© 2023, Veronica et al.
Received Day: 15 Month: 03 Year: 2023
Accepted Day: 01 Month: 04 Year: 2023
J Neonatal Surg. 2023; 12: 14.
DOI: 10.47338/jns.v12.1215
Two-stage surgical management of horseshoe lung associated with congenital pulmonary airway malformation in a neonate: A case report
Polit-Guerrero Veronica Department of Pediatric Surgery, Dr. Roberto Gilbert Elizalde Children’s Hospital. Guayaquil, Ecuador & Pediatric Surgery Program, Catholic University of Santiago de Guayaquil, Guayaquil, Ecuador
Andrade-Montesdeoca Jimmy Department of Pediatric Surgery, Dr. Roberto Gilbert Elizalde Children’s Hospital. Guayaquil, Ecuador & Pediatric Surgery Program, Catholic University of Santiago de Guayaquil, Guayaquil, Ecuador
Fabre-Parrales Ernesto Department of Pediatric Surgery, Dr. Roberto Gilbert Elizalde Children’s Hospital. Guayaquil, Ecuador
Salinas-Salinas Vicente Department of Pediatric Surgery, Dr. Roberto Gilbert Elizalde Children’s Hospital. Guayaquil, Ecuador
Acosta-Farina Daniel Department of Pediatric Surgery, Dr. Roberto Gilbert Elizalde Children’s Hospital. Guayaquil, Ecuador & Pediatric Surgery Program, Catholic University of Santiago de Guayaquil, Guayaquil, Ecuador
[corresp] Polit-Guerrero Veronica, M.D., Department of Pediatric Surgery, Dr. Roberto Gilbert Elizalde Children’s Hospital, Pediatric Surgery Program, Catholic University of Santiago de Guayaquil, Guayaquil-Ecuador. E-mail: veronica.polit.g@gmail.com
Abstract

Background: Horseshoe lung is a rare congenital malformation, and even rarer is its association with congenital pulmonary airway malformations.

Case presentation: We report a case of horseshoe lung associated with congenital pulmonary airway malformation (Stocker type 2) who underwent surgical management in two stages. The patient had a right posterolateral thoracotomy with lower right lobectomy at 14 days of life, followed by a left posterolateral thoracotomy with lower left lobectomy at 7 months of age. He is doing fine after both surgeries and follow-up visits are ongoing.

Conclusion: The treatment of horseshoe lung should be individualized, surgical management is an effective option and the two-stage approach in neonates would reduce the risk of the simultaneous bilateral procedure.

Keywords: Horseshoe lung, Congenital pulmonary airway malformations, Neonate.

Introduction

Horseshoe lung is a rare congenital anomaly characterized by the fusion of the two lower lobes of the lung into a horseshoe-shaped parenchymal structure. It is often associated with other congenital malformations of the airway, urinary, and cardiovascular tracts, with the most commonly described being its association with Scimitar syndrome. [1], [2], [3] Congenital pulmonary airway malformations are a heterogeneous group of anomalies that can affect neonates and young children and are divided into five types according to their anatomical and histopathological findings, as classified by Stocker. Diagnosis is made using imaging techniques, and treatment varies from observation to surgical intervention, depending on the type, severity of respiratory abnormalities, and patient stability. [4] This report describes the surgical management in two stages of a neonatal patient with horseshoe lung associated with a congenital pulmonary airway malformation and emphasizes the need for a multidisciplinary approach and comprehensive evaluation before surgical intervention

