© 2023, Rizzo et al.
Received Day: 10 Month: 01 Year: 2023
Accepted Day: 03 Month: 05 Year: 2023
J Neonatal Surg. 2023; 12: 18.
DOI: 10.47338/jns.v12.1181
Iatrogenic esophageal perforation in infants: How to avoid thoracotomy? A case series
Riccardo Rizzo Department of Pediatric Surgery, Fondazione Policlinico Universitario “A. Gemelli” IRCCS, Rome
Sara Silvaroli Department of Pediatric Surgery, Fondazione Policlinico Universitario “A. Gemelli” IRCCS, Rome
Filomena Valentina Paradiso Department of Pediatric Surgery, Fondazione Policlinico Universitario “A. Gemelli” IRCCS, Rome
Lorenzo Nanni Department of Pediatric Surgery, Fondazione Policlinico Universitario “A. Gemelli” IRCCS, Rome
[corresp] Riccardo Rizzo, M.D., Department of Pediatric Surgery, Fondazione Policlinico Universitario “A. Gemelli” IRCCS, Largo Agostino Gemelli, 8, 00161 Rome, Italy E-mail: riccardo.rizzo89@gmail.com
Abstract

Background: Esophageal perforation is uncommon and often iatrogenic in the neonatal period, with premature and low birth weight infants (<1500 g) being particularly susceptible. It usually occurs at the pharyngoesophageal junction and can be confused with esophageal atresia due to respiratory signs and excessive salivation. Diagnostic evaluation and treatment are still debated.

Case presentation: Two neonatal cases of iatrogenic esophageal perforation are described. The suspected diagnosis was confirmed only with thoracotomy. Diagnostic difficulties and therapeutic modalities are discussed.

Conclusion: These two cases show the importance of the clinical clues (anamnesis and clinical findings) to suspect the diagnosis of esophageal perforation.

Keywords: Esophageal perforation, Prematurity, Neonate.

Introduction

Esophageal perforation is uncommon and often iatrogenic in the neonatal period.[1] It has been described extensively in various case reports and series.[2], [3], [4], [5] Premature and low birth weight infants (<1500 g) are particularly susceptible, and in this population, the most common causes are nasogastric tube insertion, endotracheal intubation, or nasotracheal suctioning.[6] Spontaneous Esophageal injury in neonates usually occurs at the pharyngoesophageal junction and can be confused with esophageal atresia due to respiratory signs and excessive salivation.[7], [8], [9], [10], [11] Diagnostic evaluation and treatment are still debated. We describe two neonatal cases of iatrogenic esophageal perforation, diagnosed after thoracotomy. The diagnostic difficulties and therapeutic modalities are discussed

Case Series

Case 1:

A preterm newborn female was referred to our neonatal intensive care unit for prematurity and need of invasive ventilation. The baby was born at 33 weeks gestation by emergency cesarean section for premature rupture of membrane (PROM) in a 38 years-old gravida 2, a nulliparous mother. No evidence of polyhydramnios in the prenatal ultrasound scan was observed. Birth weight was 1990g and the one-minute Apgar score was 8. Physical examination was normal. In the second minute of life, due to acute respiratory distress with retractions and expiratory groans, the baby initially needed high-flow oxygenation (4L/min) and a continuous positive airway pressure (CPAP) with a positive end-expiratory pressure of 5 cmH2O and FiO2 30% and then required orotracheal intubation after 2 unsuccessful attempts of passing an orotracheal tube.

