© 2023, Lin et al.
Received Day: 03 Month: 05 Year: 2023
Accepted Day: 28 Month: 07 Year: 2023
J Neonatal Surg. 2023; 12: 27.
DOI: 10.47338/jns.v12.1221
Extrathoracic esophageal elongation with Foker technique in patients with Type-A esophageal atresia. A case series
Mei-Chun Lin Department of Pediatric Surgery, Dr. Roberto Gilbert Elizalde Children’s Hospital. Guayaquil-Ecuador & Pediatric Surgery Program, Universidad Catolica Santiago de Guayaquil, Guayaquil
Verónica Polit-Guerrero Department of Pediatric Surgery, Dr. Roberto Gilbert Elizalde Children’s Hospital. Guayaquil-Ecuador & Pediatric Surgery Program, Universidad Catolica Santiago de Guayaquil, Guayaquil
Jimmy Andrade-Montesdeoca Department of Pediatric Surgery, Dr. Roberto Gilbert Elizalde Children’s Hospital. Guayaquil-Ecuador & Pediatric Surgery Program, Universidad Catolica Santiago de Guayaquil, Guayaquil
Daniel Acosta-Farina Department of Pediatric Surgery, Dr. Roberto Gilbert Elizalde Children’s Hospital. Guayaquil-Ecuador & Pediatric Surgery Program, Universidad Catolica Santiago de Guayaquil, Guayaquil
Vicente Salinas-Salinas Department of Pediatric Surgery, Dr. Roberto Gilbert Elizalde Children’s Hospital. Guayaquil-Ecuador
Daniel E Acosta PGY-2 Family Medicine. Mount Sinai Chicago, USA
[corresp] Lin Mei-Chun, M.D., Department of Pediatric Surgery, Dr. Roberto Gilbert Elizalde Children’s Hospital, Pediatric Surgery Program, Universidad Catolica Santiago de Guayaquil, Guayaquil-Ecuador E-mail: drameilin@gmail.com
Abstract

Background: Long-gap esophageal atresia (EA) is not amenable to primary anastomosis though the goal of surgical treatment is to restore the patency in the native esophagus; the Foker technique is one of the methods that can accomplish it.

Case Presentation: This case series consists of three patients who presented with a type-A long-gap EA. Extrathoracic esophageal elongation was achieved using the Foker technique. During the first stage, we utilized pledgeted sutures reinforced with titanium clips for elongation that began five days after the surgery. As the elongation progressed, and the gap between esophageal pouches decreased, we restored the continuity of the esophagus. On follow-up, all patients needed pneumatic dilatation of the esophagus.

Conclusion: The Foker technique successfully restored the esophageal continuity using the native esophagus in our patients with esophageal atresia.

Keywords: Esophageal atresia, Long-gap, Foker technique, Elongation.

Introduction

The incidence of esophageal atresia (EA) is 1/2000-4000 newborns. [1] Gross classified EA into 5 anatomic types. Type A, also called pure esophageal atresia, is the second most common variety of esophageal atresia. [2] Type A EA is often long-gaped- when the distance between the esophageal ends is >3 cm or >4 vertebral bodies. [3], [4]

The main surgical goal in cases with long-gap EA is to restore continuity in the native esophagus, which can be challenging to achieve. [2], [4], [5] These cases are usually managed in stages with esophagostomy and gastrostomy as the first stage followed by esophageal replacement, but the native esophagus is discarded. One of the methods to restore esophageal continuity in long-gap EA is the Foker technique which uses the native esophagus. The procedure involves elongating both the proximal and distal esophagus in the first stage through traction sutures. After the gap between the esophageal ends is reduced, the esophageal continuity is restored in the second stage. [4], [5] Further this procedure has lower complication rates and a shorter time to start enteral feeds. [1], [5], [6], [7]Herein we describe our experience of the Foker technique in the management of 3 cases of Type A long-gap EA.