Case Report

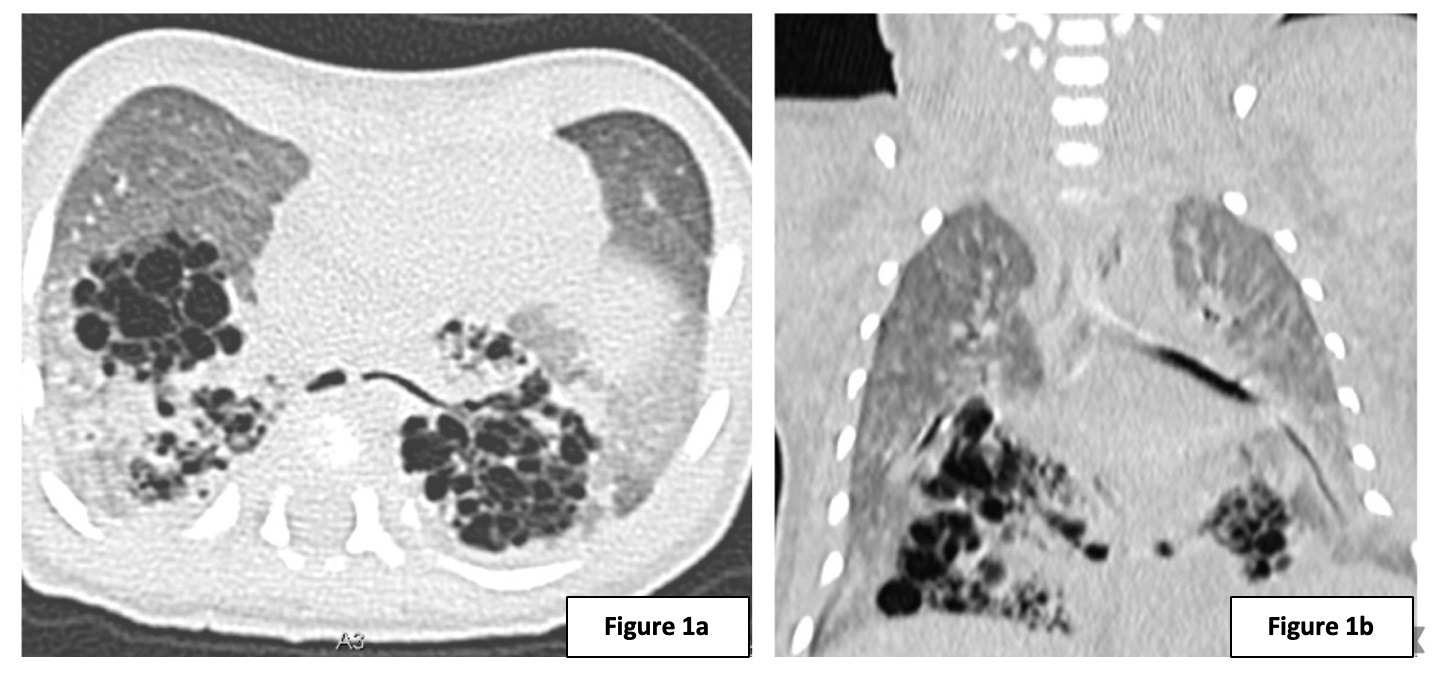
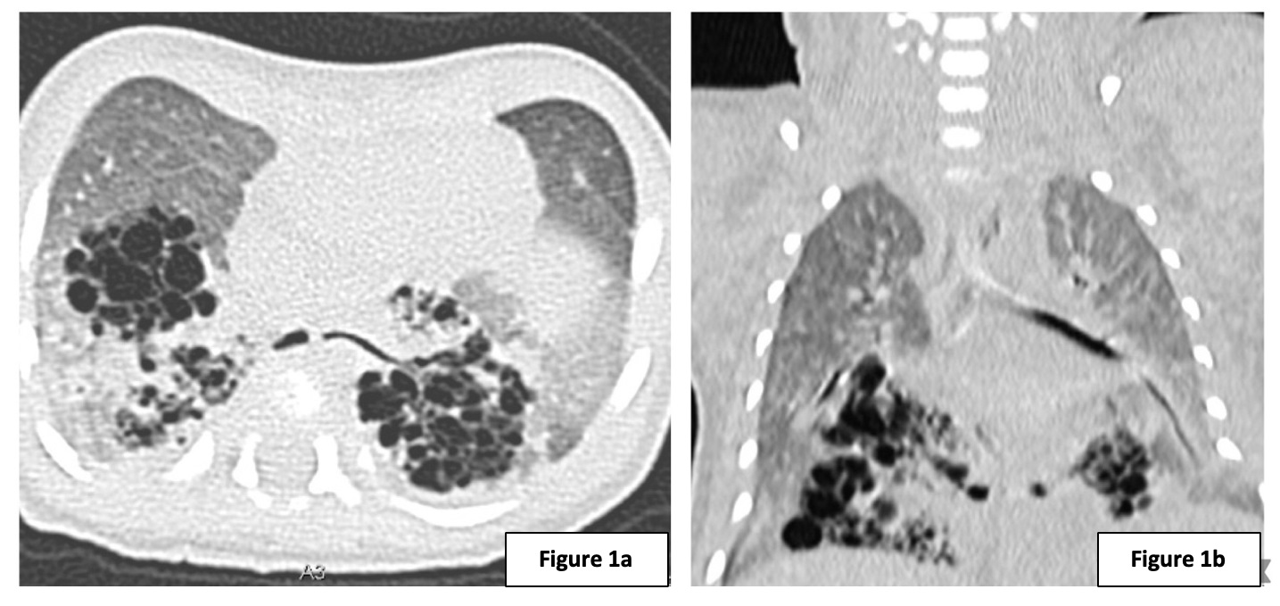
A male neonate born by c-section at 37 weeks (2400g) with a prenatal diagnosis of fetal lung malformation due to bilateral microcystic pulmonary lesions and pelvicalyceal ectasia, presented with a good APGAR score. Imaging studies, including chest x-ray and CT scan with IV contrast (Fig. 1a, 1b) showed bilateral lower lobes multicystic lesions with an isthmus connecting both lower lobes of the lungs. A diagnosis of horseshoe lung with bilateral lower lobe congenital pulmonary airway malformation (CPAM) was made. The patient underwent a right posterolateral thoracotomy with lower right lobectomy, clipping of the inter-pulmonary connection, and chest tube placement on the 14th day of life. Postoperative care was provided in the neonatal intensive care unit (NICU) under mechanical ventilation for 48 hours. The chest tube was removed on the 5th postoperative day; the patient was discharged 9 days later. Histopathology results showed congenital pulmonary airway malformation (Stocker type 2), related to multiple <2 cm cystic lesions with respiratory epithelium.