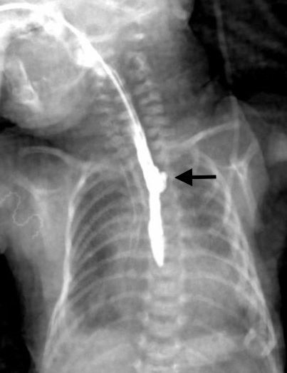
Additionally, the negative outcome of the nasogastric tube’s positioning was noted, pointing to potential esophageal atresia. No hypersalivation was noted. A babygram showed the presence of gastric and intestinal air, while the tube ended in the mid-thorax. (Fig. 1) Hyperlucency around the tube was suggestive of the upper esophageal pouch and no pneumothorax or pleural collection was noted. The patient was hemodynamically stable without any inotropic support. Oxygen saturation was 98% using low-flow oxygenation and FIO2 of 0.30.

Since a type C esophageal atresia was suspected a tracheoscopy was performed to locate the distal fistula and to rule out the presence of an upper pouch fistula. The procedure failed to demonstrate any tracheoesophageal fistulas.

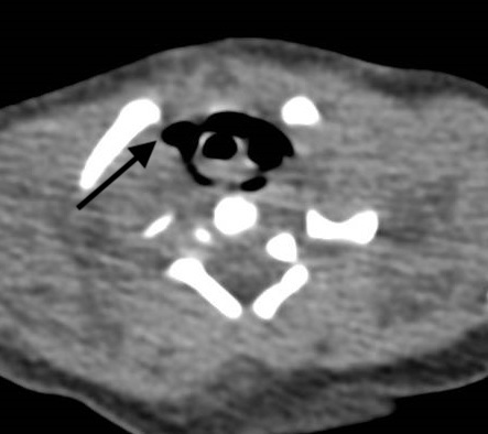
Due to this unexpected finding, an esophagram was performed through the naso-esophageal tube; an irregular fusiform structure was demonstrated and no passage of contrast medium into the stomach was observed; additionally, an extraluminal mediastinal leak was evident. (Fig. 2) Considering the high risk for an esophageal endoscopy, a Computerized tomography scan was performed showing pneumomediastinum. (Fig. 3)

After a multidisciplinary discussion, a right postero-lateral muscle-sparing thoracotomy was performed; the mediastinum was accessed via the extra-pleural route. The tube was found at the right aspect of the thoracic esophagus. No atresia was found. Since the esophageal perforation was not accessible from the thoracotomy, the baby required right trans-cervical access which confirmed a large perforation (1.5 cm diameter) of the posterior wall of the cervical esophagus, with frayed edges. An interrupted repair was performed with an absorbable suture over a 6-Fr nasogastric tube. A cervical drain was positioned (Penrose type) and a 10-Fr chest tube was left in place and the thoracotomy wound was closed.

Case 2:

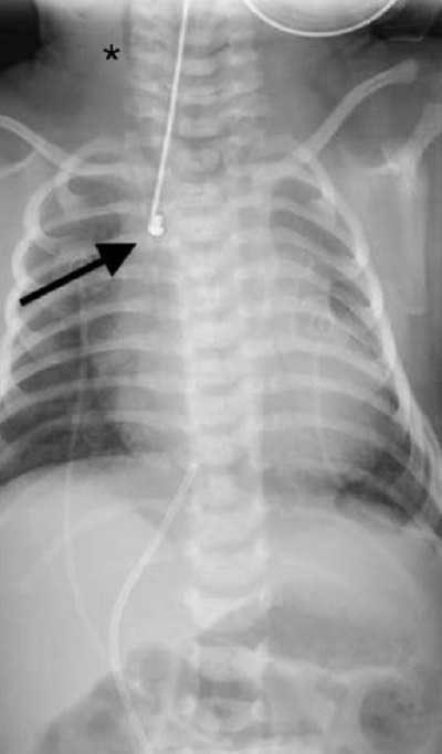
A full-term newborn was referred, after a planned cesarean section for podalic presentation in a 37 years-old gravida 9, para 7 mother. Birth weight was 2490g and the one-minute Apgar score was 7. Also in this case physical examination was normal and no hypersalivation was noted. Due to acute respiratory distress syndrome, the baby was supported with positive pressure ventilation. Repeated attempts to introduce an orogastric tube were unsuccessful and esophageal atresia was suspected. A Replogle aspiration tube was placed in the upper esophagus and a babygram showed the presence of air around the tube. (Fig. 4) A tracheoscopy was performed, and the procedure failed to demonstrate any tracheoesophageal fistula. Therefore, an intraoperative esophagram was performed, showing a fusiform cul-de-sac consistent with the upper esophageal pouch (Fig. 5).

