© 2022, Manchanda et al.
Received Day: 17 Month: 07 Year: 2022
Accepted Day: 18 Month: 10 Year: 2022
J Neonatal Surg. 2022; 11: 31.
DOI: 10.47338/jns.v11.1108
A complicated tale of an acquired tracheoesophageal fistula: A case report
Vivek Manchanda Department of Pediatric Surgery, Chacha Nehru Bal Chikitsalya, New Delhi-110031, India
Mamta Sengar Department of Pediatric Surgery, Chacha Nehru Bal Chikitsalya, New Delhi-110031, India
Parveen Kumar Department of Pediatric Surgery, Chacha Nehru Bal Chikitsalya, New Delhi-110031, India
[corresp] Dr. Parveen Kumar, Department of Pediatric Surgery, Chacha Nehru Bal Chikitsalya, New Delhi-110031, India. E-mail: parveenkumar_maan@yahoo.co.in
Abstract

Background: Esophageal atresia (EA) with distal trachea-esophageal fistula (TEF), the most common variety of EA, is managed by primary end-to-end anastomosis. Recurrent TEF constitutes the most difficult-to-manage complication of the primary repair and has an incidence of 2% to15%.

Case Presentation: We present a case of rare recurrent TEF after primary repair of EA. The difficulties faced in view of the COVID pandemic and difficult diagnosis are discussed. We share our experience in the successful management of acquired TEF and lessons learned.

Conclusion: Recurrent trachea-esophageal fistula is one of the rare and challenging complications to manage. The surgical option carries the best overall prognosis.

Keywords: Esophageal atresia, Recurrent TEF, Lung abscess, Esophago-pulmonary fistula.

INTRODUCTION

Esophageal atresia (EA) with tracheoesophageal fistula (TEF) is a common congenital anomaly with an incidence of 1:2500 to 1:4500.[1], [2] The most common variety is type C with the division of TEF and primary end-to-end anastomosis as the standard treatment.[2] The survival in most of the dedicated pediatric surgical centers is more than 90% with improvement in results attributed to improvement in perinatal care and surgical techniques.[3], [4] Among the surgical complications, the most difficult to manage is recurrent TEF with an incidence of 2% to 15%.[2], [5] Smithers et al classified recurrent TEF in three categories – congenital TEF (missed at first surgery or repair was inadequate/incomplete); recurrent TEF (at the same site as original fistula – both on esophagus and trachea) and acquired TEF (at a site other than the original fistula site – either esophagus or a respiratory system like trachea, bronchus, or pulmonary parenchyma).[6] Here we describe a case of esophago-pulmonary fistula (acquired TEF) and the nuisance of managing such a rare complication.

Case Report

A 2-day-old term appropriate for gestational age (weight 2.745kg) male neonate presented to the emergency of our hospital with complaints of respiratory distress and seizures. The baby was intubated, and supportive treatment started. After stabilization, the baby was operated through right posterolateral thoracotomy. The division of distal TEF and primary end-to-end esophago-esophageal anastomosis was done under moderate tension (gap length of about 2.5 vertebral bodies). The blood culture at admission grew highly resistant Acinetobacter baumannii for which he received appropriate antibiotics. He was started on trans-anastomotic feeds on a postoperative day (POD) 2, which gradually built up over the next week. He had pneumothorax noted on POD 7, which was managed by the readjustment of the intercostal drainage tube. He required ventilatory support for 16 days followed by oxygen support for 2 weeks before he could be weaned off. The baby was discharged at the age of 5 weeks.

