© 2022, Conner et al
Received Day: 07 Month: 11 Year: 2021
Accepted Day: 22 Month: 03 Year: 2022
J Neonatal Surg. 2022; 11: 14.
DOI: 10.47338/jns.v11.1037
Pulmonary lymphangiectasia a rare cause of chylothorax: A case report
James N Conner Department of Surgery (Pediatric Surgery), Prisma Health/ University of South Carolina, Columbia, SC
Richard Mahon Department of Surgery (Pediatric Surgery), Prisma Health/ University of South Carolina, Columbia, SC
Juan Camps Department of Surgery (Pediatric Surgery), Prisma Health/ University of South Carolina, Columbia, SC
[corresp] James N Conner, DO Department of surgery Prisma health/ University of South Carolina, Columbia, SC. E-mail: James.Conner@prismahealth.org
Abstract

Background: Pulmonary lymphangiectasia (PL) is a rare disease characterized by dilation of the pulmonary lymphatic vessels. PL should be considered in the differential diagnosis in infants with pleural effusion, especially in the presence of chylothorax.

Case Presentation: A 3-week-old neonate presented with tachypnea, cough, and reluctance to feed. Work-up found bilateral chylous pleural effusion. The patient was initially managed conservatively with bilateral tube thoracostomies and octreotide, however output from chest tubes did not subside. A left thoracotomy was performed with wedge biopsy of the apical segment of the left inferior lung lobe and multiple titanium clips were used to control thoracic duct. Postoperatively the patient continued to have high chest tube output, despite placement of clips. Histology of the biopsy confirmed the diagnosis of congenital pulmonary lymphangiectasia.

Conclusion: Pulmonary lymphangiectasia is a rare cause of chylothorax. The treatment is often challenging as found in the index case.

Keywords: Pulmonary lymphangiectasia, Chylothorax, Neonate.

Case Report

The patient was a 3-week-old Caucasian male born at term via C-section with a birth weight of 6lbs 4oz. Apart from fetal distress, there were no complications during the pregnancy or labor. The patient presented to the emergency department due to poor feeding, breathing difficulty, cough, and tachypnea over the course of 1 day. Evaluation showed the patient was hypoxic with 67% oxygen saturation on room air, and hypothermic with a temperature of 95.3F. Supplemental oxygen was given that improved the saturation. Chest x-ray showed bilateral pneumonia (Fig. 1). The baby was then transferred to the NICU.

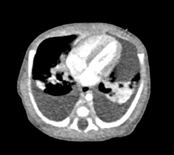
Physical examination in the NICU showed a 3.4kg patient with a temperature of 98.3F, heart rate 163, respiratory rate 53, blood pressure 88/56 and oxygen saturation of 88% on 10 liters. Patient showed increased work of breathing with diminished breath sounds, bilaterally. Rapid PCR for influenza A, influenza B, RSV and COVID-19 were negative. Echocardiogram showed normal heart function with pleural effusions. Similarly, chest ultrasound showed evidence of bilateral pleural effusions. The decision was made to perform a CT scan of the patient’s head and chest to further evaluate pleural effusions and xanthochromia noted on lumbar puncture. Patient had a normal head CT. Chest CT scan showed multifocal lung opacities consistent with inflammation and bilateral moderate-sized pleural effusions greater on the left than right (Fig. 2). Bilateral chest tubes were placed. Upon placement the left side drained ~55cc Chylous fluid, and the right side drained <5cc Chylous fluid. Pleural fluid analysis showed glucose 63, protein 3.2, LDH 135, and a triglyceride level. Due to negative infectious workout bronchoalveolar lavage (BAL) was suggested, however chylothorax was high on the differential.

Pediatric surgery was consulted for placement of a central line and replacement of the right chest tube. Left chest tube output was 75cc. Following repositioning of the right chest tube, the output was 148cc from the right and 134cc from the left chest tube in 24 hours. Pleural fluid triglyceride levels were significantly raised, consistent with chylothorax. Patient was started on octreotide 0.5mcg/kg/hr with an increase of 0.5mcg/kg every 2 hours until the goal of <5cc total chest tube output was met. Bronchoalveolar lavage (BAL) samples for silver stain returned negative for fungal and pneumocystis organisms. Due to continued high output from chest tubes despite treatment with octreotide, the decision was made to take the patient to the operating room for biopsy and evaluation of the thoracic duct.

