after 1 week of i.v antibiotics. At 2 years and 7 months, the baby is asymptomatic and able to walk with support.

Case 2:

A month-old male baby presented with a complaint of left thigh swelling for 5 days and fever for 2 days. The baby had leukocytosis (TLC = 19200/uL) and a raised CRP (230 mg/L). X-ray Left thigh was within normal limits with only soft tissue changes (Fig. 2). There was a history of a local tap by a local practitioner, which was dry (as per records). Left thigh swelling gradually increased and the baby did not respond to first-line antibiotics for 4 days. Magnetic resonance imaging was planned in view of the suspicion of osteomyelitis and revealed bone marrow edema with osteopenia. There was diffuse edema of left thigh soft tissue with loss of fat planes and thickening suggestive of cellulitis changes. The baby underwent surgical drainage of the pus and received 2 weeks of antibiotics (i.v. and oral) in the postoperative period followed by oral antibiotics for 4 weeks. Pus culture had no growth. Baby is fine at a follow-up period of 2 years.

Case 3:

A 15-day-old male baby was admitted with swelling around the right shoulder joint, right knee, and right index finger for 3 days and associated fever for 2 days. There was no history of decreased movements at the shoulder and knee joints. The baby had term gestation and had respiratory distress at birth, kept in the NICU for 5 days on oxygen support—no h/o umbilical catheterization. On examination, the baby had tender swelling with fluctuation around the right shoulder joint. Blood investigations revealed TLC-27,000/uL (N-70%) and CRP-169 mg/L. X-rays of the right shoulder, right knee, and right index finger were normal. Incision and drainage of shoulder abscess was done. Blood culture and Pus culture both had MRSA growth. Inj. Vancomycin was given for 1 week and the baby was discharged on oral linezolid. But the child again got admitted 5 days after discharge, with swelling above the left knee. X-rays were repeated which revealed left distal femur osteomyelitis and right upper tibia extensive diaphyseal osteomyelitis (Fig. 3). Repeat TLC- 22,000/uL (N-56%) and CRP-70 mg/L. Surgical debridement was done. The baby received 4 weeks of i.v vancomycin and was discharged on an oral antibiotic (Linezolid).

Discussion

Table 1 describes the summary findings in our cases. It is uncommon for osteomyelitis to occur in the first month of life. Although neonates are exposed to a plethora of microorganisms post-birth, literature establishes one of four ways for the pathogenesis of osteomyelitis. It may be due to direct inoculation of micro-organisms following trauma or surgery; extension from nearby soft-tissue infection; trans-placental or hematogenous. Hematogenous dissemination is responsible for most cases, but all routes are well documented in the literature.[3] There is a latent period of about 1 to 3 weeks for hematogenous dissemination of bacteremia or local spread from soft tissue infections.[6] The most common site for osteomyelitis is the metaphysis of long bones due to peculiar vascular anatomy specific to neonates. Transphyseal vessels help bacteria cross physis leading to growth plate injury & joint involvement. This leads to long-term sequelae.[3] The pathogenesis of osteomyelitis involves vessel occlusion causing local tissue ischemia, infarction, and bone marrow hyperplasia.[7] Femur and tibia are affected in about 50 % of cases.[3] All our cases had the femur as primary involvement.

There are numerous predisposing factors for neonatal osteomyelitis including prematurity, umbilical sepsis, skin or systemic infections, umbilical catheterization, groin vessel catheterization, cesarean delivery, pathological jaundice, etc. It is also dependent on innate immunity, the virulence of causative organisms, host susceptibility, type and depth of infection, and vascularity of bone.[3] It has male preponderance [M:F= 1.6:1] and is more common in preterm babies. Preterm are usually present in neonatal age, while term babies present after 25 to 65 days of life.[3] All of our cases were male and had term gestation and the age at presentation was comparable to literature.