As in the previous case, a right postero-lateral muscle-sparing thoracotomy was performed, but even this time no evidence of atresia was found. The baby required right trans-cervical esophageal repair and cervical drainage, and a 10-Fr chest tube was left in place.

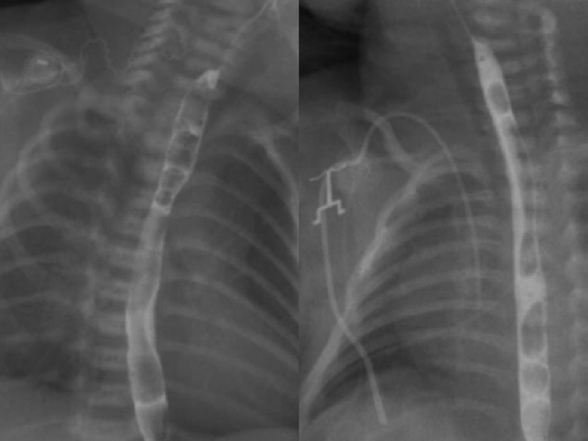
A contrast study was performed on postoperative day 10 showing for both patients complete healing of the esophagus without stricture or leak (Fig. 6a-b), and discharged on full oral feeds. At 6 months of age, a repeat contrast study showed no stricture or gastroesophageal reflux.

At a two-year follow-up, they are growing well, and no evidence of any issue or late complication.

Discussion

Esophageal perforation has an incidence of 0.4-0.5% in the neonatal intensive care unit, increasing to ten-fold in babies <750g.[12] Some large population studies do not confirm these figures.[4], [13] Premature and low birth weight infants, less than 1500 g, are also particularly susceptible to iatrogenic esophageal perforation. These infants are inevitably exposed to multiple procedures and interventions such as nasogastric tube insertion, endotracheal intubation, or nasotracheal suctioning, which predispose them to esophageal perforation.[14] The literature describes spontaneous esophageal perforation in this population.[15]

Early recognition and management are necessary, and untreated esophageal perforation can lead to mediastinitis, sepsis, and death.[16], [17] Historically, neonatal esophageal perforation was treated similarly to adults, often involving operative drainage, repair, and /or esophageal or gastric diversion. Currently, the preferred treatment has shifted toward a non-operative approach, unless esophageal atresia is suspected.[18], [19]

Preoperative differential diagnosis is necessary to plan the correct therapeutic approach. Neonates with esophageal perforation will demonstrate excessive mucous secretion, drooling of saliva, and respiratory distress.[7], [14] Though the same symptoms may be present in esophageal atresia, early recognition of an iatrogenic perforation can avoid unnecessary explorations.[2], [3], [4], [5], [6], [7], [8], [9], [10], [11], [12], [13], [14], [15]

Esophagram is not indicated and not even routinely performed before the correction of esophageal atresia. Other evidence as prematurity and low birth weight, forceful and unsuccessful endotracheal intubation, vigorous oropharyngeal suction, and bloody aspirate from the “pouch” is required to be analyzed to raise the surgeon’s suspicion of esophageal perforation.

