© 2023, Ho et al.
Received Day: 31 Month: 10 Year: 2022
Accepted Day: 06 Month: 12 Year: 2022
J Neonatal Surg. 2023; 12: 4.
DOI: 10.47338/jns.v12.1141
Fetal Lung Interstitial Tumor (FLIT): A case series
Kah Ann Ho The Toby Bowring Department of Paediatric Surgery, Sydney Children’s Hospital, Randwick NSW, Australia; School of Clinical Medicine, Faculty of Medicine and Health, UNSW, Sydney NSW, Australia
Noemi A Fuentes-Bolanos Children’s Cancer Institute, Lowy Cancer Centre, UNSW, Sydney NSW, Australia; Kids Cancer Centre, Sydney Children’s Hospital, High Street, Randwick, Sydney NSW, Australia; School of Women and Children’s Health, Faculty of Medicine, UNSW, Randwick NSW, Australia
Andrew J Gifford School of Clinical Medicine, Faculty of Medicine and Health, UNSW, Sydney NSW, Australia; Anatomical Pathology, NSW Health Pathology, Prince of Wales Hospital, Randwick NSW, Australia
Ashish Jiwane The Toby Bowring Department of Paediatric Surgery, Sydney Children’s Hospital, Randwick NSW, Australia; School of Women and Children’s Health, Faculty of Medicine, UNSW, Randwick NSW, Australia
Dylan Wanaguru The Toby Bowring Department of Paediatric Surgery, Sydney Children’s Hospital, Randwick NSW, Australia; School of Women and Children’s Health, Faculty of Medicine, UNSW, Randwick NSW, Australia
[corresp] Kah Ann Ho, MBBS, University of New South Wales, Sydney, Australia. E-mail: kahannho@gmail.com
Abstract

Background: Fetal Lung Interstitial Tumor (FLIT) is a rare benign lung tumor. There have been 18 cases of FLIT described in the literature. FLIT is characterized by a region of arrested lung development and must be differentiated from other congenital lung lesions with poorer prognoses.

Case Presentation: We report the first two known cases of FLIT in Australia and New Zealand. In both cases, the patients developed respiratory distress at birth requiring intubation. Imaging revealed solid lesions and echocardiography demonstrated pulmonary hypertension. The patients underwent surgical resection without any complications or recurrence.

Conclusion: FLIT is a rare benign congenital lung tumor that can be adequately managed with surgical resection.

Keywords: Fetal lung interstitial tumor, Pediatric lung tumor, Fetal lung mass, Neonatal tumor, Case report.

Introduction

Fetal Lung Interstitial Tumor (FLIT) is a rare benign tumor of lung interstitial mesenchymal cells that was first described by Dishop et al. in 2010.[1], [2] The pathophysiology of FLIT is characterized by a region of arrested lung development. The tumor histologically resembles the fetal lung at the canalicular stage which is approximately 20 weeks to 24 weeks of gestation. [3] We report the first two known cases of FLIT in Australia and New Zealand.

Case Series

Case 1:

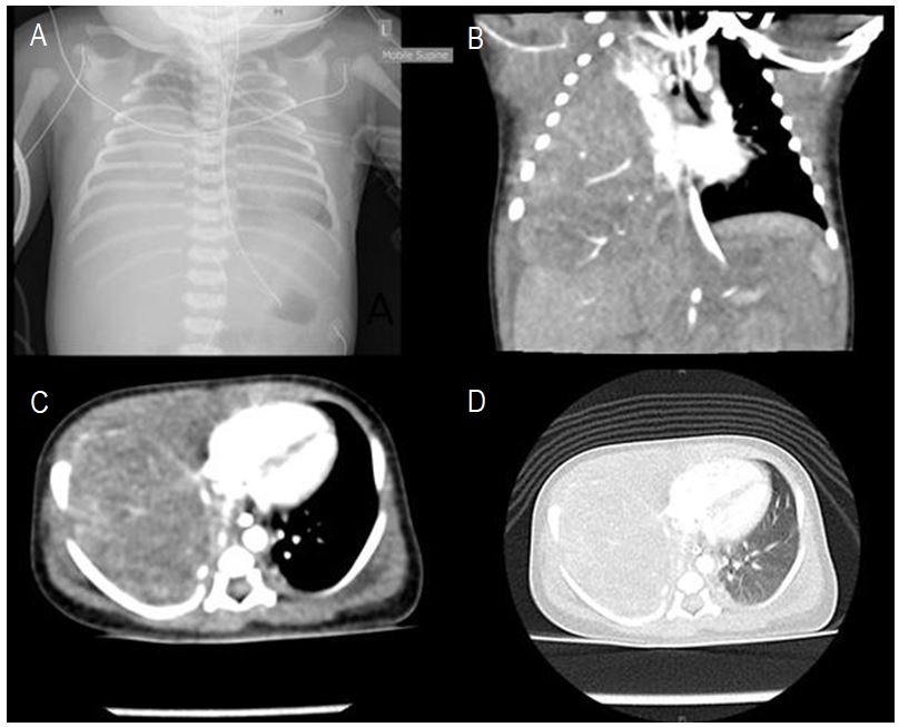
A female infant was born at 39+6 weeks gestation via vaginal delivery. Apgars at birth were 7 and 9. Antenatal scans showed possible polyhydramnios. After birth, she developed respiratory distress. Chest x-ray (Fig. 1) showed a homogenous opacity in the right hemithorax with only a small amount of aerated lung at the apex with the associated mediastinal shift. She was intubated and then transferred to our specialist pediatric hospital for ongoing management. An ultrasound showed extensive opacity in the right hemithorax due to a large mass with some small cystic spaces. A CT chest with contrast (Fig. 1) demonstrated a solid appearing lesion occupying most of the right hemithorax without any air-filled components. Alpha Fetoprotein and Beta HCG were normal for a neonate. Preoperative echocardiography showed a structurally normal heart, however, pulmonary hypertension was noted. The differential diagnosis at the time included Cystic Pulmonary Adenomatoid Malformation (CPAM) or Pleuropulmonary Blastoma (PPB).

On day 3 of life, she underwent an uncomplicated right thoracotomy and lower lobectomy. There was minimal blood loss intraoperatively. Inhaled nitric oxide was commenced for pulmonary hypertension. She was extubated on postoperative day 4. The chest drain placed intra-operatively was kept until postoperative day 9 when a mild air leak settled.

She spent a further 1 month in the neonatal unit after which she was discharged home. Pulmonary hypertension had resolved on repeat ECHO performed at 2 months of age. Based on the histopathological similarities with PPB, and the high prevalence of an underlying DICER1 tumor predisposition syndrome in patients with PPB, she was subsequently referred to our Cancer Genetics Service for assessment. No pathogenic or likely pathogenic (P/LP) germline variants were identified in DICER1. Histopathology confirmed the diagnosis of FLIT with no evidence of malignancy. The tumor was encapsulated and consisted of enlarged air spaces with widened septa. The child remains well at ten years of age.

Case 2:

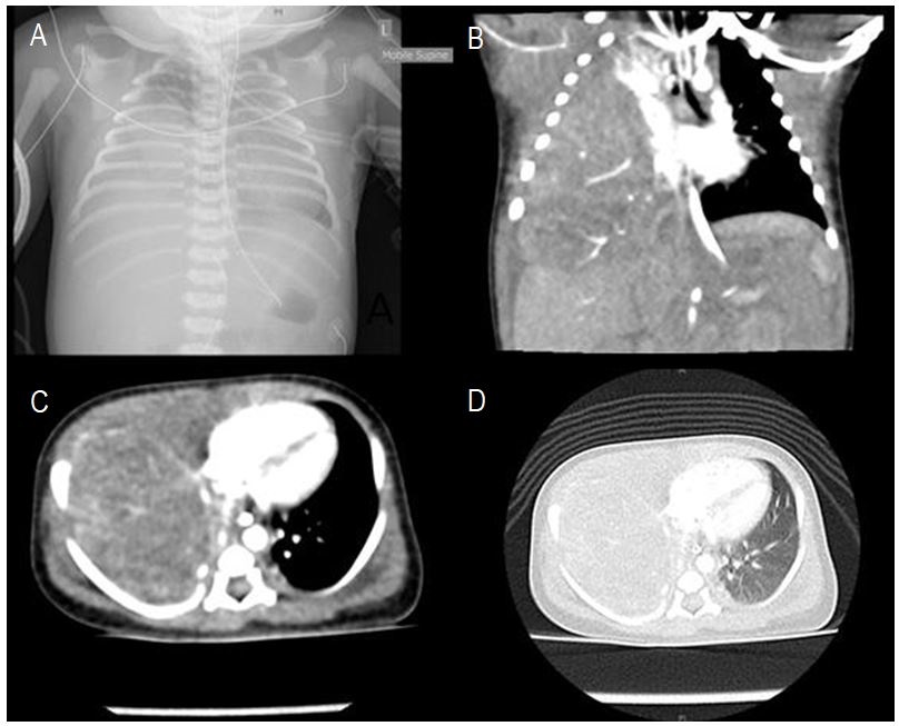
A female twin was born at 35+5 weeks gestation via elective cesarean section. Apgars at birth were 7 and 9. She had normal antenatal scans. After birth, she developed respiratory distress and was transferred to our institution. She was initially managed with CPAP but required intubation on day 2 of life. Chest x-ray (Fig. 2) showed a homogenous opacification of the right middle and upper zones. CT chest with contrast (Fig. 2) showed a large low-density lesion in the right upper hemithorax which was not typical of CPAM and suggestive of a congenital lung tumor.

Preoperative echocardiography demonstrated a structurally normal heart with significant pulmonary hypertension, a small patent foramen ovale, and a small patent ductus arteriosus with a bidirectional shunt. Tumor markers were not done for this patient.

On day 3 of life, due to the ongoing requirement for cardiorespiratory support, she underwent a right thoracotomy and right upper lobectomy. There was minimal intraoperative blood loss. On postoperative day 1, inhaled nitric oxide was started for the management of pulmonary hypertension. She was extubated on day 3 postoperatively and the right chest drain was removed on postoperative day 4. She had minor wound dehiscence with serous discharge which was managed with simple dressings.

Histopathology confirmed a diagnosis of FLIT. At 2 weeks of age, echocardiography showed the resolution of pulmonary hypertension. She was discharged home at approximately 3 weeks of age. Again postoperative referral to Cancer Genetics Services was made and multiple café au lait spots and neck freckles were found. Based on the clinical information, genetic testing was performed and a pathogenic NF1 germline variant was identified. However, no P/LP variants were identified on DICER1. This child remains well at three years of age.

Histopathology: The morphologic features of both cases are similar and in line with descriptions in the literature. The tumors are well-circumscribed and partially encapsulated, composed of irregular air-space-like structures with variably widened septa lined by bland cuboidal cells. The interstitium of the widened septa is expanded by an infiltrate of small cells with a polygonal to spindled appearance. Some interstitial cells show well-defined borders and clear cytoplasm containing glycogen. Strands of smooth muscle outline some of the air spaces within the tumor. Focally, in Case 2, a small myxoid spindle cell component is seen, reminiscent of chondroid differentiation. No atypia or mitoses are identified. Minimal hemorrhage and minimal necrosis are noted. On immunohistochemical staining (Case 2), the tumor cells in the interstitium are positive for vimentin, and patchy staining for SMA and desmin is present. The cuboidal cells lining the septa are positive for MNF116 (pancytokeratin), EMA, D2-40, and TTF-1. ALK1 and myogenin were negative. The Ki67 proliferative index was up to ~15% of cells staining in some areas. (Fig. 3) shows the pathological features of Case 2.

