© 2022, Acosta-Farina D et al
Received Day: 15 Month: 10 Year: 2021
Accepted Day: 06 Month: 01 Year: 2022
J Neonatal Surg. 2022; 11: 6.
DOI: 10.47338/jns.v11.1031
Jejunal ectopic pancreas in a neonate
Daniel Acosta-Farina Department of Pediatric Surgery, Dr. Roberto Gilbert Elizalde Children's Hospital, Guayaquil, Ecuadora
Jorge Oliveros-Rivero Department of Pediatric Surgery, Dr. Roberto Gilbert Elizalde Children's Hospital, Guayaquil, Ecuadora
Manuel Cabrera-Viteri Department of Pediatric Surgery, Dr. Roberto Gilbert Elizalde Children's Hospital, Guayaquil, Ecuadora
Vicente Salinas-Salinas Department of Pediatric Surgery, Dr. Roberto Gilbert Elizalde Children's Hospital, Guayaquil, Ecuadora
Daniel Acosta-Bowen Medical Doctor, Universidad Católica Santiago de Guayaquil, Ecuador
[corresp] Daniel Acosta-Farina, M.D., Department of Surgery Pediatric, Dr. Roberto Gilbert Elizalde Children's Hospital, Guayaquil, Ecuador, 090505. E-mail: acofa111@yahoo.es

Case Presentation

An 18-hour-old male newborn transferred from another medical center, born by emergency c-section performed due to previous c-section and amniotic fluid leakage (15 days). The baby was born at 40 weeks gestation with a birth weight of 2590 g, length of 49 cm, and APGAR scores of 7-9 at 1-5 min, respectively. Oxygen was administered through the nasal cannula due to difficulty in breathing. O2 saturation improved from 80 % to 92%. Dextrose bolus was used to correct hypoglycemia (32 mg/dl). The patient was hospitalized in the NICU.

Physical exam was noteworthy for broad nasal bridge, short neck, mammary hypertelorism (trisomy 21 characteristics), soft but painful abdomen to palpation, and anorectal malformation without a fistula (imperforate anus). Laboratory tests showed Leukocytes 12.000, Hg 21.3 g/dl, Hct 59.9%, and Platelets 102.000. Abdominal x-ray showed dilatation of intestinal loops on the right side.

The pediatric surgery department was consulted for surgery. Laparotomy was performed, which showed dilated intestinal loops and a 1x1 cm mass located 15 cm distal to the Treitz angle on the antimesenteric border (Fig. 1). The mass was resected, and end-to-end jejuno-jejunal anastomosis was performed. Due to the anorectal malformation, a divided colostomy was created at the descending colon level. The patient went back to the NICU intubated.

The immediate postoperative course remained uneventful. On postoperative day 6 trophic feed (orojejunal catheter) using breast milk was initiated, which was well tolerated. On postoperative day 10, the patient was discharged in good condition. On postoperative day 29, the patient presented again with severe staphylococcus haemolyticus sepsis and severe pulmonary hypertension and succumbed.

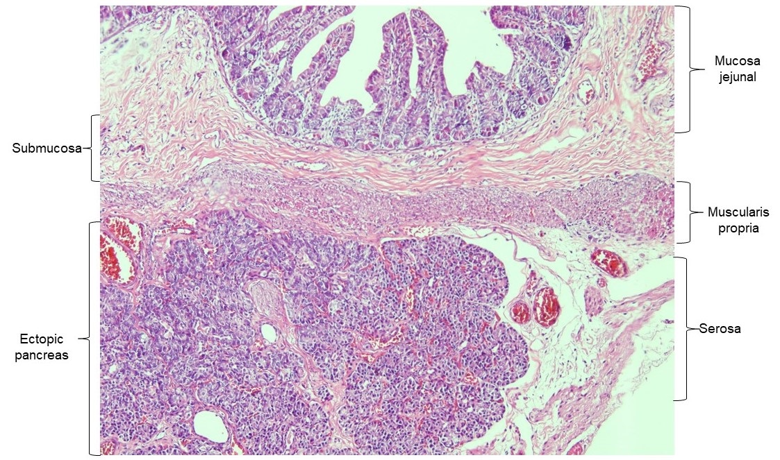
The histology report described a light brown color nodule that was 0.3 cm in diameter. It was formed by ectopic pancreatic tissue located in the jejunal serosa (Fig. 2).