The early diagnosis of neonatal osteomyelitis is difficult due to the latent period, paucity of clinical signs, and absence of any signs on routine investigations like X-rays in the early period. In all of our cases, X-rays on presentation were normal and showed changes around 1 week later. Late signs on X-ray include periosteal elevation, lytic lesions, osteopenia, and other destructive bony changes, joint effusions along with soft tissue hypertrophy, and distorted tissue planes.[4] Bone marrow hyperplasia is one of the earliest signs picked up on Magnetic Resonance Imaging (MRI). It causes loss of cortico-medullary differentiation by the widening of the medulla and cortical thinning. MRI also better delineates soft tissue and sub-periosteal collections but needs general anesthesia for examination in neonates.[5] But many times it is not possible to shift a sick neonate for general anesthesia. MRI helped in diagnoses in one of our cases.

It should be considered as a differential for late-onset neonatal sepsis or prolonged septicemia. The yield of blood cultures for septicemia is low, though Staph. Aureus is a common etio-pathological agent found.[3] It accounts for the most common pathogen causing osteomyelitis in all age groups.[8] MRSA was isolated in two of our cases, in both blood and pus.

They need a long duration of antimicrobial treatment including 2 to 3 weeks of i.v. antibiotics followed by oral. The total duration of therapy is debatable but should take into consideration of culture growths, clinical response, and inflammatory markers.[8] If not treated early, it may cause permanent disability by growth plate disturbances, joint disability, pathological fractures, or limb length discrepancies. Surgery is indicated in more than 50 % of cases, though few studies in older children have reported improvement with antibiotics only in up to 90% of cases of acute osteomyelitis.[8], [9], [10], [11] It not only helps in the drainage of pus and reduction of septic load for the patient, but it also provides an opportunity for culture, removal of dead bone, and lavage of local infection. All of our cases showed partial improvement with antibiotics and finally needed surgical intervention finally.

The residual sequelae rate reported is around 10-30%. The most common deformities detected in long-term follow-up are limb length discrepancy, angular deformities, restricted range of motion, and joint dislocations. These sequelae sometimes take 8-10 years to develop and increase as the child grows.[11], [12] Neonatal bone has various characteristics including extensive vascular supply and early resorption of cortical sequestra, favoring the prevention of chronic osteomyelitis. Neonates begin to remodel bone rapidly and thus allowing rapid and better healing as compared to older children.[3] Canyang Zhan et al did a retrospective review of neonatal osteomyelitis and found that MRI had a 100 % detection rate for osteomyelitis. The majority of their cases (64.7%) underwent surgical drainage, and none had severe sequelae.[10] They advocated MRI for early detection and emphasized that early active treatment had a good prognosis. All our cases needed surgical drainage and 2 had good follow-up without any sequelae, though the true picture is expected at around 8 to 10 years of age. There is a need for long-term follow-up.

Conculusion

Neonatal osteomyelitis is easily missed. It needs a high index of suspicion especially in late-onset neonatal sepsis or prolonged septicemia. Babies keep on getting treatment and prolonged antibiotics for septicemia, without focusing on septic foci. X-rays at presentation may not show changes so skeletal surveys need to be repeated as per the clinical course of the neonates. This manuscript emphasizes the need for a low threshold for suspicion and early treatment to avoid permanent disability.


Figures

Figure 1 

X-ray showing periosteal elevation of femur suggestive of subperiosteal collection.



Figure 2 

Early X-ray showing normal bone anatomy and soft tissue hypertrophy.



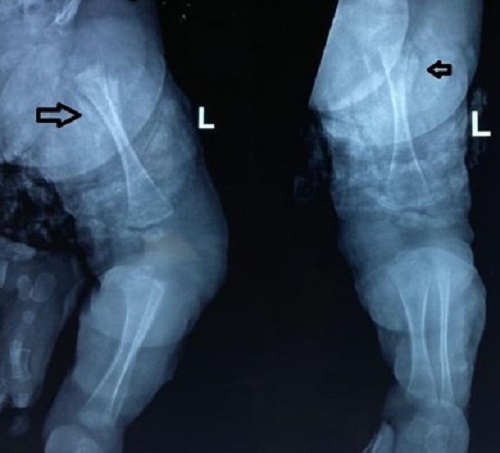
Figure 3 

(a) Extensive diaphyseal osteomyelitis in the upper end of the right tibia and (b) Rarefaction distal end of the left femur.



