© 2022, Kumar et al
Received Day: 01 Month: 02 Year: 2022
Accepted Day: 12 Month: 04 Year: 2022
J Neonatal Surg. 2022; 11: 15.
DOI: 10.47338/jns.v11.1066
Coblator assisted marsupialization of vallecular cyst
Pradeep Kumar Consultant ENT Surgeon, Department of ENT, EMC, Kochi, Kerala
Lakshmi Venkitaraman Consultant ENT Surgeon, General Hospital, Kochi, Kerala
[corresp] Dr. Lakshmi Venkitaraman, MBBS, DNB ENT, Consultant ENT Surgeon, General Hospital, Kochi, Kerala. E-mail: mimivenkit@gmail.com

Case Presentation

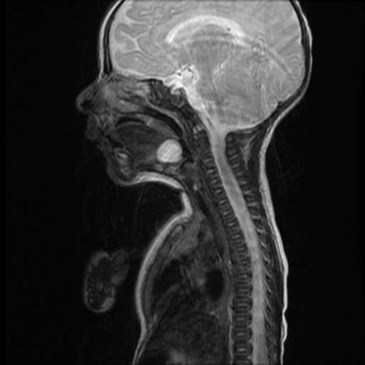
A 45-day-old baby presented with respiratory distress, chest in-drawing, and stridor since birth. She was a full-term female baby with no dysmorphic features (Fig. 1A). The lesion was misdiagnosed elsewhere as laryngomalacia and spontaneous recovery were assured without intervention. Endoscopic evaluation was not done. The baby was brought to our center due to failure to thrive, feeding difficulty, repeated choking episodes, and worsening physical findings. Preoperative fiber optic laryngoscopy was done which revealed a cystic lesion at the vallecula obstructing the laryngeal inlet, pushing the epiglottis forward (Fig. 2). MRI scan showed a well-defined non-enhancing thin-walled cystic lesion measuring 14.8x14.2mm at vallecula and the diagnosis was confirmed (Fig. 3). Surgery was planned. Intubation was attempted but failed. The baby was tracheostomized before the procedure for ventilation, anticipating postoperative surgical site edema as well. Uncuffed tracheostomy tube size 3 was used. A direct laryngoscope straight blade with zero degree endoscope was held by the anesthetist to view the cyst and the EVAC-70 coblation wand was held in the right hand by the surgeon. The settings of the coblator were maintained at 70-30, coblation and coagulation respectively. The wand was used in both coblator and coagulation mode based on need. The anterior cyst wall was completely removed by coblation, and the cyst was thus marsupialised. Bleeding points were coagulated using the same wand. The child was attached to the ventilator immediately and was taken off on a postoperative day 1. The tracheostomy tube was closed on day 2 and removed on postoperative day 3. Postoperative recovery was uneventful and the general condition improved considerably. Stridor completely disappeared on day 5 (Fig. 1B).

Discussion

Congenital laryngeal cysts are a rare but life-threatening condition in newborns as they present with stridor. [1], [2] The vallecular cyst is thought to occur as a consequence of either ductal obstruction of mucous glands or an embryologic malformation and presents as inspiratory stridor, respiratory distress, apnea, cyanosis, and hoarse cry. The majority of affected infants develop symptoms within the first week of life. [3] One of the commonest presentations at this age is laryngomalacia which usually resolves without any intervention. Flexible fiberoptic endoscopy is the most helpful tool in the diagnosis of vallecular cysts as it enables a dynamic assessment of the airway, helping the surgeon to assess management and postoperative complications. MRI is the radiological test of choice as it helps to determine the dimensions. Direct laryngoscopy under general anesthesia is the key to confirming the diagnosis as well as further management. A high index of suspicion is needed as neonatal airway presentations can be challenging.

Endoscopic marsupialization with coblator assistance is the key to surgical technique as the coblation wand itself produces very less thermal energy and hence minimal tissue damage. Coblation is a newer technique where a controlled plasma field is created which helps in removing tissue in a very precise manner. It produces very minimal thermal damage and hence minimal soft tissue edema. Temperatures are between 40 °C and 70 °C with thermal penetration of fewer than 1100 μm.[4] When dealing with pediatric airways, the postoperative period can be as challenging as the procedure itself, hence smooth recovery is much needed. Coblation being a technique with minimal postoperative edema enables early extubation and recovery. Endoscopic-assisted coblation of congenital vallecular cyst is a safe procedure. It is quick, precise, and bloodless. There is no edema or charring post-operatively. The wand tip itself gives us precise cutting with the advantage of coblation and coagulation in the same setting. Smaller cysts that allow easy intubation can be managed without tracheostomy.


Figures

Figure 1 

A) Preoperative picture of 45-day old baby with chest in-drawing, subcostal retractions and audible stridor. B) Postoperative 1 month picture depicting a completely recovered state



Figure2 

Fibre optic laryngoscopy view of the cystic lesion at vallecula (star).



Figure3 

MRI Showing Cyst.



Notes

n1Conflicts of interest. None

n2Source of Support: Nil

n3Author contributions: Author(s) declared to fulfill authorship criteria as devised by ICMJE and approved the final version. Authorship declaration form, submitted by the author(s), is available with the editorial office.

n4Consent to Publication: Author(s) declared taking informed written consent for the publication of clinical photographs/material (if any used), from the legal guardian of the patient with an understanding that every effort will be made to conceal the identity of the patient, however it cannot be guaranteed.

Acknowledgments

None


References
1. Sands NB, Anand SM, Manoukian JJ. Series of congenital vallecular cysts: a rare yet potentially fatal cause of upper airway obstruction and failure to thrive in the newborn. J Otolaryngol Head Neck Surg. 2009; 38:6–10.
2. Cheng KS, Ng JM, Li HY, Hartigan PM. Vallecular cyst and laryngomalacia in infants: report of six cases and airway management. Anesth Analg. 2002; 95:1248–50.
3. Sugiyama T, Kamijo A, Aoyama K, Kuroda Y, Masuyama K, Sugita K. Rapid development of severe respiratory distress due to a vallecular cyst in a 3-day-old infant. Pediatr Int. 2012; 54:297-9.
4. Virk RS, Mathew JL, Behera S, Kaushik E. Endoscopic assisted coblation of congenital vallecular cyst–a novel technique. Ind J Pediatr. 2016; 83:888-9.