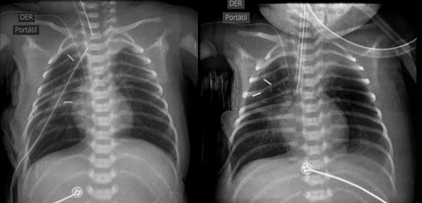
Technique: In the first step of the procedure, we mobilized the proximal and distal esophageal segments and placed pledgets on their ends. We then inserted prolene sutures through the full thickness of the esophagus, and reinforced it with a titanium clip (Fig. 1). The long ends of the sutures were externalized through the chest wall for traction. After 5 days, we began the esophageal elongation process at the bedside by gradually placing several segments of feeding tubes under the sutures (Fig. 2). We monitored the progress of esophageal lengthening with chest x-rays, using the titanium clips as a guide for the esophageal ends (Fig. 3). Once the distance between the esophageal segments was approximately the length of a vertebral body, we restored the esophageal continuity.

Case Series

Case 1:

The male baby was born at 29 weeks gestation and weighed 1190 grams. During attempts to insert an orogastric tube, resistance was encountered and the tube coiled in the proximal esophageal pouch, as confirmed by a chest x-ray which also showed no air in the stomach. A bronchoscopy was performed to locate the fistula, but none was found. Due to the baby's low weight, a double-lumen replogle tube placed in the upper pouch with continuous suction and gastrostomy were carried out 2 days after birth. At 42 days old, the patient underwent an esophagram and gastrography, which revealed a gap of 4 vertebral bodies between the two ends of the esophagus. Consequently, it was decided to proceed with the Foker technique. Elongation started six days after the initial stage, and a total of six elongations were performed. When the chest X-ray showed a gap less than a vertebral body, esophageal anastomosis was carried out, 13 days after the first stage. Enteral feeding was initiated six days later, and the chest tube was removed after confirming no leakage or narrowing on the contrast esophagram. The baby had a pleural effusion on the right side twelve days after the surgery, which was drained. Before discharge, an esophagram was done, revealing a narrow anastomotic site that required endoscopic pneumatic dilation of up to 6mm. On follow-up, 12 months later, the patient had gastroesophageal reflux disease (GERD), which was being managed with proton pump inhibitors (PPIs). The patient doing fine on follow-up.

Case 2:

This male baby was born at 34 weeks of gestational age with a birth weight of 1900g. The baby also had cleft lip and palate and left microtia. The X-ray revealed the coiling of the OG tube in the proximal esophageal with the absence of air in the stomach. Bronchoscopy confirmed the absence of a fistula. Stage 1 was performed on the 3rd day of life. The gap between the pouches was measured as 4 vertebral bodies. Four days later, esophageal elongation was initiated. A total of 9 elongations were performed and once the chest X-ray showed a distance of 1 vertebral body between the pouches, stage 2 was performed (10 days after stage 1), and a chest tube was inserted. The esophagogram, conducted on the 5th postoperative day, revealed no contrast leakage or narrowing. The chest tube was removed, and enteral feeding was initiated. At the 8-month follow-up, the patient presented with GERD which was managed with PPIs. A follow-up esophagogram was performed, indicating narrowing at the anastomotic site. Subsequently, an upper endoscopy with pneumatic dilation (up to 6 mm) was performed. The patient has been doing fine lately.

Case 3:

The male baby was a 12-day-old with a birth weight of 2500 g and prenatally diagnosed with EA at 33 weeks of gestation. The chest X-ray showed coiling of the OG tube in the proximal esophageal pouch with an absence of air in the stomach. Bronchoscopy confirmed the absence of a fistula. Stage 1 was performed, and a gap of 5 vertebral bodies was noted. After 3 days, the chest tube was removed, and esophageal elongation was initiated. A total of 5 elongations were required before esophageal continuity could be restored (10 days after stage 1). The esophagogram, conducted on the 5th postoperative day, revealed no contrast leakage or narrowing. The chest tube was removed, and enteral feeding was initiated. Five months later, endoscopic pneumatic dilation (up to 7 mm) was performed for symptoms of esophageal anastomotic narrowing. Ten days after pneumatic dilation, the patient returned to the ER with pneumonia and persistent postprandial vomiting. Esophageal transit studies indicated stenosis and the presence of hiatal hernia. Hernia repair and Nissen fundoplication were performed. The patient is currently doing fine on follow-up.