The patient had poor weight gain and at 7 months of age underwent a left posterolateral thoracotomy with lower left lobectomy and chest tube placement. Postoperatively, he had non-invasive mechanical ventilation in the surgical ICU that was gradually weaned. The chest tube was removed on the 6th postoperative day. Histopathology revealed another type 2 congenital pulmonary airway malformation (Fig. 2a). Postoperative chest X-ray showed adequate lung expansion without evidence of pneumothorax (Fig. 2b). The patient was discharged asymptomatic on the 15th postoperative day and is currently being followed up through regular outpatient visits. The follow-up visits included consultations at 15 days and 2 months post-surgery. A long-term follow-up is planned.

Discussion

Horseshoe lung is a rare congenital malformation characterized by the fusion of the lower lobes of both lungs, surrounding the vertebral column in a horseshoe shape. [1], [5] Congenital pulmonary airway malformations is a group of abnormalities in lung tissue development, classified into five types according to Stocker's classification, with type II (described in our patient) accounting for up to 40% of cases, and worse prognosis due to its association with other congenital malformations. Congenital pulmonary airway malformations (CPAM), type II involves the cessation of bronchial tree development in the glandular stage, with the presence of multiple <2.5 cm sized cysts lined with columnar epithelium. Horseshoe lung has been described in association with Scimitar syndrome (Table 1), making the presence of CPAM associated with horseshoe lung even rarer and challenging.[3], [5], [6], [7]

