© 2023, Sreekumar et al.
Received Day: 10 Month: 04 Year: 2023
Accepted Day: 02 Month: 07 Year: 2023
J Neonatal Surg. 2023; 12: 24.
DOI: 10.47338/jns.v12.1209
Gastric pneumatosis in a preterm infant: A case report
Paramesh Sreekumar Department of Pediatrics and Neonatology, King Hamad University Hospital, Kingdom of Bahrain
Prince Raj Department of Pediatric Surgery, King Hamad University Hospital, Kingdom of Bahrain
Arjun Chandra Dey Department of Pediatrics and Neonatology, King Hamad University Hospital, Kingdom of Bahrain
Emad Shatla Department of Pediatrics and Neonatology, King Hamad University Hospital, Kingdom of Bahrain
Martin Thomas Corbally Department of Pediatric Surgery, King Hamad University Hospital, Kingdom of Bahrain
[corresp] Dr. Paramesh Sreekumar, Department of Pediatrics and Neonatology, King Hamad University Hospital, Busaiteen, Kingdom of Bahrain E-mail: drparamesh_s@rediffmail.com
Abstract

Background: Gastric pneumatosis is a rare condition characterized by the presence of intramural gas in the stomach wall. It is uncommon in infants and is usually caused by proximal intestinal obstruction or necrotizing enterocolitis, a serious condition typically seen in preterm babies.

Case Presentation: An extremely preterm baby born at 23 weeks of gestation weighing 640 grams, with bronchopulmonary dysplasia and other comorbidities like patent ductus arteriosus, staph aureus sepsis, developed abdominal distension and non-bilious vomiting at 4 months of age. X-ray abdomen revealed gastric pneumatosis. The condition was managed with conservative measures.

Conclusion: Gastric pneumatosis secondary to necrotizing enterocolitis is uncommon in infants and needs prompt evaluation and management to prevent further deterioration.

Keywords: Gastric pneumatosis, Intramural gas, Preterm, Necrotizing enterocolitis.

Introduction

Gastric pneumatosis as characterized by the presence of air in the stomach wall is an extremely rare condition. [1] Isolated gastric pneumatosis could be a rare manifestation of necrotizing enterocolitis in premature babies other predisposing anomalies include proximal intestinal obstruction like pyloric stenosis or duodenal atresia. [1] Once developed, early detection and prompt corrective measures are necessary to save the life. We herein present a case of an infant with gastric pneumatosis who was born extremely premature with multiple comorbidities including culture-proven sepsis. The extreme rarity of the condition and its late development prompted us to report this case.

Case Report

An extremely premature male baby weighing 640 grams, one of the twins, was born at 24+3 weeks of gestation by emergency cesarean section due to antepartum hemorrhage and was admitted for the management of prematurity. Mother was a 41-year-old Gravida 8 with 8 living children including a previous set of twins. This was a monochorionic, monoamniotic twin pregnancy conceived spontaneously. Her antenatal period was unremarkable and she received one dose of antenatal steroid just prior to delivery. APGARs were 6 and 8 at 1 minute and 5 minutes, respectively. Following resuscitation, he was ventilated and given surfactant. Feeds through the orogastric tube and total parenteral nutrition were initiated and empirical antibiotic therapy commenced. Subsequently, attempts to extubate the baby to nasal continuous positive airway pressure (CPAP) failed and he developed chronic lung disease with ventilator dependency.

Echocardiography on day 35 of life revealed an atrial septal defect (ASD) secundum type (5-6 mm) with a left to right shunt and a 2-3mm patent ductus arteriosus (PDA) with a bidirectional shunt.

Dilated intestinal loops were noted on day 40 of life but with no other features of necrotizing enterocolitis (NEC); resolved after withholding feeds and giving antibiotics for 7 days.

On day 87 of life, the baby developed late-onset sepsis with staph aureus growing in the blood culture and consolidation in both lung fields. There was a worsening of the baby's condition leading to septic shock which required ventilation and inotropic support. Antibiotics were given for 2 weeks and the subsequent blood cultures were negative.