Discussion

To date, in the English language literature, there have been 18 cases of FLIT described. Of these, there have been 14 cases described in the United States [1], [3], [4], [5], [6], 3 cases in Japan [7], [8], [9], and 1 case in India. [10] The first 10 cases were described by Dishop et al. in the United States. [1] Lazar et al expand on one of the cases previously described in the case series by Dishop. [5] Pediatric thoracic surgeons from all of the major pediatric surgical centers in Australia and New Zealand were contacted with no other cases of FLIT identified.

Differentials for a congenital lung lesion can include pulmonary malformations or rare lung tumors. Congenital lung malformations include but are not limited to congenital pulmonary airway malformation (CPAM), bronchopulmonary sequestrations (BPS), congenital lobar emphysema (CLE), and bronchogenic cysts.[11] There are four known congenital lung tumors which include FLIT, cystic pleuropulmonary blastoma (PPB), congenital peribronchial myofibroblastic tumor (CPMT), and infantile fibrosarcoma. [3] The correct diagnosis is paramount as the management and prognosis can differ between the different types of tumors. In some cystic lung lesions, an acceptable approach would be nonoperative with observation alone. [1] Conversely, Pleuropulmonary Blastoma (PPB) is rare, highly aggressive, and carries a poor prognosis. Generally, surgical resection is done with adjuvant chemotherapy and occasionally radiotherapy. [12] There have been no reported recurrences of FLIT post-resection. [1], [3], [10]

Up to 70% of patients with PPB harbor an underlying germline P/LP variant in DICER1. [13] Historically, FLIT was not thought to be a separate entity from PPB and therefore the probability of detecting an underlying deleterious germline variant in DICER in patients with FLIT is unclear. Case 2 harbored a pathogenic NF1 germline variant. Although the association between FLIT and neurofibromatosis type 1 (NF1) has not been reported previously, the association between NF1 and major congenital anomalies is well recognized. [14] The genetic results in these 2 cases suggest that the role of DICER1 in the development of this type of congenital lung tumor is questionable and that a broader gene panel could be considered in the context of a diagnosis of FLIT.

This case report describes two known cases of FLIT in Australia. Both cases were diagnosed postnatally and underwent surgical resection. Both patients did not have any respiratory complications or recurrence.


Figures

Figure 1 

(A) Chest X-ray of Case 1 on Day 1 of life showing a homogenous opacity in the right hemithorax associated with mediastinal shift to the left. (B) Coronal view of CT chest with a contrast of Case 1 on Day 2 of life showing solid appearing lesions in right hemithorax without air-filled components. (C) Axial view with abdominal window (D) Axial view with lung window.



Figure 2 

(A) Chest X-ray of Case 2 on Day 1 of life showing a homogenous opacification of the right middle and upper zones. (B) Coronal view of CT chest with a contrast of Case 2 on Day 2 of life showing a large low-density lesion in the right upper hemithorax which was not typical of CPAM and suggestive of a congenital lung tumor (C) Axial view.



Figure 3 

Pathological features of Case 2. A. Right lower lobe resection containing a well-circumscribed tumor. B. On sectioning, the tumor exhibited a solid and cystic cut surface. C and D. Low power (C) and high power (D) view of the tumor (hematoxylin and eosin stained sections) showing airspaces (a) lined by bland cuboidal cells and surrounded by thickened septa (s) containing an infiltrate of cells with clear cytoplasm.



Notes

n1Conflicts of interest. None.

n2Source of Support: Nil

n3Author contributions: Author(s) declared to fulfill authorship criteria as devised by ICMJE and approved the final version. Authorship declaration form, submitted by the author(s), is available with the editorial office.

n4Consent to Publication: Author(s) declared taking informed written consent for the publication of clinical photographs/material (if any used), from the legal guardian of the patient with an understanding that every effort will be made to conceal the identity of the patient, however it cannot be guaranteed.