Discussion

Ectopic pancreas (EP) lacks anatomic and vascular continuity with the normal body of the pancreas. Global prevalence is 1% - 13%, but it is rarely seen in neonates.[1], [2], [3] EP was first described in 1792 by Shultz [4] and has male preponderance. [5], [6] It has been identified throughout the GI tract (25%-38%), duodenum (17%-36%), jejunum (15%-21%), Meckel's diverticulum (5,3%), ileum (2,8%), and other sites. [1], [2]

This anomaly is usually identified incidentally on exploratory laparotomy as in the index case. Even though the lesion is congenital, very rarely it is identified during the neonatal period. When symptomatic It can present as intestinal bleeding, obstruction, intussusception, or malignant transformation. [7], [8], [9] The etiology is unclear, several theories have been proposed. One mentions that the embryonic cells could be transported to adjacent structures during the bowel axial rotation, which would certainly explain the described locations. In our case, it was located in the jejunum.

EP is found in the submucosal layer of the intestine in 54% of cases, 23% is found in submucosa and muscularis propria, 8% of cases only in the muscularis propria, 11% in subserosa, and only 4% compromises the whole intestinal wall. [10] Our case was limited to serosa. In 2019 Hamada et al. [11] described 5 cases of neonatal jejunal EP of which 3 were females and 3 presented with extramural EP, as in our case.

Heinrich´s histologically classified EP in 4 types. This classification was modified by Fuentes in 1973. Type 1 is the most frequent according to the literature. [2], [11] All the tissues that normally form the pancreas were found in our sample, therefore it was histologically classified as type 1.

It is difficult to confirm the intra-operatory suspicion of EP based only on macroscopic appearance. Histologic confirmation is necessary. Surgical excision is always required if found incidentally and more so if there are no symptoms. Avoiding possible future malignant transformation. [8], [9], [10], [12]

Table. 1 summarized the characteristics of neonatal jejunal EP cases reported in the literature (Including our case).


Figures

Figure 1 

Intraoperative picture of EP.



Figure 2 

Histopathology of the resected jejunum showing pancreatic tissue in the serosa.



Tables
[TableWrap ID: t1] Table 1 

Characteristics of neonatal jejunal ectopic pancreas cases


Case Source Year Sex Site Size Age at surgery Heinrich Treatment
1 Suzuki et al. [13] 1973 - Jejunum - 2d - Jejunostomy + Membrane excision
2 Ogata et al. [16] 2008 F: 3 Jejunum:3 - NB: 3 - Resection + end-to-end Jejuno-jejunal anastomosis
3 Saka et al. [14] 2009 M Jejunum 10 mm 6d III Wedge resection
4 Trandafir et al.[5] 2014 F Jejunum 10 mm NB I Resection + end-to-end Jejuno-jejunal anastomosis
5 Wakizaka et al. [15] 2016 F Jejunum - 3d III Resection + end-to-end Jejuno-jejunal anastomosis
6 Hamada et al. [10] 2019 F Jejunum 15 x 15 mm 8d I Resection + end-to-end Jejuno-jejunal anastomosis
7 Kim et al. [1] 2021 F Jejunum 30 × 20 mm NB I Resection + end-to-end Jejuno-jejunal anastomosis
8 Nam et al. [8] 2021 F Jejunum 25 x 15 mm 3d II Resection + end-to-end Jejuno-jejunal anastomosis
9 Our case 2021 M Jejunum 10 x 10 mm 18h I Resection + end-to-end Jejuno-jejunal anastomosis


Notes

n1Conflicts of interest. None.

n2Source of Support: Nil

n3Author contributions: Author(s) declared to fulfill authorship criteria as devised by ICMJE and approved the final version. Authorship declaration form, submitted by the author(s), is available with the editorial office.

n4Consent to Publication: Author(s) declared taking informed written consent for the publication of clinical photographs/material (if any used), from the legal guardian of the patient with an understanding that every effort will be made to conceal the identity of the patient, however it cannot be guaranteed.