The baby was extubated to nasal CPAP on day 93 of life and shifted to oxygen (O2) via nasal cannula on day 100 of life. Oxygen was gradually tapered and stopped by day 115 of life. Feeding resumed shortly and reached full feed with gradual advancement.

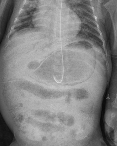
On day 128, he was noted to have abdominal distension, apnea, and non-bilious vomiting. C-reactive protein (CRP) was slightly raised but his abdominal X-ray showed gastric pneumatosis and dilated intestinal loops (Fig. 1). Septic work including blood and urine culture were sent and antibiotics commenced, supplemental nasal O2 was started. At the time of developing gastric pneumatosis the baby was on low birth weight formula feeds via nasogastric tube.

Ultrasound abdomen showed normal liver without any evidence of focal lesions but mild periportal cuffing and thickening of the gallbladder wall were noted. No intrahepatic biliary dilatation was noted. The rest of the ultrasound was normal.

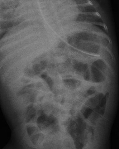
The baby responded to conservative management with antibiotics and withholding of feeds. Serial x-rays of the abdomen showed gradual resolution of the gastric pneumatosis (Fig. 2). Small formula feeds were reintroduced through the orogastric tube after 5 days and gradually graded up to full feed by Day 138 of life. The baby briefly required oxygen via nasal cannula at the time of developing gastric pneumatosis, which was weaned and stopped by day 133 of life and since then saturations were maintained in room air with stable hemodynamic status.

The baby developed retinopathy of prematurity with bilateral zone 2 stage 3 plus disease for which he received intravitreal monoclonal antibody bevacizumab therapy in both eyes on Day 141 of life. Cranial ultrasounds showed no evidence of intraventricular hemorrhage. He was also noted to have cholestasis with direct hyperbilirubinemia and elevated liver enzymes, which responded to oral ursodeoxycholic acid. During his long course in the neonatal intensive care unit, he received multiple blood transfusions for anemia of prematurity.

There was no further vomiting or abdominal distension, feeds were well tolerated and the baby was discharged on Day 158 of life.

Discussion

Gastric pneumatosis is a rare entity in infants. A benign form of gastric pneumatosis, often referred to as gastric emphysema, is a result of increased intraluminal pressure which may lead to a superficial mucosal tear and entry of gas into the stomach wall. This is associated with obstructive conditions affecting the gastric outlet [2] or the proximal intestine. [3]

There is another serious type called emphysematous gastritis which shows inflammation and ischemia of the gastric mucosa and is often seen in fulminant necrotizing enterocolitis. [4] There have been rare cases of sepsis due gas producing organisms like E.coli, Proteus, Clostridium spp, staph aureus, Enterobacter, etc. leading to this condition. [5] Chesley et al [6] reported an isolated case of gastric pneumatosis in a preterm infant following steroid exposure.

A rare case of gastric pneumatosis was reported by Taylor et al [7] following cardiac surgery for complex congenital heart disease. There was also another case in a small-for-gestational-age term neonate with multiple congenital defects attributed to Cornelia de Lange syndrome, who presented with bloody diarrhea. [8]

Injury to the gastric mucosa secondary to nasogastric tube insertion may be attributable to some of these cases. [9] In older children and adults, benign pneumatosis intestinalis have been associated with connective tissue disease, Inflammatory bowel disease, acquired immunodeficiency syndrome, steroid use, and chemotherapy. [10]

A recent case reported an association between empiric antibiotic use and gastric pneumatosis in a preterm infant that could be a result of alteration in intestinal flora predisposing to necrotizing enterocolitis. [11]

In our case, various factors like extreme prematurity, compromise to the mesenteric circulation secondary to PDA, and sepsis may have contributed to a weak gastric mucosal barrier resulting in the dissection of air into the gastric intramural space inadvertently during nasogastric tube insertion or while feeding.

The condition can be easily diagnosed on plain X-rays of the abdomen. Rarely other diagnostic modalities are required. [1], [5] In gastric pneumatosis, the gas pattern noted in the X-ray appears as linear streaks of gas around a distended stomach and along the intestine [12], similar to our case. The condition is treated conservatively with gastric decompression, antibiotics, and withholding of feeds. Surgical management is reserved for gastric perforation or necrosis. Gastric emphysema often resolves with conservative treatment, which has a better prognosis than emphysematous gastritis. In our case, conservative therapy resulted in good outcomes.