Acknowledgments

None


References
1. Dishop MK, McKay EM, Kreiger PA, Priest JR, Williams GM, Langston C, et al. Fetal lung interstitial tumor (FLIT): A proposed newly recognized lung tumor of infancy to be differentiated from cystic pleuropulmonary blastoma and other developmental pulmonary lesions. Am J Surg Pathol. 2010; 34:1762-72.
2. Hill D, Dishop M. Fetal Lung Interstitial Tumor: In: WHO Classification of Tumours Editorial Board. Paediatric Tumours [Internet; beta version ahead of print]; 2022 [WHO classification of tumours series, 5th ed.; vol. 7:[Available from: https://tumourclassification.iarc.who.int/chapters/44.
3. Waelti SL, Garel L, Soglio DD, Rypens F, Messerli M, Dubois J. Neonatal congenital lung tumors - the importance of mid-second-trimester ultrasound as a diagnostic clue. Pediatr Radiol. 2017; 47:1766-75.
4. de Chadarevian JP, Liu J, Pezanowski D, Stefanovici C, Guzman M, Katz DA, et al. Diagnosis of "Fetal lung interstitial tumor" requires a FISH negative for trisomies 8 and 2. Am J Surg Pathol. 2011; 35:1085.
5. Lazar DA, Cass DL, Dishop MK, Adam K, Olutoye OA, Ayres NA, et al. Fetal lung interstitial tumor: a cause of late gestation fetal hydrops. J Pediatr Surg. 2011; 46:1263-6.
6. Phillips J, Blask A, DiPoto Brahmbhatt A, Lawrence A, Timofeev J, Badillo A, et al. Fetal lung interstitial tumor: Prenatal presentation of a rare fetal malignancy. J Neonatal Perinatal Med. 2019; 12:473-7.
7. Yoshida M, Tanaka M, Gomi K, Iwanaka T, Dehner LP, Tanaka Y. Fetal lung interstitial tumor: the first Japanese case report and a comparison with fetal lung tissue and congenital cystic adenomatoid malformation/congenital pulmonary airway malformation type 3. Pathol Int. 2013; 63:506-9.
8. Onoda T, Kanno M, Sato H, Takahashi N, Izumino H, Ohta H, et al. Identification of novel ALK rearrangement A2M-ALK in a neonate with fetal lung interstitial tumor. Genes Chromosomes Cancer. 2014; 53:865-74.
9. Kuroda Y, Fukuzawa H, Kawahara I, Morita K. Hemi-Clamshell Approach for Fetal lung interstitial tumor resection in a neonate: A case report. European J Pediatr Surg Rep. 2021; 9:e72-e5.
10. Shah SN, Geetha N, Satheesan R, Parameswaran A. Fetal lung interstitial tumor: An uncommon pediatric pulmonary neoplasm. Lung India. 2021; 38:186-90.
11. Ashworth MT, Hutchinson JC, Haini M. Congenital lung disease: multiple entities you may not have encountered. Diagnostic Histopathol. 2021.
12. Bisogno G, Brennan B, Orbach D, Stachowicz-Stencel T, Cecchetto G, Indolfi P, et al. Treatment and prognostic factors in pleuropulmonary blastoma: an EXPeRT report. Eur J Cancer. 2014; 50:178-84.
13. Cai S, Zhao W, Nie X, Abbas A, Fu L, Bihi S, et al. Multimorbidity and genetic characteristics of DICER1 Syndrome based on systematic review. J Pediatr Hematol Oncol. 2017; 39:355-61
14. Leppavirta J, Kallionpaa RA, Uusitalo E, Vahlberg T, Poyhonen M, Peltonen J, et al. Congenital anomalies in neurofibromatosis 1: a retrospective register-based total population study. Orphanet J Rare Dis. 2018; 13:5.