Plain radiographs can show subcutaneous emphysema, pneumomediastinum, pneumothorax, pleural effusion, and/or lobe atelectasis; a feeding tube located too high or having variable or eccentric positions are unusual findings and very suggestive.[6], [7], [8], [9], [10], [11], [12], [13], [14], [15]

The diagnosis can be recognized by esophageal contrast studies under fluoroscopic control, which can demonstrate a classical “double esophagus”.[13], [14] If contrast-study findings are negative, some radiologic clues mentioned above have to be looked for.[15], [16], [17]

Chest computed tomography is useful when perforations are difficult to locate or when contrast esophagography cannot be performed.[20] In our cases, pre-operative diagnosis of isolated esophageal perforation was not achievable. The diagnosis could have been suggested by the anomalous position of the distal extremity of the Replogle/nasogastric tube (too high – too low), a very tiny upper esophageal pouch at the esophagram, and the presence of pneumo-mediastinum. While atresia requires surgical treatment, neonatal esophageal perforation can be treated medically with broader antibiotics, gastrostomy feedings, or intravenous nutrition, and in the eventuality that pneumothorax or pleural effusion is evident, with tube thoracostomy. In 2022, Kaczmarek et al. also described the management of esophageal perforation in infants with endoscopic vacuum therapy.[21] Flexible upper GI endoscopy can directly facilitate the discovery of the perforation and is accurate for making a diagnosis and for conservative treatment [21], while a tracheobronchial fibroscopy likely will yield negative results.

Table 1 shows various case reports/series describing infants with iatrogenic esophageal perforation in the pediatric literature.[1], [2], [6], [7], [8], [9], [10], [11], [22] Almost all were symptomatic and in the majority of cases, the diagnosis was made based on clinical manifestations and esophagram with water-soluble contrast. The gestational age at birth ranged between 26 and 40 weeks and the birth weight was between 900 and 3100 g. More than half received a thoracotomy. Postoperative complications include esophageal strictures and sepsis, with a large number of deaths. Mortality percentage in neonates with esophageal perforation remains high (21-30%), and is mainly due to comorbidities, like congenital heart diseases, brain hemorrhage, necrotizing enterocolitis, and sepsis.[23], [24]

In 2021, Elgendy et al. published a large retrospective cohort study utilizing the US National Inpatient Sample dataset for the years 2000 to 2017.[4] A total of 861 esophageal perforations were diagnosed in very low birth weights infants, the majority <1000 g and <28 weeks of gestation. In this population mortality was 25.8%, but there was no association between esophageal perforation and increased mortality in preterm infants (p = 0.991). These two cases report our experience with iatrogenic esophageal perforation in two infants who present respiratory distress but no suggestive pre-natal signs or post-natal symptoms of esophageal atresia. Differential diagnosis also includes esophageal web or congenital esophageal stenosis. The diagnosis was not achieved by contrast exam or CT scan, and the babies needed surgical intervention. After a control contrast study, full oral feeding was started and short-term and long-term follow-up didn’t show any complication.

Conculusion

To conclude, esophageal perforation in the neonate is often iatrogenic and may mimic esophageal atresia. Early diagnosis is necessary to reduce the risk of death. These two cases show the importance of the clinical clues (anamnesis and clinical findings) to suspect the diagnosis; an aware interpretation of the radiological finding is desirable to avoid unnecessary invasive maneuvers.


Figures

Figure 1 

Case 1: The babygram shows the tip of the naso-esophageal tube at the level of the 7th thoracic vertebra. Hyperlucency around the tube mimics the upper esophageal pouch (arrow). The presence of air in the stomach/bowel loops is noted.



Figure 2 

Case 1: Pre-operative esophagram shows opacification of the upper pouch with a minimal mediastinal leak (arrow).



Figure 3 

Case 1: CT scan in axial view at the upper thoracic inlet showing pneumomediastinum (arrow) from possible perforation of the upper pouch.



Figure 4 

Case 2: Babygram showing gas in the bowel loops and a lateral position of the Replogle tube (arrow). Cervical subcutaneous emphysema is visible (*). Hyperlucency of the upper pouch is not clearly distinguishable.



Figure 5 

Case 2: A poor quality intra-operative esophagram showing a tiny upper pouch (arrow) without any leaks



Figure 6 

Post-operative esophagram of both cases showing the absence of leaks or strictures.