Discussion

We presented three patients with Type A long-gap esophageal atresia (EA) who underwent surgical repair with the Foker technique. In cases I-II, the time between the stage 1 and stage 2 procedures was 13 days, and the distance between pouches was 4 vertebral bodies. In case III, the time between procedures was 10 days, and the distance between pouches was 5 vertebral bodies. The overall mean time between procedures was 12 days, similar to what Shieh et al [2] and Bairdan et al [7] reported, with a mean of 14 days (Table 1).

Esophageal elongations were continued until the radiographs showed a distance of 1 vertebral body between the esophageal ends. This ensured the lack of tension upon the anastomosis, reducing the risk of suture dehiscence. The stage 2 procedure could then be performed. Two thoracotomies were required in our three cases, similar to Bairdan et al's report in their primary Foker process (FP) cases, with a mean of two thoracotomies in 27 patients. [7]

To ensure even tension on the esophageal ends during traction and to monitor the lengthening progress, we utilized pledgeted sutures reinforced with a titanium clip at the end of both esophageal pouches. This approach was also employed by Bairdan et al [7]. The use of titanium clips, which are radio-opaque and easily visible on X-rays, allowed for clear visualization of the clips and accurate assessment of the extent of lengthening. An animal model experiment has shown that using pledgeted sutures with double titanium clips is better than using simple sutures to prevent complications during the Foker technique. This is because they help prevent dislodging of the traction suture, which can be a problem during esophageal elongation. [8]

In our patients, enteral feeding was initiated on the 5th day post esophageal anastomosis via the OG tube. At follow-up, all three patients were able to tolerate oral intake. Svetanoff et al [4] emphasized the importance of earlier attempts at oral intake, as oral aversion can develop within the first few months of life. We believe that early restoration of esophageal patency helped us in achieving this outcome.

During follow-up, all patients developed esophageal anastomotic-site narrowing and required an upper endoscopy and pneumatic dilation at 1,8 and 5 months after the surgery, respectively. Other studies also showed that esophageal dilatation is required in more than 50% of the cases after the Foker technique. [1], [4], [5] In our third case, a hiatal hernia was also diagnosed and repaired. GERD was treated with PPIs before considering fundoplication.

Conculusion

With the Foker technique, we were able to restore the esophageal continuity with the native esophagus in our patients with long-gap esophageal atresia. Our report also highlights the importance of long-term monitoring as all patients needed endoscopic esophageal dilatations for narrowing at the anastomotic site.


Figures

Figure 1 

Traction suture for Foker Technique. We used a pledget suture (one line arrow) reinforced with a titanium clip (Two lines arrow).



Figure 2 

External tension was applied for a gradual lengthening by placing segments of feeding tubes under the sutures



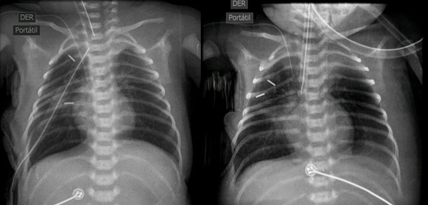
Figure 3 

Radiographs were conducted daily to monitor the narrowing of the gap by the approximation of the titanium clips.



Tables
[TableWrap ID: t1] Table 1 

The tabular presentation of various findings in our case series


Author Cases Type of EA (Gross) Distance between pouches (mean) * Days of elongation(mean) Complications
Oliver et al.(2021) [1] 9 A, B, C 3.2 cm 14 1 partial dehiscence of anastomosis4 stenosis + balloon dilation
Svetanoff et al.(2021) [4] 49 A, B, C 5.75 VB 14 6 partial dehiscences of anastomosis49 stenoses + balloon dilation
Sroka et al.(2013) [5] 6 A, B, C 6.5 cm 21 3 stenoses + balloon dilation(1 complete dehiscence during dilation)
Bairdain et al.(2015) [7] 27 A, B 4.5 cm 14 7 partial dehiscences of anastomosis3 balloon dilation
Bobanga et al. (2016) [9] 5 A 6 VB 13 1 failed3 traction sutures tore away4 stenoses + balloon dilation
Petrone et al. (2022) [10] 16 A, B, C 4 cm - 1 complete dehiscence2 perforations11 stenoses + balloon dilation1 esophageal diverticulum
Our Study 3 A 4 VB 12 3 stenosis + balloon dilation1 Hiatal hernia

Long gap esophageal atresia treated with Foker technique in recent literature.