Horseshoe lung and CPAM, both, can affect respiratory system physiology, ranging from asymptomatic patients to varying degrees of respiratory distress, spontaneous pneumothorax, and recurrent infections, depending on the degree of lung involvement and location of the malformation. [2], [8] Diagnosis is typically made using imaging methods such as prenatal ultrasound, postnatal X-rays, computed tomography (CT), or magnetic resonance imaging (MRI) [2], as well as pulmonary function tests and histopathological reports following surgery. Recommendations have been established, although the scheduling of the imaging test can vary widely. In our patient, the prenatal finding of bilateral pulmonary malformations served as an indication for performing an early tomography once the creatinine levels were normalized and the association of horseshoe lung was discovered as an incidental finding. There is another case report of early neonatal diagnosis of horseshoe lung, reported by Cerron-Vela et al. in 2022, where the malformation was found incidentally in a patient with VACTERL association. [3]

The management of congenital pulmonary airway malformations (CPAM) remains a controversial topic and requires a multidisciplinary evaluation to determine the optimal approach based on the type and size of the lesion, patient age, and associated comorbidities. [4], [9], [10] Horseshoe lung, a rare malformation, has no standardized treatment and management varies between observation and surgical intervention due to potential complications related to the complex vascular and bronchial anatomy. [1], [2], [3], [5]

Our patient presented an unusual association of pulmonary malformations and due to the lack of a standardized treatment, early surgical treatment was performed in the neonatal period to avoid comorbidities associated with a bilateral procedure. Thoracotomy with lobectomy was considered a safe option. [10] Subsequently, the patient was kept under observation and remained asymptomatic. However, poor weight gain prompted contralateral lobectomy. In our report, no postoperative complications were described following the two-stage surgical management, which highlights the importance of multidisciplinary management in these complex and unknown patient types. Our patient represents the first report in the neonatal literature of horseshoe lung and congenital pulmonary airway malformations managed surgically in two stages. The successful surgical outcome highlights the importance of early identification and intervention for these complex conditions in newborns. (Table. 1).

Our clinical case is limited by the lack of comparable cases reported in the literature and the short follow-up period, which hinders the determination of the long-term efficacy of the surgical intervention.

In conclusion, horseshoe lung is a rare congenital malformation that often presents with other congenital anomalies, requiring a multidisciplinary approach to management. The treatment should be tailored to the individual patient, with surgical management being an effective option. The two-stage approach in neonatal patients can reduce the risk of associated comorbidities. Further studies and longer follow-up periods are needed to confirm the benefits of surgical management in cases involving the rare combination of horseshoe lung and congenital pulmonary airway malformations and to detect possible complications.


Figures

Figure 1 

(a & b): CT scan (axial and coronal section) showing an isthmus connecting the right and left lower lobe with multicystic lesions and surrounding ground glass pattern. The findings depict bilateral lower lobe congenital pulmonary airway malformations with horseshoe lung



Figure 2 

a) Lung lobe with dilatation of cysts lined by respiratory epithelium, without mucus cells and cartilage, and atelectasis of adjacent parenchyma. Consistent with CPAM type 2. b) Postoperative chest radiograph.



Tables
[TableWrap ID: t1] Table 1 

Horseshoe lung associated with other congenital malformations.


Sr.# Author Age Sex Association Symptoms Horseshoe lung surgical management Outcome
1 Mfingwana et al. [1] 2 years Female Right lung hypoplasia Recurrent chest infections and persistent wheezing No described Survived
2 Gonen KA et al. [2] 3 months Female Scimitar syndrome Heart murmur No described No described
Gonen KA et al. [2] 4 months Female Scimitar syndrome Respiratory distress No described No described
3 Cerron-Vela et al. [3] 4 days Female VACTERL sequence Grunting No performed Survived
4 Thuong Vu L et al. [5] 2 months Female Scimitar syndrome Dyspnea and slow weight gain No performed Survived
Thuong Vu L et al. [5] 2 months Female Scimitar syndrome and tracheal stenosis Wheezing and respiratory distress No performed Survived
5 Hawass ND et al. [11] 20 weeks Male Imperforate anus, bilateral lobster clawhands, vertebra malformation Unknown No performed Died
6 Our case Newborn / 7 months Male Congenital pulmonary airway malformation type II First stage: asymptomatic / Second stage: poor weight gain Two-stage thoracotomy with lobectomy Survived