Tables
[TableWrap ID: t1] Table 1 

Tabular presentation of case reports/series with iatrogenic esophageal perforation in the pediatric literature.[1], [2], [6], [7], [8], [9], [10], [11], [22]


Author(Year) Cases Average Gestational Age (weeks) Average Birth Weight (g) Symptoms Diagnostic Work Up Treatment Post-operative Complications
Ducharme et al. (1971) 3 40 2800 Hypersalivation (3), cyanosis (2) and respiratory difficulty (2), vomiting (1) Babygram, Esophagram Thoracotomy (2)Gastrostomy and Cervicotomy (1) 1 death (mediastinitis)
Heller et al. (1977) 2 40 3100 Hypersalivation Babygram, Esophagram, Endoscopy (1) Thoracotomy (1), Gastrostomy (2) None
Blair et al. (1987) 14 31 1500 Hypersalivation (4), cyanosis (4), regurgitations (2) Babygram (4), Esophagram (6), Endoscopy (1) Thoracotomy (2), Non-Operative (12) 4 deaths (3 RDS, 1 small bowel perforation and sepsis)
Sapin et al. (2000) 10 30 1600 Respiratory distress (8), hypotonia (4) Babygram, Esophagram (4), Endoscopy (4) Non-operative (5), Gastrostomy (1), Thoracotomy (4) Esophageal strictures (1), necrotizing enterocolitis (1) pulmonary sepsis (3), 2 deaths (sepsis and necrotizing enterocolitis)
Seefelder et al. (2001) 1 30 990 Intermittent respiratory distress Laryngoscopy, Babygram, Esophagram, Pharingoscopy, Esophagoscopy Cervical drainage Sepsis, intermittent airway obstruction
Meeralebbae et al. (2002) 1 28 1700 Respiratory distress Babygram, Esophagram Non-Operative None
Emil et al (2004) 1 26 900 Respiratory distress Babygram, Esophagram Thoracotomy, Gastrostomy None
Aoun et al (2012) 1 35 1600 None Babygram Thoracotomy, Cervicotomy, Gastrostomy Death (sepsis)
Adel et al (2023) 15 30 1156 Respiratory distress (14), pneumothorax (7), sepsis (6) Babygram, Esophagram Non-Operative 4 Deaths (3 sepsis, 1 respiratory distress syndrome complication)


Notes

n1Conflicts of interest. None.

n2Source of Support: Nil

n3Author contributions: Author(s) declared to fulfill authorship criteria as devised by ICMJE and approved the final version. Authorship declaration form, submitted by the author(s), is available with the editorial office.

n4Consent to Publication: Author(s) declared taking informed written consent for the publication of clinical photographs/material (if any used), from the legal guardian of the patient with an understanding that every effort will be made to conceal the identity of the patient, however it cannot be guaranteed.