The child continued to have a cough after feeding and failure to thrive. The baby was admitted again 3 weeks later with right upper zone pneumonia and respiratory failure. He required ventilatory support for 1 week, following which an esophagoscopy was done. It revealed stricture with a recurrent trachea-esophageal fistula at 13 cm from incisors. The patient was re-explored through right posterolateral thoracotomy. An acquired TEF was identified between the esophagus (at the level of the previous anastomosis) and right lung parenchyma. The connection was disconnected, and excision of the stricture with redo-anastomosis of the esophagus and closure of the leak from the lung parenchyma was done. The baby was managed on ventilatory support for 5 days. He continued to have an air leak and developed a leak from esophageal anastomosis. He was managed conservatively but failed to gain weight with nasogastric feeds. Thus, a feeding jejunostomy was done. As the baby contracted the COVID-19 infection, he was discharged on jejunostomy feeds as per hospital policy 7 weeks after thoracotomy.

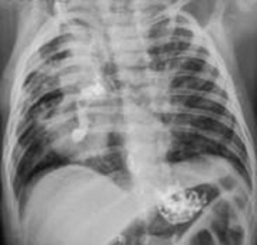
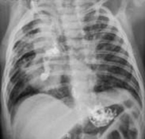
After the mandated period of the home, quarantine was over, the patient was readmitted 2 weeks later with some weight gain. A contrast study was performed with oral contrast, which demonstrated leakage from anastomosis communicating with an abscess cavity probably in the right lower lobe (Fig. 1). After stabilization, he was explored again through right posterolateral thoracotomy. On exploration, the esophagus at the anastomotic site was found to be communicating with lung parenchyma again. The leakage site from the lung parenchyma was laid open to reveal multiple bronchi opening in the lung abscess that was communicating with the esophagus (Fig. 2). Individual bronchial openings were closed, and the abscess cavity was left open. The esophageal anastomosis was performed again. The child had an uneventful recovery, with jejunostomy feeding starting the next day and oral feeding after 10 days.

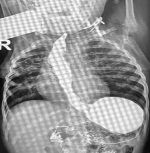
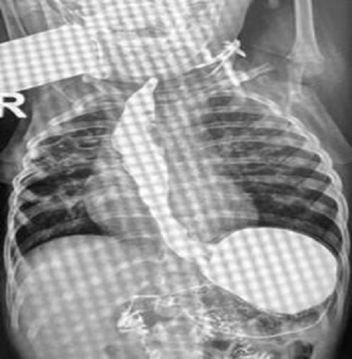
The child is on regular follow-ups for 2 years. The contrast study shows a patent but dysmorphic esophagus (Fig. 3). However, he is accepting oral feeds well. His growth parameters are in the 30-50 percentile for age.

Discussion

Recurrent TEF accounts for 2 to 15 % of cases.[2], [5] The classification proposed by Smithers et al is apt for distinguishing various types of postoperative recurrent TEF.[6] The congenital TEF presents in the immediate postoperative period, while acquired TEF forms along a new pathway, and a new location on either airway or digestive side, or both.[6] Patients with recurrent TEF present with non-resolving cough, choking and apnea during feeds, recurrent pneumonia and if neglected may result in chronic lung disease.[1], [5], [6], [7] The age at presentation has been reported as 3 weeks to 32 years.[5], [6]

Recurrent TEF after primary repair of EA with distal TEF has been found as a sequela of mediastinal abscess because of leaked anastomosis or esophageal perforation after forceful dilatation of anastomotic stricture.[5], [8] Some studies have also shown an association between premature birth, low birth weight, anastomotic stricture, and esophageal dilatation with recurrent TEF.[1] Long-gap atresia, usage of ligation (as opposed to transfixing suture), and long mean hospital stay have also been reported to be associated with recurrent TEF.[1], [3] In agreement, members of the European Reference Network for Rare Inherited Congenital Anomalies (ERNICA) put forward a consensus statement to use a transfixing suture to close the TEF.[9] The association of anastomotic stricture and involvement of esophageal anastomosis in acquired TEF highlights the issues with esophageal anastomosis in patients with esophago-pulmonary fistula.[6] In the index case also, there was esophageal anastomotic stricture, which may either be the result of a leak that healed spontaneously or sequelae of recurrent TEF. The baby also had long gap atresia and long hospital stay as risk factors for recurrent TEF. After the second surgery, he continued to have air leaks from the lung abscess that might have caused mediastinal inflammation predisposing to leakage of esophageal anastomosis and recurrent TEF. After the third surgery, the drainage of the lung abscess managed the air leak well and anastomosis got a good atmosphere to heal.