Acknowledgments

None


References
1. Kim H-S, Lee S-Y, Han S-H, Nam S-H, Jo C-K, Kim M-J. Intussusception and jejunal atresia caused by an ectopic pancreas in a newborn. Neonatal Med. 2021; 28:72-6.
2. Rezvani M, Menias C, Sandrasegaran K, Olpin JD, Elsayes KM, Shaaban AM. Heterotopic pancreas: Histopathologic features, imaging findings, and complications. Radiographics. 2017; 37:484-99.
3. Polat E. Ectopic pancreatic tissue in children. Haydarpasa Numune Med J. 2020; 60:113–5.
4. Kilius A, Samalavicius NE, Danys D, Zaldokas G, Seinin D. Asymptomatic heterotopic pancreas in Meckel's diverticulum: a case report and review of the literature. J Med Case Rep. 2015; 9:108.
5. Fujii S, Tanaka H, Ono K, Onizawa Y, Miyazono Y, Sakamoto N, et al. Gastric outlet obstruction caused by an ectopic pancreas in a neonate: A case report. J Pediatr Surg Case Rep. 2015; 3:573-6.
6. Nam S-H, Han S-H. Jejunal atresia due to heterotopic pancreatic intussusception. J Pediatr Surg Case Rep. 2021; 66:101805.
7. Trandafir LM, Aprodu SG, Mihăilă D, Anton Păduraru DT, Butnariu L, Straticiuc Ciongradi IC. Ectopic jejunal pancreas and congenital duodenal stenosis in a newborn patient: an unusual association. Rom J Morphol Embryol. 2014; 55:707-10.
8. Sharma S, Agarwal S, Nagendla MK, Gupta DK. Omental acinar cell carcinoma of pancreatic origin in a child: a clinicopathological rarity. Pediatr Surg Int. 2016; 32:307-11.
9. Persano G, Cantone N, Pani E, Ciardini E, Noccioli B. Heterotopic pancreas in the gastrointestinal tract in children: a single-center experience and a review of the literature. Ital J Pediatr. 2019; 45:142.
10. Ulrych J, Fryba V, Skalova H, Krska Z, Krechler T, Zogala D. Premalignant and malignant lesions of the heterotopic pancreas in the esophagus: a case report and review of the literature. J Gastrointestin Liver Dis. 2015; 24:235–9.
11. Hamada H, Hamada Y, Sakaguchi T, Doi T. Heterotopic pancreas causing jejunal obstruction in a neonate. J Pediatr Surg Case Rep. 2019; 42:34–7.
12. Betzler A, Mees ST, Pump J, Schölch S, Zimmermann C, Aust DE, et al. Clinical impact of duodenal pancreatic heterotopia-is there a need for surgical treatment? BMC Surg. 2017;17:53.
13. Suzuki H, Ohi R, Kasai M. Congenital jejunal atresia due to a septum containing ectopic pancreatic tissue. J Pediatr Surg. 1973; 8:981.
14. Saka R, Gomi A, Sugiyama A, Ohashi Y, Ohike N, Shiokawa A, et al. Ectopic pancreas as a cause of jejunal obstruction in a neonate. J Pediatr Surg. 2009; 44:856–8.
15. Wakizaka K, Hamada H. A case of two points of jejunal membranous atresia with ectopic pancreas (in Japanese). J Jpn Soc Pediatr Surg. 2016; 52:1087–90.
16. Ogata H, Oshio T, Ishibashi H, Takano S, Yagi M. Heterotopic pancreas in children: review of the literature and report of 12 cases. Pediatr Surg Int. 2008; 24:271-5.