Notes

n1Conflicts of interest. None.

n2Source of Support: Nil

n3Author contributions: Author(s) declared to fulfill authorship criteria as devised by ICMJE and approved the final version. Authorship declaration form, submitted by the author(s), is available with the editorial office.

n4Consent to Publication: Author(s) declared taking informed written consent for the publication of clinical photographs/material (if any used), from the legal guardian of the patient with an understanding that every effort will be made to conceal the identity of the patient, however it cannot be guaranteed.

Acknowledgments

None


References
1. Mfingwana L, Goussard P, Andronikou S, Morrison J. Horseshoe lung in a young child at Tygerberg Hospital, South Africa. Afr J Thorac Crit Care Med. 2021; 24:171–3. https://doi.org/10.7196/ajrccm.2021.v27i4.138.
2. Gonen K, Canitez Y, Bostan O, Yazici Z. Horseshoe lung associated with Scimitar syndrome. BMJ Case Rep. 2019; 12. https://doi.org/10.1136/bcr-2014-204389.
3. Cerron-Vela C, Youssef F, Cowan KN, Davila J. Is horseshoe lung a component of VACTERL spectrum? Case report and review of literature. Radiol Case Rep. 2022; 17:1558–62. https://doi.org/10.1016/j.radcr.2022.02.014.
4. Kersten CM, Hermelijn SM, Mullassery D, Muthialu N, Cobanoglu N, Gartner S, et al. The management of asymptomatic congenital pulmonary airway malformation: Results of a European Delphi survey. Children. 2022; 9:1153. https://doi.org/10.3390/children9081153.
5. Duc NM, My TT, Huong TQ, Bang MT. Two rare cases of horseshoe lung with scimitar syndrome in Vietnam. Resp Med Case Rep. 2021; 32:101357. https://doi.org/10.1016/j.rmcr.2021.101357.
6. Salerno M, Sessa F, Cocimano G, Roccuzzo S, Esposito M, Pomara C. Congenital cystic adenomatoid malformation (CCAM) type II: A rare case of sudden infant death. Children. 2022; 9:1830. https://doi.org/10.3390/children9121830.
7. Strumillo B, Jozwiak A, Palka A, Szaflik K, Piaseczna-Piotrowska A. Congenital cystic adenomatoid malformation – diagnostic and therapeutic procedure: 8-year experience of one medical centre. Polish J Cardio-Thoracic Surg. 2018; 15:10–7. https://doi.org/10.5114/kitp.2018.74669.
8. Febriani AD, Shoraya NS, Alasiry E. Congenital cystic adenomatoid malformations type 1: Case report. Open Acc Macedonian J Med Sci. 2022; 10:123–5. https://doi.org/10.3889/oamjms.2022.8539.
9. Downard CD, Calkins CM, Williams RF, Renaud EJ, Jancelewicz T, Grabowski J, et al. Treatment of congenital pulmonary airway malformations: A systematic review from the APSA outcomes and Evidence-Based Practice Committee. Pediatr Surg Int. 2017; 33:939–53. https://doi.org/10.1007/s00383-017-4098-z.
10. Morini F, Zani A, Conforti A, van Heurn E, Eaton S, Puri P, et al. Current management of congenital pulmonary airway malformations: A “European Pediatric Surgeons' Association” survey. Eur J Pediatr Surg. 2017; 28:001–5. https://doi.org/10.1055/s-0037-1604020.
11. Hawass ND, Badawi MG, Fatani JA, Meshari AA, Edrees YB. Horseshoe lung with multiple congenital anomalies. Case report and review of the literature. Acta Radiol. 1987; 28:751-4.