High suspicion for this atypical acquired TEF is required as diagnosis and localization of such communication may be difficult.[6] The diagnosis of recurrent TEF may be tricky and require a prone esophagogram via NG tube, rigid and flexible bronchoscopy, esophagoscopy along with methylene blue dye, and in certain cases CT scan.[5], [6] In our patient, the oral contrast study and esophagoscopy helped in the diagnosis of recurrent TEF. We could not get a bronchoscopy done due to the non-availability of an adequately sized scope. It is expected that in this case, it would not have helped us in localization as the recurrent TEF spared the trachea and major bronchi.

Unstable patients or those with early fistula may be placed on nasogastric tube feeding while waiting for surgery.[8] Some authors have suggested waiting for at least 5-6 weeks for the resolution of mediastinal inflammation.[8] We also waited for about 2 months after the second surgery on jejunostomy feed so as to manage COVID-19 and allow the baby to get into a positive nutritional balance signifying anabolic status.

Minimally invasive techniques include injection of sealant alone or de-epithelialization of fistula with or without sealant with a success of 48-100% reported in some studies after 1-5 treatments, with a high recurrence rate of up to 63%.[2], [5], [6] Thoracoscopic repair of recurrent TEF has been reported with good results.[10] The patients need to be followed up for prolonged mealtime, feed refusal, coughing during feeding, vomiting, and growth retardation.[11]

Systemic issues including tracheomalacia (impairs airway secretion clearance), tracheal diverticulum (promotes pooling of secretions and infection), esophageal strictures (increase pressure differential between the esophagus and trachea), and gastroesophageal reflux (increases acidity and bile content of fluid transferred from esophagus to airway promote airway irritation) often complicate the management of such patients.[6] Operative repair is the gold standard for managing recurrent TEF with a reported re-recurrence rate of 11-21%.[5] Meticulous dissection, starting from less scarred distal esophagus and proceeding using sharp dissection to identify the fistula is vital.[6] Intraoperative endoscopy may aid in the identification and management of such patients.[6] The use of interposition tissues like pleura or intercostal muscle flap or prosthetic material like Surgisis® mesh, although common, has not improved outcomes.[3], [5], [6], [8] However, posterior tracheoplasty with or without rotation of the esophagus to separate suture lines has been reported to reduce the re-recurrence of TEF to 0%.[6] The issue of lung abscess has not been reported in literature till now. We would like to emphasize the laying open of the abscess cavity and closure of individual bronchioles to tackle esophago-pulmonary fistula.

Mortality associated with managing recurrent TEF is reported to improve over the last two decades to 3.7% for open surgery and 1.7% for endoscopic techniques.[5]

In conclusion, recurrent TEF can involve the site of the primary fistula or a new site either on the esophagus or respiratory tract. High suspicion helps in appropriate investigations like contrast esophagogram, esophagoscopy, and bronchoscopy. CECT chest may be helpful in better delineation of atypical (acquired) TEF. The surgical option carries the best overall prognosis. Laying open of lung abscess cavity with the closure of the leak from the bronchiole is mandatory to tackle such lesions and avoid recurrence.


Figures

Figure 1 

Contrast study with oral Iohexol. The leak of contrast from the esophagus into a cavity in relation to the right lower lobe is evident.



Figure 2 

Intraoperative photograph after separating the esophagus from the lung parenchyma, and laying open the abscess cavity. Note multiple bronchi are communicating with the abscess cavity (arrows).



Figure 3 

Follow-up contrast study after 2 years.