Tables
[TableWrap ID: t1] Table 1 

The tabular presentation of various findings in our case series


Sr. # Case 1 Case 2 Case 3
1. Perinatal Term Term Term
2. Antecedent sepsis None None +, RDS
3. Clinical presentation Thigh swelling, fever Thigh swelling, fever Multiple subcutaneous abscesses, fever
4. Leukocyte counts, 17,500 19200, 27000,
CRP 332 230 169
5. Bacteriology Pus C&S - MRSABlood C&S- MRSA Pus C&S- no growthBlood C&S-Skin contaminants Pus C&S- MRSABlood C&S- MRSA
6. Radiology 1st X-ray: Soft tissue edemaRepeat X-ray: Periosteal elevation X-ray: WNL.MRI- bone marrow edema + osteopenia Repeat x-ray- Left femur rarefaction. Rt tibia- extensive diaphyseal osteomyelitis
7. Treatment I/V antibiotics/Surgery 1-week i.v + 4 weeks oral/debridement 2 weeks i.v + 4 weeks oral/ debridement 4 weeks i.v + 2 weeks oral/debridement
8. Follow up/Sequelae 2.5yrs, None 2yrs/ None 1 month


Notes

n1Conflicts of interest. None.

n2Source of Support: Nil

n3Author contributions: Author(s) declared to fulfill authorship criteria as devised by ICMJE and approved the final version. Authorship declaration form, submitted by the author(s), is available with the editorial office.

n4Consent to Publication: Author(s) declared taking informed written consent for the publication of clinical photographs/material (if any used), from the legal guardian of the patient with an understanding that every effort will be made to conceal the identity of the patient, however it cannot be guaranteed.

Acknowledgments

None


References
1. Asmar BI. Osteomyelitis in the neonate. Infect Dis Clin North Am. 1992; 6:117-32.
2. Riise OR, Kirkhus E, Handeland KS, Flato B, Reiseter T, Cvancarova M, et al. Childhood osteomyelitis-incidence and differentiation from other acute onset musculoskeletal features in a population-based study. BMC Pediatr. 2008; 8:1.
3. Fisher RG. Neonatal osteomyelitis. NeoReviews. 2011; 12:e374-80.
4. Blickman JG, van Die CE, de Rooy JW. Current imaging concepts in pediatric osteomyelitis. Eur Radiol. 2004; 14:L55-64.
5. Offiah AC. Acute osteomyelitis, septic arthritis and discitis: differences between neonates and older children. Eur J Radiol. 2006; 60:221-32.
6. Gutierrez K. Bone and joint infections in children. Pediatr Clin North Am. 2005; 52:779-94.
7. Newman LG, Waller J, Palestro CJ, Schwartz M, Klein MJ, Hermann G, et al. Unsuspected osteomyelitis in diabetic foot ulcers. Diagnosis and monitoring by leukocyte scanning with indium in 111 oxyquinoline. JAMA. 1991; 266:1246-51.
8. Peltola H, Pääkkönen M. Acute osteomyelitis in children. N Engl J Med. 2014; 370:352-60.
9. Chou AC, Mahadev A. Acute bacterial osteomyelitis in children. J Orthop Surg (Hong Kong). 2016; 24:250–2.
10. Zhan C, Zhou B, Du J, Chen L. Clinical analysis of 17 cases of neonatal osteomyelitis: A retrospective study. Medicine. 2019; 98:e14129.
11. Gao Y, Liu R, Rai S, Liang Q, Liu Y, Xiao X, et al. Is early surgical intervention necessary for acute neonatal humeral epiphyseal osteomyelitis: A retrospective study of 31 patients. Child. 2022; 9:527.
12. Sukswai P, Kovitvanitcha D, Thumkunanon V, Chotpitayasunondh T, Sangtawesin V, Jeerathanyasakun Y. Acute hematogenous osteomyelitis and septic arthritis in children: clinical characteristics and outcomes study. J Med Assoc Thai. 2011; 94:S209-16.