© 2022, Kajal et al
Received Day: 17 Month: 03 Year: 2022
Accepted Day: 29 Month: 06 Year: 2022
J Neonatal Surg. 2022; 11: 23.
DOI: 10.47338/jns.v11.1085
Mucormycosis of the colon in a premature neonate
Pradeep Kajal Department of Pediatric Surgery, PGIMS Rohtak, Haryana, India
Namita Bhutani Department of Pathology, North DMC Medical College and Hindu Rao Hospital, New Delhi, India
Kirti Saini Department of Gynecology and Obstetrics, PGIMS Rohtak, Haryana, India
Anjali Sindhu Department of Pathology, PGIMS Rohtak, Haryana, India
[corresp] Namita Bhutani, Assistant Professor, Department of Pathology, North DMC Medical College and Hindu Rao Hospital, New Delhi, India. E-mail: namitabhutani89@gmail.com

Case Presentation

A 10-day-old, male baby born to a primigravida of 23-year at 36 weeks of gestation via emergency Caesarian section for oligohydramnios, was referred to us for abdominal distension and respiratory distress for 3 days. He had not passed stools for 3 days. He was small for gestational age weighing 1.5 kg and had Apgar scores of 4 and 8 at 1 and 5 minutes and had to be put on continuous positive airway pressure (CPAP) soon after delivery. At presentation, the patient’s general condition was poor was on inotropic support for septicemic shock. The nasogastric tube was in situ draining a significant amount of bilious aspirate. On abdominal examination, the abdomen was distended with generalized tenderness and guarding with absent bowel sounds on auscultation. Preliminary lab investigation results were: TLC=40,000 cells/cumm; Platelets=40,000 cells/cumm; CRP=64mg/L. The patient was intubated and taken on hand ventilation and a bolus of intravenous fluid was given along with broad-spectrum antibiotics. X-ray abdomen showed few dilated gut loops with the paucity of air in the intestine. On abdominal ultrasonography, there was minimal inter-gut free fluid with air and fluid-filled dilated gut loops. After hemodynamic stabilization, the patient was taken up for exploratory laparotomy that showed 15ml of sero-feco-purulent peritoneal fluid and a 5 cm gangrenous and perforated segment of the proximal sigmoid colon with thick meconium/fecal matter in the left iliac fossa. A segment of the proximal ileum was found stuck to the involved sigmoid colon segment leading to kinking and perforation at its apex. Therefore, resection of involved gangrenous sigmoid colon and perforation bearing segment of proximal ileum was done with end-to-end colo-colic and ileo-ileal anastomoses. The histopathological examination showed sigmoid colon had the aggregate of Langhans and foreign body giant cells with areas of necrotic exudates and serositis and the detection of many wide, ribbon-like, sparsely septate fungal hyphae with wide angle branching (approximately 90 degrees) characteristic of mucormycosis without any angioinvasion (Fig. 1). The postoperative period was uneventful and the patient was discharged on the seventh postoperative day after he had started accepting orally and passing flatus and stools normally. He is on regular follow-up, thriving well with a weight appropriate for his age.

Discussion

Gastrointestinal mucormycosis is a fungal infection caused by fungi, (Rhizopus, Mucor, Absidia, and Saksenea). [1] Rhizopus is the most common cause of infection. The stomach is the most common site of infection followed by the colon, ileum, duodenum, and jejunum in children and adults; whereas, in neonates, colonic involvement is the most common. [2] Patra et al. reported gastrointestinal mucormycosis in 20% of neonates with suspected necrotizing enterocolitis, and 83% of them were preterm neonates. [3] In a normal patient, mononuclear and polymorphonuclear phagocytes of a host kill Mucorales by the generation of oxidative metabolites and cationic peptides and defensins; but our case, being a low birth weight and premature neonate, had an immature immune system and fragile cutaneous barriers leading to an increased risk of mucormycosis. Moreover, other factors such as steroid exposure at early age disturbing the delicate balance of gut flora and interventions such as nasogastric tube placement, and endotracheal intubation also increase the risk of gastrointestinal mucormycosis by mucosal injury as is done by indomethacin therapy for patent PDA. [4] Our patient had all these risk factors except indomethacin therapy.