Notes

n1Conflicts of interest. None.

n2Source of Support: Nil

n3Author contributions: Author(s) declared to fulfill authorship criteria as devised by ICMJE and approved the final version. Authorship declaration form, submitted by the author(s), is available with the editorial office.

n4Consent to Publication: Author(s) declared taking informed written consent for the publication of clinical photographs/material (if any used), from the legal guardian of the patient with an understanding that every effort will be made to conceal the identity of the patient, however it cannot be guaranteed.

Acknowledgments

None


References
1. Yang S, Li S, Yang Z, Liao J, Hua K, Zhang Y, et al. Risk factors for recurrent tracheoesophageal fistula after Gross type C esophageal atresia repair. Front Pediatr. 2021; 9:645511. Available from: https://doi.org/10.3389/fped.2021.645511
2. Gutierrez RS, Guelfand M, Balbontin PV. Congenital and acquired tracheoesophageal fistulas in children. Semin Pediatr Surg. 2021; 30:151060. Available from: https://doi.org/10.1016/j.sempedsurg.2021.151060
3. Lal DR, Gadepalli SK, Downard CD, Ostlie DJ, Minneci PC, Swedler RM, et al. Midwest Pediatric Surgery Consortium. Challenging surgical dogma in the management of proximal esophageal atresia with distal tracheoesophageal fistula: Outcomes from the Midwest Pediatric Surgery Consortium. J Pediatr Surg. 2018; 53:1267-72. Available from: https://doi.org/10.1016/j.jpedsurg.2017.05.024.
4. Van Lennep M, Singendonk MMJ, Dall'Oglio L, Gottrand F, Krishnan U, Terheggen-Lagro SWJ, et al. Oesophageal atresia. Nat Rev Dis Primers. 2019; 5:26. Available from: https://doi.org/10.1038/s41572-019-0077-0
5. Aworanti O, Awadalla S. Management of recurrent tracheoesophageal fistulas: a systematic review. Eur J Pediatr Surg. 2014; 24:365-75. Available from: https://doi.org/10.1055/s-0034-1370780
6. Smithers CJ, Hamilton TE, Manfredi MA, Rhein L, Ngo P, Gallagher D, et al. Categorization and repair of recurrent and acquired tracheoesophageal fistulae occurring after esophageal atresia repair. J Pediatr Surg. 2017; 52:424-30. Available from: https://doi.org/10.1016/j.jpedsurg.2016.08.012.
7. Nir V, Gur M, Toukan Y, Hakim F, Vachyan A, Bentur L. Factors associated with recurrence of tracheoesophageal fistula. Isr Med Assoc J. 2018; 20:687-90.
8. Boybeyi Türer Ö, Tanyel FC, Soyer T. Acquired tracheoesophageal fistula after esophageal atresia repair. Balkan Med J. 2019; 37:47-9. Available from: https://doi.org/10.4274/balkanmedia.galenos.2019.2019.8.60.
9. Dingmann C, Eaton S, Aksnes G, Bagolan P, Cross KM, De Coppi P, et al. ERNICA Consensus Conference on the management of patients with esophageal atresia and tracheoesophageal fistula: Diagnostics, preoperative, operative, and postoperative management. Eur J Pediatr Surg. 2020; 30:326-36. Available from: https://doi.org/10.1055/s-0039-1693116.
10. Hua K, Yang S, Zhang Y, Zhao Y, Gu Y, Li S, et al. Thoracoscopic surgery for recurrent tracheoesophageal fistula after esophageal atresia repair. Dis Esophagus. 2020; 33:doaa023. Available from: https://doi.org/10.1093/dote/doaa023.
11. Wang J, Zhang M, Pan W, Wu W, Yan W, Cai W. Management of recurrent tracheoesophageal fistula after esophageal atresia and follow-up. Dis Esophagus. 2017; 30:1-8. Available from: https://doi.org/10.1093/dote/dox081.