Lymphoscintigraphy showed radiotracer activity within both feet as well as in the inguinal region bilaterally however there was no activity cephalad to the inguinal region and no radiotracer activity seen in the lungs suggesting obstruction of the lymphatic system caudal to the cisterna chyli. The patient went for surgery on hospital day 14 for lung biopsy due to suspicion of congenital pulmonary telangiectasia. A left thoracotomy was performed with wedge biopsy of the apical segment of the left inferior lobe. The thoracic duct in the left side of the chest was also identified to assess for abnormality as this was the side with the higher chest tube output. To aid in identification of the thoracic duct, high fat content “heavy cream” was given in the orogastric tube, prior to and during the procedure. The upper and lower lobe were normal in external appearance, with the greater pulmonary fissure normal in configuration. The mediastinal pleura was opened, and the esophagus and vagus nerve were exposed. The esophagus was dissected to expose the prevertebral layer. Despite the 30ml of cream no white colored ducts were visualized in the lower prevertebral space. The pleural right side was also opened and inferior caval vein was visualized. The peri-aortic pleural layer at the aortic level was then dissected. Medially in the mediastinum small lymphatic branches were seen when the mediastinal pleural layer was dissected. Multiple small areas of exudate were seen draining from the apex of the thoracic mediastinum. Multiple small titanium clips were used to control the small lymphatic branches. The thoracotomy was then closed in standard fashion.

Postoperatively, the patient continued to have high output from the left chest tube, including output of 451cc between postoperative day 1 and 2. At this point, the histology returned positive for pulmonary lymphangiectasia. The output from the left chest tube gradually decreased after two weeks. The right side thoracostomy tube then started to drain about 50cc per day. Doxycycline pleurodesis was then performed. The output from the right side then stopped. The patient was recommended for transfer to a center of excellence due to the morbidity associated with the diagnosis.

Once the child was transferred lymphoscintigraphy was performed that showed continued abnormal pulmonary lymphatic perfusion and intercostal perfusion with partial ligation of the thoracic duct. Lipiodol was used to fill the distal abnormal intercostal channels keeping the thoracic duct intact. After the patient recovered from his procedure, he was transferred back to the PICU at Prisma health. He was eventually discharged home on three diuretics.

Discussion

Chylothorax is characterized by the high concentration of triglycerides in pleural fluid and high concentration of lymphocytes. While chylothorax generally appears in the adult population it may also be seen in the pediatric and neonatal populations as well. In the adult population, common etiologies include thoracic surgery, trauma, cancers, and infection.[1] However in neonates, other etiologies must be explored including the possibility of congenital causes. Developmental anomalies of the lymphatic system include: lymphangiomas, lymphangiomatosis, and lymphangiectasia. Lastly, lymphatic disorders are often associated with syndromes such as: Turner, Noonan, Trisomy 21, and Ehlers-Danlos.[2]

Congenital pulmonary lymphangiectasia is a rare disorder of the lung with an incidence estimated to be <1% and an unknown prevalence. [3] The current characterization divides PL into two categories: primary and secondary (cardiac associated), with primary further classified into isolated, generalized, and syndromic. [4] Secondary PL may be caused by conditions leading to obstruction and extravasation including hypoplastic left heart syndrome, pulmonary vein atresia, congenital mitral stenosis, Cor Triatriatum, and thoracic duct agenesis.[4]

PL is characterized by pulmonary subpleural, interlobar, perivascular, and peribronchial lymphatic dilation, [5] leading to impaired lymphatic drainage. Lymphatic vessels begin to form during the ninth week of development and are derived from endothelial cells budding from veins to form the primary lymphatic sac.[4] During the 14th week of development, the vessels have formed wide channels in the connective tissue that begin to divide the lung parenchyma into lobules. Later, in the 20th week of gestation, the lymphatic channels begin to narrow. It is suspected that the lymphatic dilation is due to lymphatic channels failing to undergo normal regression during the 20th week of gestation. [5] Recent genetic studies showed that PL may be caused by FOXC2, Vegfr-3 and integrin α9β1gene. [3]

PL may present either in the neonatal or post-natal setting. In neonatal presentation, PL may cause nonimmune hydrops fetalis and be associated with polyhydramnios. [6] Many infants presenting in the neonatal period are stillborn. Post-natal clinical presentation of PL depends on the type, primary or secondary. Patients presenting with primary PL will have an abnormal breathing pattern, classically tachypnea, while those with secondary PL will present with cyanosis and respiratory depression. Onset of symptoms may be within a few days after birth or may occur weeks to months later. Esther et al. [6] stated that the pleural effusion is rarely seen with PL; however, a case series documented an incidence of 15% in patients with PL.