One of the important differential diagnoses is necrotizing enterocolitis. Clinically, it may be indistinguishable from gastrointestinal mucormycosis but can be differentiated from necrotizing enterocolitis by the absence of pneumatosis intestinalis on the X-Ray abdomen and the patient’s poor response to antibiotic treatment. [5] The clinical presentation of these two entities has many similarities, raising the possibility that mucormycosis may arise in a setting of necrotizing enterocolitis; but Woodward et al. suggested that neonatal gastrointestinal mucormycosis represents a distinct disease entity rather than a variant on superinfection of necrotizing enterocolitis.[5]

As mucormycosis is usually angio-invasive in nature, the mortality rate is high.[5] Our case could be salvaged primarily because of timely surgical intervention. Our patient did not receive any antifungal treatment as, firstly, the diagnosis of colonic mucormycosis was made only on histopathological examination of the resected sigmoid colonic segment as has happened in most of the reported cases; secondly the patient responded well to the surgery and the continuing treatment. Moreover, his blood cultures remained negative for fungi in pre-operative as well as postoperative periods. Adequate surgical resection does reduce fungal load translating into a better eventual outcome. The highlight of this case report is that the patient did improve with early and prompt surgical intervention but without any antifungal treatment. We could find, in English literature, one more such neonate who had survived colonic mucormycosis after timely surgery but without any antifungal chemotherapy as in our case. [6]


Figures

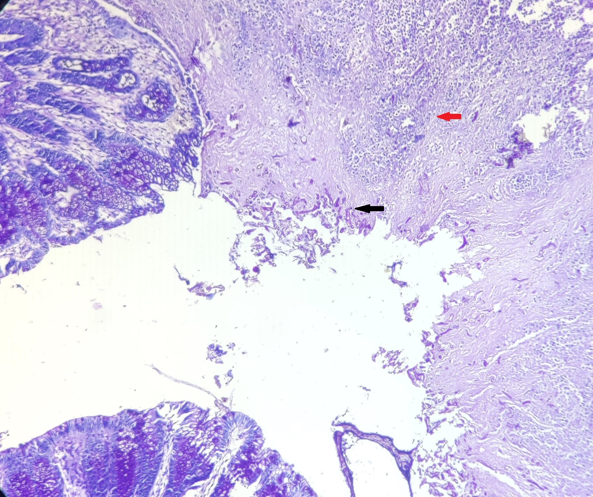
Figure 1 

Micro-sections from gut revealing dense inflammatory infiltrate (yellow arrow), numerous multinucleated giant cells (red arrow), and fungal hyphae (black arrow).



Notes

n1Conflicts of interest. None

n2Source of Support: Nil

n3Author contributions: Author(s) declared to fulfill authorship criteria as devised by ICMJE and approved the final version. Authorship declaration form, submitted by the author(s), is available with the editorial office.

n4Consent to Publication: Author(s) declared taking informed written consent for the publication of clinical photographs/material (if any used), from the legal guardian of the patient with an understanding that every effort will be made to conceal the identity of the patient, however it cannot be guaranteed.

Acknowledgments

None


References
1. Kwon-Chung KJ. Taxonomy of fungi causing mucormycosis and entomophthoramycosis (zygomycosis) and nomenclature of the disease: molecular mycologic perspectives. Clin Inf Dis. 2012; 54:S8-15.
2. Dhingra KK, Mandal S, Khurana N. Unsuspected intestinal mucormycosis in a neonate presenting as necrotizing enterocolitis (NEC). Eur J Pediatr Surg. 2008;18:119-20.
3. Patra S, Chirla D, Kumar N, Vij M, Samal S. Unsuspected invasive neonatal gastrointestinal mucormycosis: A clinicopathological study of six cases from a tertiary care hospital. J. Indian Assoc. Pediatr. Surg. 2012, 17,153.
4. Kecskes S, Reynold G, Bennett G. Survival after gastrointestinal mucormycosis in a neonate. J Paediatr Child Health. 1997; 33:356-9.
5. Woodward A, McTigue C, Hogg G, Watkins A, Tan H. Mucormycosis of the neonatal gut: a new disease or a variant of necrotizing enterocolitis? J Paediatr Surg. 1992; 27:737-40.
6. Budhiraja S, Sood N, Singla S, Gupta V. Gastrointestinal mucormycosis in neonate: survival without antifungal therapy. Indian J Gastroenterol. 2007; 26:198.