Notes

Long gap esophageal atresia treated with Foker technique in recent literature.


Conflicts of interest. None.

Source of Support: Nil

Author contributions: Author(s) declared to fulfill authorship criteria as devised by ICMJE and approved the final version. Authorship declaration form, submitted by the author(s), is available with the editorial office.

Consent to Publication: Author(s) declared taking informed written consent for the publication of clinical photographs/material (if any used), from the legal guardian of the patient with an understanding that every effort will be made to conceal the identity of the patient, however it cannot be guaranteed.

Acknowledgments

None


References
1. Oliver DH, Martin S, Belkis DMI, Lucas WM, Steffan L. Favorable outcome of electively delayed elongation procedure in long-gap esophageal atresia. Front Surg. 2021; 8:1-8. Available from: https://doi.org/10.3389/fsurg.2021.701609.
2. Shieh HF, Jennings RW. Long-gap esophageal atresia. Semin Pediatr Surg. 2017; 26:72–7. Available from: https://doi.org/10.1053/j.sempedsurg.2017.02.009.
3. Janek K, Meagher D, Goodwin C. Suture fistula revisited for long gap esophageal atresia. J Pediatr Surg. 2019; 54:600–3. Available from: https://doi.org/10.1016/j.jpedsurg.2018.10.100.
4. Svetanoff WJ, Zendejas B, Hernandez K, Davidson K, Ngo P, Manfredi M, et al. Contemporary outcomes of the Foker process and evolution of treatment algorithms for long-gap esophageal atresia. J Pediatr Surg. 2021; 56:2180–91. Available from: https://doi.org/10.1016/j.jpedsurg.2021.02.054.
5. Sroka M, Wachowiak R, Losin M, Szlagatys-Sidorkiewicz A, Landowski P, Czauderna P, et al. The Foker technique (FT) and Kimura advancement (KA) for the treatment of children with long-gap esophageal atresia (LGEA): Lessons learned at two European centers. Eur J Pediatr Surg. 2013; 23:3-7. Available from: https://doi.org/10.1055/s-0033-1333891.
6. Harrington AW, Riebold J, Hernandez K, Staffa SJ, Svetanoff WJ, Zurakowski D, et al. Nutrition delivery and growth outcomes in infants with long-gap esophageal atresia who undergo the Foker process. J Pediatr Surg. 2021; 56:2133–9. Available from: https://doi.org/10.1016/j.jpedsurg.2021.07.014.
7. Bairdain S, Hamilton TE, Smithers CJ, Manfredi M, Ngo P, Gallagher D, et al. Foker process for the correction of long gap esophageal atresia: Primary treatment versus secondary treatment after prior esophageal surgery. J Pediatr Surg. 2015; 50:933-7. Available from: https://doi.org/10.1016/j.jpedsurg.2015.03.010.
8. Toczewski K, Gerus S, Kaczorowski M, Kozuń M, Wolicka J, Bobrek K, et al. Biomechanics of esophageal elongation with traction sutures on experimental animal model. Sci Rep. 2022; 12:1-8. Available from: https://doi.org/10.1038/s41598-022-07348-4.
9. Barksdale E, Bobanga I. Foker technique for the management of pure esophageal atresia: Long-term outcomes at a single institution. Eur J Pediatr Surg. 2015; 26:215–8. Available from: https://doi.org/10.1055/s-0035-1546757.
10. Petrone E, Santini G, Lista R, Russo S, Gaglione G. Long gap esophageal atresia repair using the Foker technique: a 19 years experience. Minerva Pediatr (Torino). 2022; Available from: https://doi.org/10.23736/s2724-5276.22.06946-4.