Chest X-rays in patients presenting in the neonatal period show unilateral or bilateral ground-glass appearance, versus chest x-rays of patients presenting in infancy or childhood showing reticulonodular, interstitial markings, and hyperinflation.[6] Lymphoscintigraphy has been used for its ability to evaluate pulmonary lymphatics involvement by showing radiotracer accumulation in the lung and evidence of back-flow within the thoracic duct. [5] Baltaxe et al. [7] described two cases of PL in association with Noonan syndrome in which lymphangiograms showed obstructive changes and collateral formation in retroperitoneal, mediastinal, pulmonary, and cervical lymphatics, as well as opacification of the pulmonary and visceral pleural lymphatics.

The gold standard for diagnosis of PL remains lung biopsy with histological and immunohistochemical studies. [3] Immunohistochemical staining for endothelial markers CD31, CD34, and D2-40 confirms lymphatic origin.[3] High-resolution CT scan can also help in diagnosis. [6] In some cases, the radiologic features (especially chylothorax) in conjunction with clinical findings was sufficient to make the diagnosis of PL.[6]

Treatment of PL is essentially supportive, focusing on treatment of clinical symptoms. Ventilation is often required in the neonatal form. Patients with increasing pleural effusions may require chest tube placement, as was the case with our patient. Treatment of chylothorax may include both dietary and medical approaches. A diet consisting of medium-chain triglycerides and total parenteral nutrition have been used successfully to treat chylothorax.[5] Conservative treatment with octreotide has been used to reduce lymphatic losses in intestinal lymphangiectasia but has not been evaluated in PL. Surgery is necessary when pleural effusion persists. [5]

While most patients initially experience respiratory distress, Barker et al.[8] noted that the respiratory symptoms improved in most of the patients after infancy. Although patients improved symptomatically, imaging still showed hyperinflation and increased interstitial markings. Patients also had evidence of bronchitis, obstructive disease, and grew pathogenic organisms from bronchoalveolar lavage cultures. [8]

In conclusion, Pulmonary lymphangiectasia should be suspected when dealing with an infant with chylothorax. The preferred treatment is a conservative one, with chest tube placement, and medical management using octreotide to decrease lymphatic output. However, surgery is indicated when conservative management fails. The prognosis for infants diagnosed with PL has historically been poor however recent studies have shown that if patients can make it past infancy, then symptoms may improve. However, these patients will have lifelong sequelae after symptom improvement.


Figures

Figure 1 

Chest x-ray.



Figure 2 

CT scan showing bilateral pleural effusion.



Notes

n1Conflicts of interest. None.

n2Source of Support: Nil

n3Author contributions: Author(s) declared to fulfill authorship criteria as devised by ICMJE and approved the final version. Authorship declaration form, submitted by the author(s), is available with the editorial office.

n4Consent to Publication: Author(s) declared taking informed written consent for the publication of clinical photographs/material (if any used), from the legal guardian of the patient with an understanding that every effort will be made to conceal the identity of the patient, however it cannot be guaranteed.

Acknowledgments

None


References
1. Nikbakhsh N, Zamani M, Noorbaran A, Naghshineh A, Rastergar-Nejad D. Etiological approach of chylothorax in Babol, northern Iran. Caspian J Intern Med. 2017; 8:30-4.
2. Attar MA, Donn SM. Congenital chylothorax. Semin Fetal Neonatal Med. 2017; 22:234-9.
3. Yuan SM. Congenital pulmonary lymphangiectasia: A disorder not only of feto neonates. KlinPadiatr. 2017; 229:205-8.
4. Reiterer F, Grossauer K, Morris N, Uhrig S, Resch B. Congenital pulmonary lymphangiectasis. Paediatr Respir Rev. 2014; 15:275-80.
5. Bellini C, Boccardo F, Campisi C, Bonioli E. Congenital pulmonary lymphangiectasia. Orphanet J Rare Dis. 2006; 30:1-3.
6. Esther CR Jr, Barker PM. Pulmonary lymphangiectasia: diagnosis and clinical course. PediatrPulmonol. 2004; 38:308-13.
7. Baltaxe HA, Lee JG, Ehlers KH, Engle MA. Pulmonary lymphangiectasia demonstrated by lymphangiography in 2 patients with Noonan's syndrome. Radiology. 1975; 115:149-53.
8. Barker PM, Esther CR Jr, Fordham LA, Maygarden SJ, Funkhouser WK. Primary pulmonary lymphangiectasia in infancy and childhood. Eur Respir J. 2004; 24:413-9