Conculusion

Gastric pneumatosis is a rare condition in infants. Although several of the isolated cases are secondary to upper gastrointestinal obstruction and can be managed with appropriate conservative measures, prompt evaluation to exclude an underlying serious condition like necrotizing enterocolitis, withholding of feeds, and antibiotic therapy can help prevent any deterioration in their condition.


Figures

Figure 1 

X-ray abdomen showing gastric pneumatosis.



Figure 2 

Follow-up X-ray of the abdomen showing resolution of gastric pneumatosis.



Notes

n1Conflicts of interest. None.

n2Source of Support: Nil

n3Author contributions: Author(s) declared to fulfill authorship criteria as devised by ICMJE and approved the final version. Authorship declaration form, submitted by the author(s), is available with the editorial office.

n4Consent to Publication: Author(s) declared taking informed written consent for the publication of clinical photographs/material (if any used), from the legal guardian of the patient with an understanding that every effort will be made to conceal the identity of the patient, however it cannot be guaranteed.

Acknowledgments

None


References
1. Ting YJ, Chan KL, Wong SC, Chim S, Wong KY. Gastric pneumatosis in a premature neonate. AJP Rep. 2011; 1:11-14. Available from: https://doi.org/10.1055/s-0030-1271218.
2. Markel TA, Wanner MR, Billmire DF. Gastric pneumatosis secondary to pyloric stenosis. J Pediatr Surg. 2013; 48:655-7. Available from: https://doi.org/10.1016/j.jpedsurg.2012.12.018.
3. Abusalah ZG, George J. Preterm baby with gastric pneumatosis: a new association with a desirable outcome. BMJ Case Rep. 2019; 12:e230188. Available from: https://doi.org/10.1136/bcr-2019-230188.
4. Chew SJ, Victor RS, Gopagondanahalli KR, Chandran S. Pneumatosis intestinalis in a preterm infant: should we treat all intestinal pneumatosis as necrotising enterocolitis? BMJ Case Rep. 2018; 2018:bcr2018224356. Available from: https://doi.org/10.1136/bcr-2018-224356.
5. Bajaj M, Ogilvy-Stuart AL. Gastric pneumatosis/interstitial emphysema of the stomach. Arch Dis Child Fetal Neonatal Ed. 2004; 89:F188. Available from: https://doi.org/10.1136/adc.2003.034272
6. Chesley P, Stark R, McAdams R, Effmann E, Drugas G. Isolated gastric pneumatosis in a premature infant following steroid exposure. J Pediatr Surg Case Rep. 2014; 2:436–8
7. Taylor DR, Tung JY, Baffa JM, Shaffer SE, Blecker U. Gastric pneumatosis following cardiac surgery. Eur J Pediatr. 2000; 159:553-4. Available from: https://doi.org/10.1007/s004310051338
8. Penninga L, Werz MJ, Reurings JC, Nellensteijn DR. Gastric pneumatosis in a small-for-gestational-age neonate. BMJ Case Rep. 2015; 2015:bcr2014208390. Available from: https://doi.org/10.1136/bcr-2014-208390
9. Mandell GA, Finkelstein M. Gastric pneumatosis secondary to an intramural feeding catheter. Pediatr Radiol. 1988; 18:418-20. Available from: https://doi.org/10.1007/BF02388053.
10. Fenton LZ, Buonomo C. Benign pneumatosis in children. Pediatr Radiol. 2000; 30:786-93. Available from: https://doi.org/10.1007/s002470000303.
11. Bayoumi MAA, Elmalik EE. Gastric pneumatosis in a preterm infant following initial empiric antibiotic therapy. BMJ Case Rep. 2021; 14:e246446. Available from: https://doi.org/10.1136/bcr-2021-246446.
12. Travadi JN, Patole SK, Simmer K. Gastric pneumatosis in neonates: revisited. J Paediatr Child Health. 2003; 39:560-2. Available from: https://doi.org/10.1046/j.1440-1754.2003.00220.x.