Acknowledgments

None


References
1. Aoun B, Gasmi M, Jemai R, Sghairoun N, Sahli S, Hamzaoui M. Iatrogenic esophageal perforation in the neonate. Tunis Med. 2012; 90:72-4.
2. Sapin E, Gumpert L, Bonnard A, Carricaburu E, Sava E, Contencin P, et al. Iatrogenic pharyngoesophageal perforation in premature infants. European J Pediatr Surg. 2000; 10:83-7.
3. Bonnard A, Carricaburu E, Sapin E. Traumatic pharyngoesophageal perforation in newborn infants. Arch Pediatr. 1997; 4:737-43.
4. Elgendy MM, Othman H, Aly H. Esophageal perforation in very low birth weight infants. European J Pediatr. 2021; 180:513-8.
5. Rentea RM, Peter SD. Neonatal and pediatric esophageal perforation. Semin Pediatr Surg. 2017; 26:87-94.
6. Emil SG. Neonatal esophageal perforation. J Pediatr Surg. 2004; 39:1296-8.
7. Blair GK, Filler RM, Theodorescu D. Neonatal pharyngoesophageal perforation mimicking esophageal atresia: clues to diagnosis. J Pediatr Surg. 1987; 22:770-4.
8. Seefelder C, Elango S, Rosbe KW, Jennings RW. Oesophageal perforation presenting as oesophageal atresia in a premature neonate following difficult intubation. Paediatr Anaesth. 2001; 11:112-8.
9. Ducharme JC, Bertrand R, Debbie J. Perforation of the pharynx in the newborn: A condition mimicking esophageal atresia. Can Med Assoc J. 1971; 104:785.
10. Heller RM, Kirchner SG, O'Neill JA. Perforation of the pharynx in the newborn: a near look-alike for esophageal atresia. Am J Roentgenol. 1977; 129:335-7.
11. Meeralebbae SM, Zain SM, Basir AO, Ahmed AM, Abdullah AM. Misdiagnosing esophageal perforation as esophageal atresia. Saudi Med J. 2002; 23:1287-90.
12. Filippi L, Pezzati M, Poggi C. Use of polyvinyl feeding tubes and iatrogenic pharyngo‐oesophageal perforation in very‐low‐birthweight infants. Acta Paediatrica. 2005; 94:1825-8.
13. Garey CL, Laituri CA, Kaye AJ, Ostlie DJ, Snyder CL, Holcomb III GW, et al. Esophageal perforation in children: a review of one institution's experience. J Surg Res. 2010; 164:13-7.
14. Soong WJ. Endoscopic diagnosis and management of iatrogenic cervical esophageal perforation in extremely premature infants. J Chin Med Assoc. 2007; 70:171-5.
15. Parihar PS, Singhal P, Singh A, Singh A, Sehra R, Farooq A, et al. Spontaneous esophageal perforation in an infant: A rare case. Indian J Otolaryngol Head Neck Surg. 2021; 73:514-8.
16. Su BH, Lin HY, Chiu HY, Lin HC. Esophageal perforation: a complication of nasogastric tube placement in premature infants. J Pediatr. 2009; 154:460.
17. Panieri E, Millar AJ, Rode H, Brown RA, Cywes S. Iatrogenic esophageal perforation in children: patterns of injury, presentation, management, and outcome. J Pediatr Surg. 1996; 31:890-5.
18. Martinez L, Rivas S, Hernandez F, Avila LF, Lassaletta L, Murcia J, et al. Aggressive conservative treatment of esophageal perforations in children. J Pediatr Surg. 2003; 38:685-9.
19. Hesketh AJ, Behr CA, Soffer SZ, Hong AR, Glick RD. Neonatal esophageal perforation: nonoperative management. J Surg Res. 2015; 198:1-6.
20. Backer CL, LoCicero III J, Hartz RS, Donaldson JS, Shields T. Computed tomography in patients with esophageal perforation. Chest. 1990; 98:1078-80.
21. Kaczmarek DJ, Heling DJ, Strassburg CP, Katzer D, Düker G, Strohm J, et al. Management of esophageal perforations in infants by endoscopic vacuum therapy: a single center case series. BMC Gastroenterol. 2022; 22:282.
22. Adel MG, Sabagh VG, Sadeghi Moghadam P, Albazal M. The outcome of esophageal perforation in neonates and its risk factors: a 10-year study. Pediatr Surg Int. 2023; 39:127.
23. Suryawanshi P, Dahat A, Nagpal R, Malshe N, Kalrao V. A rare case of accidental esophageal perforation in an extremely low birth weight neonate. J Clin Diagn Res. 2014; 8:1.
24. Yong SB, Ma JS, Chen FS, Chung MY, Yang KD. Nasogastric tube placement and esophageal perforation in extremely low birth weight infants. Pediatr Neonatol. 2016; 57:427-30.